Добавить в корзинуПозвонить
Найти в Дзене

Пересадка зуба (аутотрансплантация) часть 2. Ортопедическая.

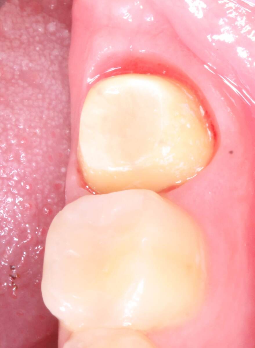
Доброго времени суток , друзья! Ранее я выкладывал статью о том, что я пересадил 8-й зуб на место 7-го. Её можно прочитать здесь. Наступил момент стабилизации пересаженного зуба и можно было приступать к его ортопедической коррекции, а именно обработке и покрытию коронкой. Зачем покрывать зуб коронкой? Во-первых, чтобы поверхность идеально подходила под верхние зубы и жевательная эффективность была на максимуме. Во-вторых, зуб без нерва, а значит он более уязвим к разрушению при нагрузке. Чтобы ее правильно перераспределить, зуб нужно покрыть коронкой. В третьих, визуально так красивее. Хотя бытует мнение, что в жевательных отделах эстетика не так важна. Фотографии обработанного зуба: Вид сверху: Вид сбоку: фото в прикусе: И как итог: 🔹сохранение десны и костной ткани вокруг; 🔹восстановление жевательной функции; 🔹устранение воспаления в костной ткани челюсти; Как вам результат? 🙃 Спасибо, что проявили интерес к публикации! ________________________________________ Став

Доброго времени суток , друзья!

Ранее я выкладывал статью о том, что я пересадил 8-й зуб на место 7-го.

Её можно прочитать здесь.

Наступил момент стабилизации пересаженного зуба и можно было приступать к его ортопедической коррекции, а именно обработке и покрытию коронкой.

Зачем покрывать зуб коронкой?

Во-первых, чтобы поверхность идеально подходила под верхние зубы и жевательная эффективность была на максимуме.

Во-вторых, зуб без нерва, а значит он более уязвим к разрушению при нагрузке. Чтобы ее правильно перераспределить, зуб нужно покрыть коронкой.

В третьих, визуально так красивее. Хотя бытует мнение, что в жевательных отделах эстетика не так важна.

Фотографии обработанного зуба:

-2

Вид сверху:

-3

Вид сбоку:

-4

фото в прикусе:

-5

-6

И как итог:

🔹сохранение десны и костной ткани вокруг;

🔹восстановление жевательной функции;

🔹устранение воспаления в костной ткани челюсти;

Как вам результат? 🙃

Спасибо, что проявили интерес к публикации!

________________________________________

Ставьте лайк👍.

Подписывайтесь на канал. ✅

Всем здоровья!

P.s. пишите свои мнения и вопросы в комментариях📝

С уважением, доктор Ижмукóв

Виталий Владимирович.

_________________________________________

Контактная информация:

+79370634232