Добавить в корзинуПозвонить
Найти в Дзене
Стоматология InLine

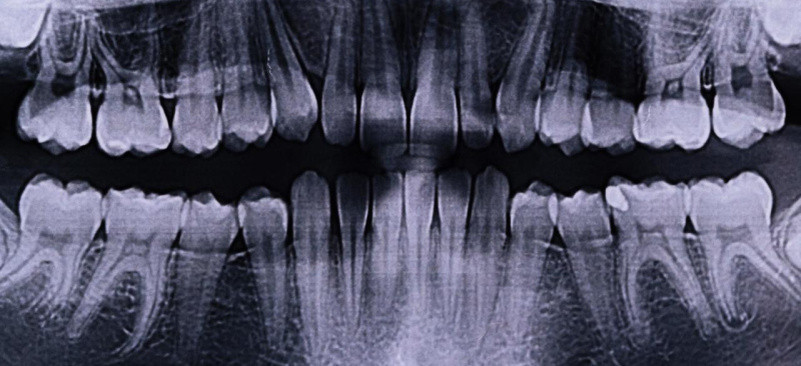
Ортопантомограмма: все о процедуре

Ортопантомограмма (ОПТГ) — это важное исследование для диагностики состояния здоровья ротовой полости и зубочелюстной системы. С помощью данного метода можно получить информацию о состоянии зубов, костей, суставов и окружающих органов, что особенно важно для постановки правильного диагноза и назначения соответствующего лечения. Ортопантомограмма позволяет специалистам получать данные о состоянии верхних и нижних челюстей, гайморовых пазух, а также выявлять признаки воспалений, инфекций, опухолей и других заболеваний. Это исследование проводится для диагностики различных заболеваний, таких как пульпит, пародонтоз, периодонтит, а также для выявления травм, изменений в костях и суставах, а также для контроля за состоянием зубных имплантатов и ортодонтических конструкций, например, брекетов или съемных протезов. ОПТГ является важным этапом в диагностике заболеваний рта, так как помогает выявить даже скрытые патологии, такие как опухоли, новообразования, очаги воспаления, которые могут быть
Оглавление
Ортопантомограмма (ОПТГ) — это важное исследование для диагностики состояния здоровья ротовой полости и зубочелюстной системы. С помощью данного метода можно получить информацию о состоянии зубов, костей, суставов и окружающих органов, что особенно важно для постановки правильного диагноза и назначения соответствующего лечения.

Ортопантомограмма позволяет специалистам получать данные о состоянии верхних и нижних челюстей, гайморовых пазух, а также выявлять признаки воспалений, инфекций, опухолей и других заболеваний. Это исследование проводится для диагностики различных заболеваний, таких как пульпит, пародонтоз, периодонтит, а также для выявления травм, изменений в костях и суставах, а также для контроля за состоянием зубных имплантатов и ортодонтических конструкций, например, брекетов или съемных протезов.

ОПТГ является важным этапом в диагностике заболеваний рта, так как помогает выявить даже скрытые патологии, такие как опухоли, новообразования, очаги воспаления, которые могут быть не видны при обычном осмотре. Это исследование используется также для диагностики заболеваний височно-нижнечелюстного сустава и контроля за состоянием костей челюсти.

ОПТГ назначают стоматологи и другие специалисты, когда необходимо уточнить диагноз или получить более полную картину состояния здоровья пациента. Это исследование часто проводится при:

  • пульпите и периодонтите;
  • травмах зубов или челюсти;
  • ортодонтическом лечении (для контроля за состоянием брекетов или протезов);
  • подготовке к имплантации зубов;
  • выявлении воспалений и опухолей;
  • контроле за состоянием верхнечелюстных и нижнечелюстных суставов.

Ортопантомограмма часто используется для диагностики у детей, особенно в случае заболеваний молочных зубов, а также для профилактических осмотров.

Ортопантомограмма в стоматологии — что это за процедура?

Ортопантомограмма (ОПТГ) — это рентгеновский снимок, который позволяет получить полное изображение состояния зубочелюстной системы пациента. Этот метод активно используется в различных областях стоматологии, таких как ортодонтия, челюстно-лицевая хирургия и зубная имплантация. Для создания снимка применяется специализированное оборудование — ортопантомограф. В некоторых клиниках для этих целей используют компьютерные томографы, что позволяет получить более точное и детализированное изображение.

С помощью ортопантомограммы можно провести анализ состояния множества структур, таких как:

  • челюсти и прикус;
  • зубы (их форму, расположение, состояние корней), а также зачатки зубов мудрости и ретинированные зубы;
  • костную ткань;
  • десны, сосуды и зубные каналы, что помогает выявить заболевания, такие как пародонтит, кисты и другие патологии;
  • мягкие ткани;
  • ранее установленные пломбы, коронки и мосты.

Ортопантомограмма играет ключевую роль в диагностике перед процедурой имплантации зубов. Она помогает выявить скрытые проблемы, исключить противопоказания и подготовить пациента к лечению без неожиданных осложнений. Процесс проведения процедуры занимает обычно не более одной минуты, после чего снимки передаются на компьютер для дальнейшего анализа.

Стоит подчеркнуть, что в некоторых случаях, помимо ОПТГ, может быть назначена компьютерная томография, которая позволяет получить объемное 3D-изображение зубочелюстной системы. Это особенно важно при полном протезировании или сложных операциях по восстановлению костной ткани.

-2

Когда необходима ортопантомограмма?

Ортопантомограмма используется в разных областях стоматологии:

  • в терапевтической стоматологии панорамный снимок помогает выявить заболевания пародонта, кариозные полости и способствует составлению плана комплексного лечения;
  • в хирургической стоматологии снимок делают перед операциями по удалению зубов, чтобы оценить состояние и подготовиться к вмешательству;
  • в ортодонтии ОПТГ дает общее представление о прикусе, что позволяет подобрать наиболее подходящие методы и аппараты для его коррекции;
  • в имплантологии панорамное изображение помогает при планировании имплантации, оценке состояния челюсти и подготовке к операции.

Что показывает ортопантомограмма?

Панорамный рентген позволяет выявить:

  • аномалии зубочелюстной системы;
  • кариес, в том числе на ранних стадиях;
  • пародонтальные карманы;
  • зубные кисты;
  • воспалительные процессы.

С помощью ОПТГ можно определить:

  • необходимость исправления неправильного прикуса;
  • состояние тканей вокруг зубов;
  • степень развития корней зубов;
  • для установки имплантатов — состояние костной ткани в предполагаемом месте имплантации; и многое другое.

Преимущества и ограничения

Преимущества ОПТГ:

  • комплексная диагностика состояния зубочелюстной системы;
  • выявление противопоказаний и возможных патологий;
  • быстрый и безболезненный процесс получения снимка;
  • возможность предотвращения стоматологических осложнений на стадии диагностики.

Ограничения:

  • снимок представляет собой плоское изображение, что может не быть достаточно информативным для некоторых типов лечения;
  • детализация изображения ниже, чем при компьютерной томографии.
  • Несмотря на эти особенности, ортопантомограмма остается одним из важнейших методов диагностики, активно используемым в современной стоматологии.

ОПТГ и КТ: что выбрать?

При подготовке к имплантации многие пациенты сталкиваются с выбором: провести ортопантомографию (ОПТГ) или компьютерную томографию (КТ)? Оба метода помогают оценить состояние зубочелюстной системы, но их возможности значительно различаются.

Ортопантомограмма представляет собой двухмерное изображение, которое помогает оценить общее состояние зубов, челюстей и прилегающих структур. Однако для более точной оценки костной ткани, ее объема и плотности необходимы трехмерные снимки, которые можно получить только при использовании КТ.

При установке имплантов по одноэтапному протоколу важно провести более глубокое обследование, так как панорамный снимок не предоставляет всей нужной информации. Тем не менее, ОПТГ остается полезным инструментом для мониторинга процесса лечения на разных стадиях.

Технологии современных аппаратов

Современные рентгеновские установки предлагают широкий спектр возможностей. На одном аппарате можно провести как ортопантомографию, так и компьютерную томографию, в зависимости от настроек. Это удобно как для врачей, так и для пациентов, поскольку позволяет выбирать наиболее подходящий метод диагностики для конкретной ситуации.

Компьютерная томография, особенно мультиспиральная (МСКТ), обеспечивает максимальную точность и детализацию изображений. Это позволяет врачам детально исследовать состояние костной ткани, правильно подобрать имплантаты и точно спланировать их расположение.

Хотя рентгенологические исследования доступны в большинстве стоматологических клиник, для планирования имплантации, особенно полного комплекса, рекомендуется обращаться в специализированные диагностические центры с современным оборудованием.

Типы панорамных снимков

Ортопантомограммы бывают двух типов: пленочные и цифровые, оба остаются двумерными.

Пленочная ОПТГ

Этот метод использовался первым. Устройства старого образца фиксировали изображение на пленке, размещенной рядом с головой пациента, с рентгеновской трубкой с противоположной стороны. Снимок проявлялся вручную.

Цифровая ОПТГ

Современные технологии позволяют получать снимки в цифровом формате, которые сразу отображаются на экране компьютера. Это дает врачу возможность увеличивать изображение, корректировать контрастность и тщательно исследовать нужные участки.

Подготовка к обследованию

Для проведения ортопантомографии не требуется сложной подготовки. Процедуру можно выполнить сразу в день обращения. Однако перед назначением обследования врач обязан провести осмотр полости рта, выслушать жалобы пациента и собрать необходимые сведения о его здоровье.

Перед самим обследованием пациент должен подписать согласие на проведение процедуры.

Как проходит диагностика?

Исследование проводится в специальном кабинете с использованием лучевого излучения. Суть процедуры заключается в том, что пациент становится под аппаратом, который снимает панорамный снимок всех зубов, челюстей, пазух и окружающих тканей за несколько секунд. При этом пациенту необходимо соблюдать несколько простых условий: снять металлические украшения, серьги и другие предметы, которые могут повлиять на качество снимка.

Процедура безопасна и комфортна, излучение, которое используется в процессе, имеет минимальную дозу и не представляет угрозы для здоровья пациента, даже для беременных женщин (кроме первого триместра). Все этапы выполнения процедуры быстро проходят, и пациенту не нужно переживать по поводу возможных искажений или неудобства.

Диагностическая процедура длится всего около минуты и не вызывает неприятных ощущений. Для её проведения пациенту нужно:

  • снять все металлические украшения и аксессуары;
  • надеть защитный свинцовый фартук;
  • занять нужную позу по указанию врача.

Во время обследования голову пациента фиксируют с помощью специального устройства. В рот вставляется одноразовый стерильный наконечник, который следует зажать зубами. Это нужно для того, чтобы избежать движения и искажения изображения.

После завершения процедуры снимок немедленно передается на компьютер, где врач может его проанализировать, распечатать или сохранить на цифровом носителе.

Ортопантомография — это быстрый и удобный метод диагностики, однако в случае с имплантацией, особенно в сложных ситуациях, её не следует использовать вместо КТ. Если необходимо получить точные данные о состоянии костной ткани или области для установки имплантов, лучше выбрать компьютерную томографию.

Ограничения и противопоказания

Несмотря на свою безопасность, ортопантомография имеет ряд противопоказаний. Она не проводится пациентам с онкологическими заболеваниями головы и шеи, а также тем, у кого имеются злокачественные заболевания крови, такие как лейкоз или лимфома.

В первом случае существует риск ускоренного роста опухолей под воздействием рентгеновских лучей, что может привести к осложнениям. Во втором — даже минимальная доза радиации может повлиять на работу костного мозга, что крайне нежелательно для людей с заболеваниями кроветворной системы.

Есть и возрастные ограничения: маленькие дети и пациенты с тяжелыми психоневрологическими расстройствами могут не удерживаться неподвижно, что делает проведение процедуры невозможным.

ОПТГ при беременности: можно ли проводить?

Рентгеновские исследования, включая ортопантомографию, не рекомендуются беременным женщинам, за исключением случаев, требующих неотложного вмешательства. Особенно опасным является облучение в первом триместре, когда происходит формирование всех основных органов плода.

На более поздних сроках беременности процедура также нежелательна, так как даже минимальная доза радиации может повлиять на эндокринную систему матери, в частности, на функционирование щитовидной железы, которая является чувствительной к рентгеновскому излучению.

Безопасность и частота проведения

Пациенты часто задаются вопросом о безопасности ОПТГ и частоте её проведения. При правильной технике и использовании современного оборудования риск облучения минимален.

Исследования показывают, что доза радиации при одном снимке составляет от 10 до 40 мкЗв, что является безопасным уровнем. Для сравнения, при проведении флюорографии доза может составлять до 500 мкЗв.

Специалисты утверждают, что при необходимости можно пройти до 100 ортопантомографий в год без значительного вреда для здоровья.

Как читать результаты снимка?

В лучших стоматологических клиниках и диагностических центрах специалисты-рентгенологи предоставляют подробные заключения по результатам снимков, обозначая возможные патологии. В некоторых учреждениях пациент получает только сам снимок, а его интерпретацией занимается лечащий стоматолог.

Тем, кто хочет самостоятельно разобраться в снимке, можно попробовать определить расположение зубов мудрости, выявить воспалительные процессы или изменения в костной ткани. В интернете можно найти примеры панорамных снимков с пояснениями, которые могут помочь в сравнении.

Ортопантомограмма — это важный инструмент для диагностики заболеваний ротовой полости, и ее проведение поможет избежать развития серьезных заболеваний. Важно обращаться к квалифицированным специалистам, которые имеют лицензию на проведение данного исследования и обеспечивают защиту персональных данных пациентов.

Забота о здоровье — это обязательное условие для поддержания красивой и здоровой улыбки на долгие годы.