Добавить в корзинуПозвонить
Найти в Дзене

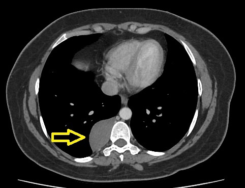
Образование заднего средостения

Образования заднего средостения — это патологические структуры, возникающие в задней части средостения, т.е. за условной плоскостью, проведенной через трахею и корни легких. Они могут быть доброкачественными или злокачественными, врожденными или приобретенными.  Т.к. в средостении нет болевых рецепторов, то там может вырасти достаточно большое по размеру образование, и человек об этом не узнает, пока не сделает рентген или КТ ОГК. Конечно есть исключение, когда образование сдавливает соседние органы, развивается так называемый «синдром верхней полой вены» при котором отекает верхняя половина туловища, руки, шея, голова. Но это совсем другая история и тема отдельной статьи. В заднем средостении в норме расположены:  1. Нейрогенные опухоли: 2. Лимфопролиферативные заболевания: 3. Кисты: 4. Сосудистые патологии: 5. Другие: В подавляющем большинстве случаев никаких симптомов не будет. Образование обнаруживается случайно на КТ ОГК. Хотя в ряде ситуаций при сдавлении опухолью сосе
Оглавление

Образования заднего средостения — это патологические структуры, возникающие в задней части средостения, т.е. за условной плоскостью, проведенной через трахею и корни легких.

Они могут быть доброкачественными или злокачественными, врожденными или приобретенными. 
Образование заднего средостения
Образование заднего средостения

Жалобы:

Т.к. в средостении нет болевых рецепторов, то там может вырасти достаточно большое по размеру образование, и человек об этом не узнает, пока не сделает рентген или КТ ОГК. Конечно есть исключение, когда образование сдавливает соседние органы, развивается так называемый «синдром верхней полой вены» при котором отекает верхняя половина туловища, руки, шея, голова.

Но это совсем другая история и тема отдельной статьи.

Анатомия заднего средостения

В заднем средостении в норме расположены: 

  • Пищевод.
  • Нисходящая грудная аорта.
  • Грудной лимфатический проток.
  • Симпатические нервные стволы.
  • Межреберные нервы и лимфатические узлы.

Чаще всего в заднем средостении располагаются: 

1. Нейрогенные опухоли:

  • Доброкачественные: невриномы, ганглионевромы, шванномы.
  • Злокачественные: нейробластомы, злокачественные шванномы.
  • Источник: нервные корешки, симпатические ганглии.

2. Лимфопролиферативные заболевания:

  • Лимфомы (Ходжкина и неходжкинские).
  • Увеличенные лимфоузлы (метастазы, инфекции: туберкулез, саркоидоз).

3. Кисты:

  • Энтерогенные (кишечные) кисты.
  • Бронхогенные кисты (реже, обычно в переднем средостении).

4. Сосудистые патологии:

  • Аневризмы грудной аорты.
  • Расслоение аорты.

5. Другие:

  • Тератомы (чаще в переднем средостении).
  • Мезенхимальные опухоли (липомы, фибромы).
  • Метастазы (например, рак пищевода, легких).

Какие симптомы будут при образовании заднего средостения? 

В подавляющем большинстве случаев никаких симптомов не будет. Образование обнаруживается случайно на КТ ОГК.

Хотя в ряде ситуаций при сдавлении опухолью соседних органов могут возникать:

  • Дисфагия (нарушение глотания) при сдавлении пищевода.
  • Осиплость голоса (поражение возвратного гортанного нерва).
  • Боль в груди или спине.
  • Синдром Горнера (птоз, миоз) при вовлечении симпатических нервов.
  • Общие признаки злокачественности: потеря веса, слабость, ночная потливость.

 

Как диагностировать?

  1. Рентген грудной клетки: выявление объемных образований.
  2. КТ с контрастом: оценка структуры, связи с сосудами и органами.
  3. МРТ: для изучения нейрогенных опухолей или поражения спинного мозга.
  4. ПЭТ-КТ: подозрение на злокачественность или метастазы.

 

Лечение

  1. Хирургическое удаление: при доброкачественных опухолях (шванномы), кистах или локальных злокачественных образованиях.
  2. Химио и лучевая терапия: при лимфомах, метастазах, неоперабельных опухолях.
  3. Эндоваскулярное лечение: при аневризмах аорты.
  4. Наблюдение: при бессимптомных доброкачественных образованиях.
  5. Дифференциальная диагностика
  6. Метастазы рака легкого, молочной железы.
  7. Гранулемы (туберкулез, саркоидоз).
  8. Грыжи пищеводного отверстия диафрагмы.
  9. Опухоли позвоночника.

 

При обнаружении образования в заднем средостении необходима консультация торакального хирурга.

Где получить консультацию специалиста?

Если у вас обнаружили образование переднего средостения, важно обратиться к опытному торакальному хирургу для точной диагностики и выбора оптимального лечения. Например, Вы можете записаться на консультацию к Андрею Владимировичу Никулину – кандидату медицинских наук, торакальному хирургу, онкологу.

Андрей Владимирович Никулин – один из ведущих специалистов в области хирургического лечения заболеваний легких, средостения, грудной стенки и диафрагмы. Он поможет разобраться в вашей ситуации и предложит наиболее эффективный путь решения проблемы.

Обнаружение образования средостения – это повод для дополнительного обследования, но не для паники. 

Главное – внимательное отношение к своему здоровью и своевременное обращение к врачу!

Быть здоровым гораздо лучше, нежели больным!