Добавить в корзинуПозвонить
Найти в Дзене
N + 1

Кашель разорвал американцу яичко

Американские врачи сообщили в журнале Cureus о пациенте со спонтанным разрывом яичка во время приступа сильного кашля на фоне развивающейся сердечной недостаточности. До этого в медицинской литературе подобные случаи не встречались. Разрыв яичка представляет собой нарушение целостности плотной белочной оболочки этого органа с обнажением семенных канальцев, которое без своевременного лечения приводит к утрате его жизнеспособности. Это редкое явление и в подавляющем большинстве случаев возникает в результате травмы. Известны также случаи разрыва яичка в результате инфекции или опухоли. Случаи спонтанного разрыва при кашле или другом физическом напряжении до сих пор описаны не были. Врачи Стивен Лэкстон (Steven Laxton) и Джеки Довгалюк (Jackie Dovgalyuk) из Медицинского центра Университета Теннесси приняли участие в помощи 68-летнему мужчине, который поступил в неотложное отделение с жалобами на внезапно возникшие боль и отек мошонки и паха справа. Симптомы появились примерно за три часа
  Wellcome Collection
Wellcome Collection

Американские врачи сообщили в журнале Cureus о пациенте со спонтанным разрывом яичка во время приступа сильного кашля на фоне развивающейся сердечной недостаточности. До этого в медицинской литературе подобные случаи не встречались.

Разрыв яичка представляет собой нарушение целостности плотной белочной оболочки этого органа с обнажением семенных канальцев, которое без своевременного лечения приводит к утрате его жизнеспособности. Это редкое явление и в подавляющем большинстве случаев возникает в результате травмы. Известны также случаи разрыва яичка в результате инфекции или опухоли. Случаи спонтанного разрыва при кашле или другом физическом напряжении до сих пор описаны не были.

Врачи Стивен Лэкстон (Steven Laxton) и Джеки Довгалюк (Jackie Dovgalyuk) из Медицинского центра Университета Теннесси приняли участие в помощи 68-летнему мужчине, который поступил в неотложное отделение с жалобами на внезапно возникшие боль и отек мошонки и паха справа. Симптомы появились примерно за три часа до поступления во время приступа интенсивного кашля и с тех пор постоянно усиливались. Также пациент отметил нараставшие в течение трех месяцев диффузные отеки ног, распространившиеся на брюшную стенку, одышку при физической нагрузке, периодически вынуждавшую принимать сидячее положение (ортопноэ), и преходящую боль с левой стороны грудной клетки, по поводу которых он за медпомощью не обращался. В анамнезе у него были длительное курение и инфаркт миокарда много лет назад, после которого он не наблюдался у врача в течение длительного времени.

При общем осмотре наблюдались признаки анасарки и гипоксии, над основаниями обоих легких выслушивались влажные хрипы, и пациенту сразу назначили четыре литра кислорода в минуту через назальную канюлю. Местный осмотр выявил плотный диффузный отек и кровоизлияния мошонки и пениса, больше справа, а также в правом паховом канале и паховой области; экхимозы на внутренней стороне бедер и фимоз. Чрез час отек и экхимозы усилились, что характерно для растущей гематомы.

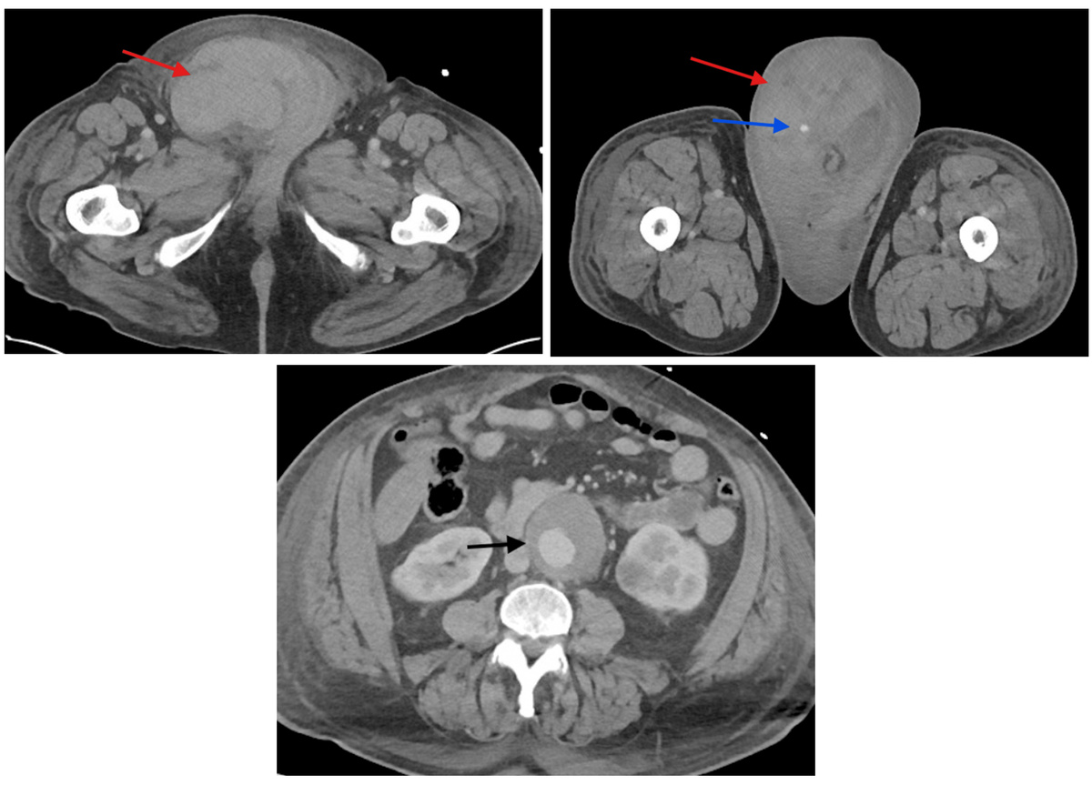
Общий и основной биохимический анализы крови были нормальными за исключением небольшого лейкоцитоза и эритропении. Уровни натрийуретического пептида типа В (показатель дисфункции левого желудочка) и тропонина (маркер инфаркта миокарда) были резко повышены. На ЭКГ были признаки инфаркта миокарда без стойкого подъема сегмента ST. Компьютерная томография с контрастированием выявила крупную гематому правого пахового канала и мошонки, в мошонке также наблюдалось точечное накопление контраста, которое могло свидетельствовать о продолжающемся артериальном кровотечении. Также были случайно обнаружены аневризма брюшной аорты ниже уровня почечных артерий диаметром 6,1 сантиметра и плотное образование в нижнем полюсе левой почки диаметром 3,3 сантиметра — вероятно, почечно-клеточную карциному. На КТ грудной клетки не было признаков легочной эмболии, но визуализировался выпот из-за перегрузки объемом в результате сердечной недостаточности.

  Steven J. Laxton, Jackie Dovgalyuk / Cureus, 2025
Steven J. Laxton, Jackie Dovgalyuk / Cureus, 2025

Урологи выполнили хирургическую ревизию пахового канала и мошонки, в ходе которой обнаружили растущую гематому, разрыв яичка и отек пениса с фимозом. Гематому объемом не менее литра выделили и удалили. Правый семенной канатик лигировали, что остановило кровотечение. Поскольку разорванное яичко выглядело нежизнеспособным, его удалили и отправили на патологоанатомическое исследование, которое не выявило признаков предшествующих заболеваний или дефектов. В мочеиспускательный канал установили катетер Фолея по поводу фимоза. Хирургическую рану ушили, впоследствии она зажила без осложнений. Через три часа после операции появились клинические признаки геморрагического шока, повторный анализ крови показал анемию, их компенсировали переливанием пакета эритроцитарной массы.

Эхокардиограмма после операции показала резко сниженную фракцию выброса левого желудочка (28 процентов), легочное сердце с увеличением правых отделов и акинезию правого желудочка (признак Макконнелла, характерный для легочной эмболии, которой у пациента не было; его сочли вторичным по отношению к недостаточности левых отделов сердца). На основании обследования пациенту помимо разрыва яичка поставили диагноз впервые выявленной сердечной недостаточности и инфаркта миокарда без подъема сегмента ST (вероятно, вторичного по отношению к сердечной недостаточности, без тромбоза коронарных артерий) и назначили соответствующую терапию. Также во время пребывания в стационаре ему успешно выполнили внутрисосудистую пластику аневризмы аорты. Через четыре дня в отделении интенсивной терапии и неделю в общем отделении его выписали.

Ранее врачи из штата Огайо описали случай 72-летнего пациента, который жаловался на свист в паху. Оказалось, что у него эмфизема мягких тканей неустановленного происхождения, воздух из которой проникал в мошонку и выходил из нее со звуком через открытую рану после неудачной операции.