Найти в Дзене
Два Дантиста

Пациент прошел повторно ортодонтическое лечение — почему?

Джексенбаева Зарина Касымкановна, стоматолог-ортодонт клиники «Два Дантиста», проводила лечение пациенту, который ранее обращался к ортодонту другой стоматологии. Поводом для повторного лечения стал рецидив: зубные единицы изменили свое положение, нарушив ровную линию зубного ряда. Что может стать причиной такой ситуации: 2. Отсутствие комплексного подхода при первичном ортодонтическом лечении. Формирование устойчивого правильного прикуса невозможно без работы над смыканием верхней и нижней челюсти, а также коррекции взаимного положения соседних зубов. Если во время лечения был сформирован правильный прикус, то зубы поддерживают друг друга и им попросту некуда смещаться. Если же прикус не был сформирован, то жевательная нагрузка будет распределена неравномерно, а зубы начнут «искривляться», пытаясь скомпенсировать эту неравномерную нагрузку и найти точку контакта с зубом-антагонистом.  ❗️Если первичное лечение работало только с выравниванием зубного ряда, то устойчивость такого резуль

Джексенбаева Зарина Касымкановна, стоматолог-ортодонт клиники «Два Дантиста», проводила лечение пациенту, который ранее обращался к ортодонту другой стоматологии.

Поводом для повторного лечения стал рецидив: зубные единицы изменили свое положение, нарушив ровную линию зубного ряда. Что может стать причиной такой ситуации:

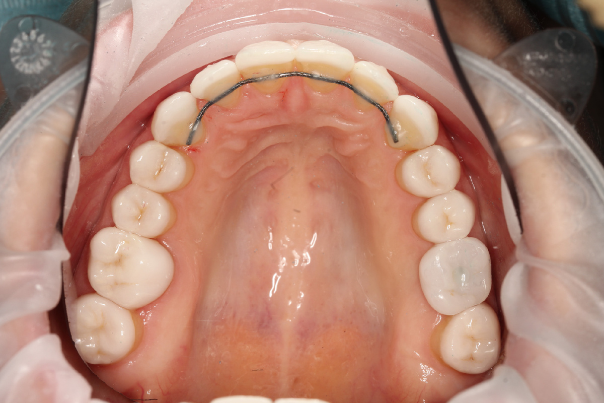
  1. Отсутствие или не соблюдение правил ретенционного периода. Этот этап представляет собой фиксацию и стабилизацию достигнутого лечения. Для закрепления положения зубов в прикусе используют ретейнеры на верхнюю и нижнюю челюсть. Они бывают съемные и несъемные. Несъемные ретейнеры представляют собой проволоку, установленную на внутренней поверхности зубов на верхней и нижней челюсти. Съемные ретейнеры или ретенционные капы — это пластиковые капы, которые пациент должен носить каждую ночь.
-2
  1. ❗️Если несъемные ретейнеры не установлены или деформированы (например, ретейнер лопнул или отклеился), или пациент не носит ретенционную капу, зубы не будут удерживаться в правильной позиции, а значит могут сместиться в неправильное положения.

2. Отсутствие комплексного подхода при первичном ортодонтическом лечении. Формирование устойчивого правильного прикуса невозможно без работы над смыканием верхней и нижней челюсти, а также коррекции взаимного положения соседних зубов. Если во время лечения был сформирован правильный прикус, то зубы поддерживают друг друга и им попросту некуда смещаться. Если же прикус не был сформирован, то жевательная нагрузка будет распределена неравномерно, а зубы начнут «искривляться», пытаясь скомпенсировать эту неравномерную нагрузку и найти точку контакта с зубом-антагонистом. 

❗️Если первичное лечение работало только с выравниванием зубного ряда, то устойчивость такого результата не надежна, постепенно будет происходить смещение зубов в неправильное положение.

В данном кейсе пациенту не устанавливались ретейнеры, что и стало причиной повторного обращения к стоматологу-ортодонту, но уже в нашу клинику.

-3

Зарина Касымкановна провела восстановительную работу на элайнерах длительностью 2 года. За этот период дополнительно применялись эластики — ортодонтические резинки. Эластичные тяги играют важную роль в исправлении смыкания: они создают дополнительные силы, способствующие более эффективному перемещению зубов и исправлению положения челюстей. Таким образом была скорректирована:

Выбирайте надежную клинику, и тогда результат любого лечения оправдает ваши ожидания.

Записаться в клинику «Два Дантиста» можно через сайт или по тел. 8 (812) 223-43-29