Добавить в корзинуПозвонить
Найти в Дзене
Radiology Hub

Разбор случая #23

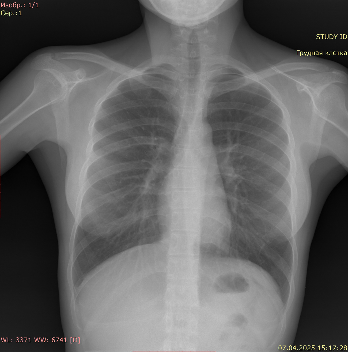
Видимые дыхательные пути проходимы. Тень средостения не смещена, не расширена. Корни легких четкие, структурные, не расширены. Очаговых и инфильтративных изменений в легких нет. Синусы свободны. Расщепление грудинного конца 5 и 6 ребра справа. Свободный газ не определяется.
Заключение: данных за очаговые или инфильтративные изменения не выявлено. Раздвоение 5 и 6 ребра справа (ребра Люшка)

Видимые дыхательные пути проходимы. Тень средостения не смещена, не расширена. Корни легких четкие, структурные, не расширены. Очаговых и инфильтративных изменений в легких нет. Синусы свободны. Расщепление грудинного конца 5 и 6 ребра справа. Свободный газ не определяется.

Заключение: данных за очаговые или инфильтративные изменения не выявлено. Раздвоение 5 и 6 ребра справа (ребра Люшка)