Добавить в корзинуПозвонить
Найти в Дзене

Опухоль молочной железы оказалась только «вершиной айсберга»: неожиданный клинический случай

Иногда то, что кажется очевидным диагнозом, на деле оказывается крайне редким случаем. История 45-летней пациентки началась с уплотнения в груди, но превратилась в настоящий медицинский детектив. Женщина 45 лет до начала нашей истории не имела никаких жалоб, но в мае 2024 года самостоятельно обнаружила у себя уплотнение в правой молочной железе. На первый взгляд, ситуация казалась типичной: по статистике, рак молочной железы занимает лидирующие позиции среди онкологических заболеваний у женщин, да и в молодом возрасте встречается уже не редко. Но при дальнейшем обследовании ситуация повернулась круто. Пациентка обратилась на прием к маммологу. При пальпации в верхнем внутреннем квадранте правой молочной железы определялось плотное, малоподвижное образование диаметром 2,0 см. Маммография и УЗИ подтвердили наличие опухолевого узла - казалось бы все признаки рака молочной железы. Биопсия, проведённая под ультразвуковым контролем, дала следующий результат: Гистологическое исследование №...
Оглавление

Иногда то, что кажется очевидным диагнозом, на деле оказывается крайне редким случаем. История 45-летней пациентки началась с уплотнения в груди, но превратилась в настоящий медицинский детектив.

Женщина 45 лет до начала нашей истории не имела никаких жалоб, но в мае 2024 года самостоятельно обнаружила у себя уплотнение в правой молочной железе. На первый взгляд, ситуация казалась типичной: по статистике, рак молочной железы занимает лидирующие позиции среди онкологических заболеваний у женщин, да и в молодом возрасте встречается уже не редко. Но при дальнейшем обследовании ситуация повернулась круто.

Первые шаги диагностики

Пациентка обратилась на прием к маммологу. При пальпации в верхнем внутреннем квадранте правой молочной железы определялось плотное, малоподвижное образование диаметром 2,0 см. Маммография и УЗИ подтвердили наличие опухолевого узла - казалось бы все признаки рака молочной железы.

Новообразование в правой молочной железе
Новообразование в правой молочной железе

Биопсия, проведённая под ультразвуковым контролем, дала следующий результат:

Гистологическое исследование №...: Аденокарцинома.

Гистологическое исследование выявило аденокарциному, но данное заключение сразу насторожило маммолога, потому что являлось не совсем типичным. Чаще всего после биопсии молочной железы в заключении звучит "протоковый рак молочной железы" или "дольковый рак молочной железы"

Пациентку направили к онкологу общего профиля.

Поиск ответов за пределами груди

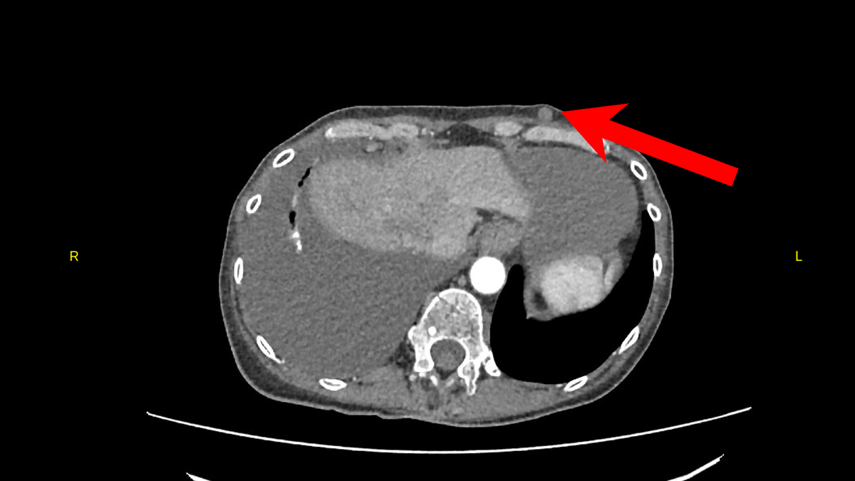
На приеме у онколога при тщательном осмотре были обнаружены несколько образований в мягких тканях, которые располагались в подкожно-жировой клетчатке туловища - на спине, животе, передней грудной стенке. Прикрепляю снимки КТ для иллюстрации.

Новообразованиие в мягких тканях туловища
Новообразованиие в мягких тканях туловища
Новообразованиие в мягких тканях туловища
Новообразованиие в мягких тканях туловища

Пациентке была назначена биопсия двух образований в мягких тканях, чтобы определить их природу, а также комплексное обследование внутренних органов.

Гистологическое исследование образования мягких тканей: морфологическая картина соответствует метастазу аденокарциномы.

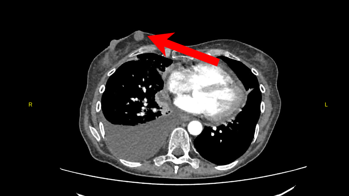
Пациентке было проведено КТ органов грудной клетки, брюшной полости и малого таза, которое открыло нам тайну этого клинического случая. Была выявлена массивная опухоль легкого с метастазами.

... в верхней доле правого легкого определяется патологическое образование 103х77мм... образование сливается с конгломератами увеличенных паратрахеальных лимфоузлов и прорастает: -в стенку трахеи, правый главный бронх и все долевые бронхи...
Опухоль легкого
Опухоль легкого

Также по данным КТ были выявлены множественные очаги в мягких тканях, плевре, брюшине, костях.

«Это редкий сценарий, — отмечает морфолог. — Метастазы в молочную железу составляют менее 2% всех её опухолей. Чаще всего они происходят из меланомы, рака почки или лёгкого, но в клинической практике их легко принять за первичный рак груди».

Биопсия из образования легкого тоже была выполнена. Надо отметить, что все обследование выполнялось параллельно и достаточно быстро. Как и ожидалось, после биопсии легкого дали заключение "аденокарцинома".

Окончательный диагноз звучал: Аденокарцинома правого легкого cT4N2M1 c метастазами в головной мозг, мягкие ткани, правую молочную железу, плевру и брюшину, кости.

Почему так важно полноценное обследование?

Данный случай напоминает нам о многих ключевых моментах:

  1. Диагностическая ловушка: не всегда можно отличить первичную опухоль от метастаза.
  2. Тактика лечения: ошибка в определении первичного очага опасна для пациента, потому что лечение почти всегда будет не верным.
  3. Прогноз: мы понимаем какой будет результат при неправильном лечении.

В данном случае оказалась очень важной настороженность маммолога, который оперативно направил пациентку к онкологу. А благодаря полноценному обследованию удалось поставить верный диагноз.

Судьба пациентки

После верификации диагноза был проведен междисциплинарный онкологический консилиум, на котором было назначено проведение комбинированной химио-иммунотерапии несколькими препаратами.

В настоящий момент пациентка успешно получает данное лечение и регулярно проходит контрольные обследования.

Нынешний результат дает нам надежду на долгую стабилизацию.

Заключение

История этой пациентки иллюстрирует, как важно:

  • Проводить тщательное стадирование при любом онкологическом диагнозе.
  • Использовать иммуногистохимию при атипичных результатах биопсии.
  • Помнить о редких, но возможных сценариях метастазирования.

Здоровья Вам и вашим близким!

Поддержать автора можно по кнопке в конце статьи ⬇️

_________________________________

Возможно Вам будет интересно: