Найти в Дзене

Белые пятна на зубах у ребенка: почему появляются, что делать

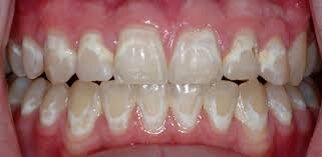
Появление белых пятен на зубах у ребенка – распространенное явление, которое требует внимания родителей и профессиональной оценки стоматолога. В клинике Dental-Guru мы помогаем разобраться в причинах этой проблемы и предлагаем эффективные методы лечения. 1. Начальная стадия кариеса (стадия белого пятна) o Деминерализация эмали o Результат действия кислот o Первый признак кариозного процесса 2. Гипоплазия эмали o Врожденное недоразвитие эмали o Последствие нарушений во время беременности o Результат перенесенных заболеваний в раннем детстве 3. Флюороз o Избыток фтора в организме o Поражение зубов в период их формирования o Характерно для регионов с высокой концентрацией фтора в воде 4. Травматические повреждения o Последствия ушибов молочных зубов o Нарушение развития постоянных зубов после травмы 5. Последствия ортодонтического лечения o Деминерализация под брекетами o Недостаточная гигиена во время ношения конструкций Консультация специалиста Dental-Guru требуется, если вы заметили:
Оглавление

Появление белых пятен на зубах у ребенка – распространенное явление, которое требует внимания родителей и профессиональной оценки стоматолога. В клинике Dental-Guru мы помогаем разобраться в причинах этой проблемы и предлагаем эффективные методы лечения.

Основные причины образования белых пятен

1. Начальная стадия кариеса (стадия белого пятна)

o Деминерализация эмали

o Результат действия кислот

o Первый признак кариозного процесса

2. Гипоплазия эмали

o Врожденное недоразвитие эмали

o Последствие нарушений во время беременности

o Результат перенесенных заболеваний в раннем детстве

3. Флюороз

o Избыток фтора в организме

o Поражение зубов в период их формирования

o Характерно для регионов с высокой концентрацией фтора в воде

4. Травматические повреждения

o Последствия ушибов молочных зубов

o Нарушение развития постоянных зубов после травмы

5. Последствия ортодонтического лечения

o Деминерализация под брекетами

o Недостаточная гигиена во время ношения конструкций

Когда необходимо обратиться к детскому стоматологу?

Консультация специалиста Dental-Guru требуется, если вы заметили:

· Появление матовых белых участков на эмали

· Шероховатость поверхности зубов

· Повышенную чувствительность к температурным раздражителям

· Быстрое образование налета на определенных участках

· Прогрессирующее увеличение пятен в размерах

Современные методы диагностики в Dental-Guru

Для точной диагностики причин белых пятен наши специалисты используют:

1. Визуальный осмотр с увеличением

o Оценка состояния эмали под микроскопом

o Определение типа и степени поражения

2. Лазерная диагностика

o Раннее выявление кариеса на стадии пятна

o Безопасный и точный метод

3. Анализ состава эмали

o Определение уровня минерализации

o Выявление дефицита кальция и фосфатов

4. Оценка гигиенического состояния

o Определение индекса налета

o Выявление мест скопления бактерий

Эффективные методы лечения

В Dental-Guru применяются проверенные методики устранения белых пятен:

1. Реминерализирующая терапия

· Профессиональные аппликации кальция и фосфора

· Фторирование эмали

· Использование наногидроксиапатита

2. Инфильтрационная технология ICON

· Лечение без сверления

· Запечатывание пораженных участков

· Эффективность на стадии белого пятна

3. Микроабразия эмали

· Щадящее выравнивание поверхности

· Устранение поверхностных дефектов

· Полировка специальными составами

4. Профилактические мероприятия

· Подбор индивидуальных средств гигиены

· Коррекция питания

· Герметизация фиссур

Профилактика появления белых пятен

Специалисты Dental-Guru рекомендуют:

1. Правильную гигиену полости рта

o Чистка зубов с момента прорезывания

o Использование возрастных зубных паст

o Контроль родителей за качеством чистки

2. Сбалансированное питание

o Достаточное количество кальция и фосфора

o Ограничение сладких перекусов

o Употребление твердых овощей и фруктов

3. Регулярные осмотры у стоматолога

o Профессиональная гигиена 2 раза в год

o Своевременное выявление проблем

o Профилактические процедуры

-2

Почему стоит выбрать Dental-Guru?

1. Специализированная детская стоматология

o Врачи с опытом работы именно с детьми

o Адаптированные методики лечения

o Безболезненные процедуры

2. Современное оборудование

o Точная диагностика на ранних стадиях

o Безопасные материалы для лечения

o Минимально инвазивные технологии

3. Индивидуальный подход

o Учет особенностей каждого ребенка

o Подробные рекомендации для родителей

o Программы наблюдения после лечения

Лечение зубов детей в Dental-Guru – это комплексный профессиональный подход, комфортная атмосфера и гарантированный результат. Не откладывайте визит к стоматологу – запишитесь на консультацию, чтобы сохранить здоровье улыбки вашего ребенка.