Добавить в корзинуПозвонить
Найти в Дзене

Сложнейший случай в практике клиники: как Анна изменила свою жизнь

Анна пришла в нашу клинику «Академия» с надеждой, которой почти не осталось. За её плечами — пять лет сложного лечения и сплошных разочарований.
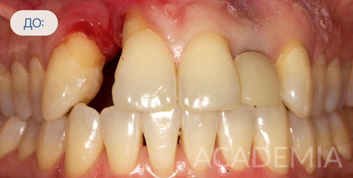
"Я уже не верила, что у кого-то получится", — вспоминает она. Ранее установленные импланты не прижились. Костная пластика — неудачна. В других клиниках предлагали удалить шесть верхних зубов и поставить мост. Но Анна сопротивлялась: «Мне было чуть за 30, и я не могла смириться с тем, что у меня будет «бабушкин» мост». Она пришла в «Академию» без двух передних зубов. Со слезами на глазах. С отчаянием и страхом. Но и с последней надеждой: «Просто помогите мне…» Врачи клиники провели: Все этапы шли строго по плану. И это было важно: «Ты понимаешь, к чему ты идешь. Это даёт ощущение уверенности и контроля», — говорит Анна. Главный врач клиники, Анастасия Вышлова, вспоминает:
«Анна — невероятная. Очень тонкая, красивая девушка, которая боролась за каждый свой зуб. И мы приняли этот вызов вместе с ней. Были моменты, когда проще было бы удалить, но
Оглавление

Анна пришла в нашу клинику «Академия» с надеждой, которой почти не осталось.

За её плечами — пять лет сложного лечения и сплошных разочарований.
"Я уже не верила, что у кого-то получится", — вспоминает она. Ранее установленные импланты не прижились. Костная пластика — неудачна. В других клиниках предлагали удалить шесть верхних зубов и поставить мост. Но Анна сопротивлялась: «Мне было чуть за 30, и я не могла смириться с тем, что у меня будет «бабушкин» мост».

Она пришла в «Академию» без двух передних зубов. Со слезами на глазах. С отчаянием и страхом. Но и с последней надеждой: «Просто помогите мне…»

Что было сделано?

Врачи клиники провели:

  • Повторную диагностику и полный пересмотр плана лечения
  • Лечение соседних зубов
  • Удаление некачественных имплантов, установленных ранее
  • Проведение мягкотканевой пластики (наращивание десны)
  • Установку нового имплантата только на одну сторону (на вторую — не устанавливали, чтобы сохранить живой зуб)
  • Эстетическую коррекцию улыбки
  • Установку индивидуальных керамических коронок, идеально сливающихся с натуральными зубами

Все этапы шли строго по плану. И это было важно: «Ты понимаешь, к чему ты идешь. Это даёт ощущение уверенности и контроля», — говорит Анна.

5 лет борьбы — и победа

Главный врач клиники, Анастасия Вышлова, вспоминает:
«Анна — невероятная. Очень тонкая, красивая девушка, которая боролась за каждый свой зуб. И мы приняли этот вызов вместе с ней. Были моменты, когда проще было бы удалить, но мы решили сохранить максимум.»

Хирург клиники, Дамир Мухамадиев, аккуратно проводил все вмешательства, включая обезболивание.

Анна говорит с улыбкой:
«У него лёгкая рука. Я каждый раз думала — сейчас будет больно… а потом: всё уже?!»

Когда мечта становится реальностью

-3

На карте желаний Анны была нарисована идеальная улыбка. И спустя годы она увидела эту улыбку в зеркале. «Я достала карту, посмотрела на фото — и поняла: сбылось. Один в один».

Теперь она фотографируется с широкой, открытой улыбкой, перестала стесняться и прятать лицо.

«Близкие всегда меня поддерживали, но с этой улыбкой — я как будто сама себя полюбила заново».

Сложнейшая эстетическая задача — выполнена идеально

У Анны — сложная анатомия. При улыбке у неё заметна линия десны, что делает любую работу в зоне передних зубов — ювелирной. Малейшая ошибка была бы видна. Но врачи справились идеально.

«Я-то помню, сколько всего мы делали… Но когда смотрю на результат — я не вижу границ. Где свои зубы, где коронки — понять невозможно», — говорит Анастасия Владимировна.

Для тех, кто уже отчаялся — но всё ещё мечтает

Гайдук Анна

«Я прошла через боль, страх, усталость. Но главное — я прошла этот путь. И теперь могу сказать всем, кто сомневается: не сдавайтесь. Просто найдите своих людей. Мне повезло найти их здесь, в "Академии"».


Для более подробной информации о лечении Анна и других клинических случаях вы можете ознакомиться с
оригинальным материалом на сайте клиники "Academia"

Наши соц.сети:
Сайт
Вконтакте
Телеграм-канал
Instagram*

Запись на консультацию возможна через сайт, мессенджеры или по номеру телефона +7 (495) 198-10-00

*Instagram является продуктом Meta, эта организация признана экстремистской и запрещена на территории России.