Найти в Дзене

Мракобесие и БАДы вошли в канал

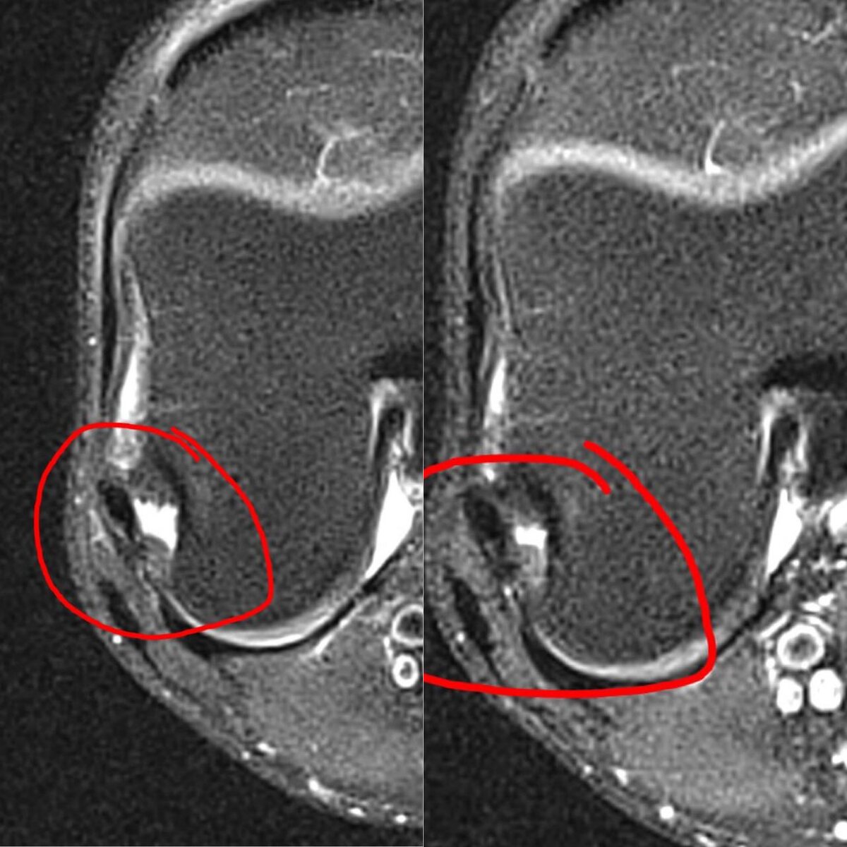
Мракобесие и БАДы вошли в канал! Так же в канал для обсуждения приглашаются эксперты, которые смогут объяснить динамику снимков МРТ после разрыва мениска. За основу берём научные данные, что хрящи не восстанавливаются. Но… Это обсуждение к моему реалити-шоу по восстановлению сустава без операции. На фото к посту видны изменения по которым чётко видно, что разрыв не закрыт полностью, структура мениска нарушена, но отёчные изменения уменьшились, признаки воспаления ослабли. Это говорит о стабилизации процесса, но не о полном заживлении. Динамика указывает на частично заживающий разрыв заднего рога медиального мениска при попытке консервативного лечения. Если клинически наблюдаются блокировки, боль при нагрузке или ограничение движения — показано артроскопическое вмешательство. Как считаете: Продолжить консервативное восстановление (вот такое) или делать операцию? Ставьте реакцию и пишите ваши комментарии консервативно - 👍🏽 операция - 🤔

Мракобесие и БАДы вошли в канал!

Так же в канал для обсуждения приглашаются эксперты, которые смогут объяснить динамику снимков МРТ после разрыва мениска. За основу берём научные данные, что хрящи не восстанавливаются. Но…

Это обсуждение к моему реалити-шоу по восстановлению сустава без операции.

На фото к посту видны изменения по которым чётко видно, что разрыв не закрыт полностью, структура мениска нарушена, но отёчные изменения уменьшились, признаки воспаления ослабли.

Это говорит о стабилизации процесса, но не о полном заживлении.

Динамика указывает на частично заживающий разрыв заднего рога медиального мениска при попытке консервативного лечения.

Если клинически наблюдаются блокировки, боль при нагрузке или ограничение движения — показано артроскопическое вмешательство.

Как считаете:

Продолжить консервативное восстановление (вот такое) или

делать операцию?

Ставьте реакцию и пишите ваши комментарии

консервативно - 👍🏽

операция - 🤔