Найти в Дзене
Radiology start!

Флюорография и туберкулёз. Часть 1.

Как устроена система выявления туберкулёза? Какая рентгеновская методика самая лучшая для выявления туберкулёза? Что информативнее: флюорография или рентген? Можно ли сделать рентген если врач рекомендовал флюорографию? На эти и множество других вопросов я постараюсь ответить в данной статье. Будет интересно! Говорю «туберкулёз» — думаю о флюорографии. Говорю «флюорография» — думаю о туберкулёзе. Почему два этих понятия настолько тесно и неразрывно слились в наших умах? Какое место занимает флюорография в системе выявления туберкулеза? Почему именно флюорография, может, что-то лучше? Попробуем разобраться в этом. Для начала несколько слов о туберкулезе: это инфекционное заболевание, которое вызывается микобактериями туберкулеза. Данное заболевание поражает преимущественно легкие, характеризуется наличием в легких очагов, инфильтратов и полостей распада. Также туберкулез может поражать практические любые органы человека, в том числе лимфоузлы, головной и спинной мозг, кости, желудок и к
Оглавление

Как устроена система выявления туберкулёза? Какая рентгеновская методика самая лучшая для выявления туберкулёза? Что информативнее: флюорография или рентген? Можно ли сделать рентген если врач рекомендовал флюорографию? На эти и множество других вопросов я постараюсь ответить в данной статье. Будет интересно!

Немного о туберкулёзе.

Говорю «туберкулёз» — думаю о флюорографии. Говорю «флюорография» — думаю о туберкулёзе. Почему два этих понятия настолько тесно и неразрывно слились в наших умах? Какое место занимает флюорография в системе выявления туберкулеза? Почему именно флюорография, может, что-то лучше? Попробуем разобраться в этом.

Для начала несколько слов о туберкулезе: это инфекционное заболевание, которое вызывается микобактериями туберкулеза. Данное заболевание поражает преимущественно легкие, характеризуется наличием в легких очагов, инфильтратов и полостей распада. Также туберкулез может поражать практические любые органы человека, в том числе лимфоузлы, головной и спинной мозг, кости, желудок и кишечник, кожу, глаза.

В чем же опасность туберкулёза?

  1. Туберкулез практически всегда на ранних стадиях протекает бессимптомно — распознать его у пациентов, не предъявляющих никаких жалоб, крайне тяжело.конца жизни пациента так и не проявить себя.
  2. Заболевание опасно в эпидемиологическом плане — в определенных фазах заболевания пациенты активно выделяют бактерии в окружающую среду во время кашля и с мокротой. У контингента с отсутствием иммунитета к туберкулёзу в случае контакта с таким пациентом вероятность заражения крайне высока.
  3. Если туберкулез не лечить, он гарантированно приводит к массе различных осложнений и утрате функции того органа, который поражён туберкулезным процессом, — пациент становится инвалидом и потенциальным бактериовыделителем.
  4. Туберкулез тяжело поддается лечению и требует использования крайне токсичных противомикробных препаратов.

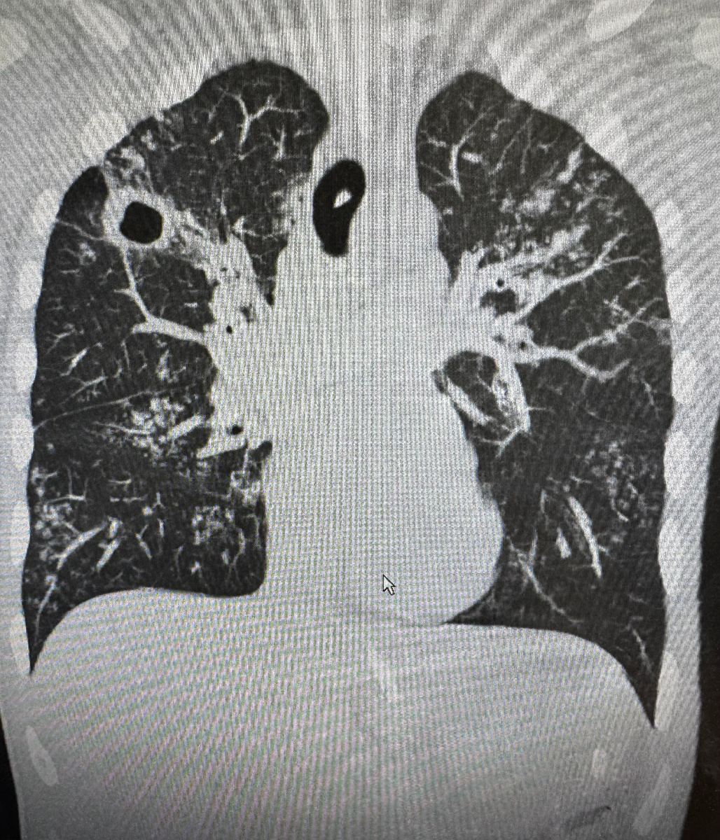
Туберкулез легких на КТ. Видна полость распада справа и многочисленные очаги уплотнения в обоих легких.
Туберкулез легких на КТ. Видна полость распада справа и многочисленные очаги уплотнения в обоих легких.

Список этих последствий заражения туберкулезом можно продолжать и дальше — заболевание обладает огромным разрушительным потенциалом и носит социальный характер. По последним литературным данным считается, что треть населения всего земного шара и до 80% населения неблагополучных стран инфицированы туберкулёзом — большинство контингента инфицировалось еще в детском возрасте. Не у всех инфицированных пациентов заболевание манифестирует — в большинстве случаев туберкулезный процесс переходит в латентную фазу и может до конца жизни оставаться неактивным.

В настоящее время нет способов полностью удалить из организма дремлющего возбудителя туберкулеза. На любом этапе жизни любого человека , в особенности, если имеет место иммунодефицит, туберкулёзный процесс из латентного может незаметно и бессимптомно перейти в активную фазу, что очень резко и трагично меняет жизнь ни о чем не подозревающего пациента и его окружения.

Рентгенологи на страже туберкулеза.

В предыдущей части статьи я дал краткую характеристику туберкулёзу как тяжелому, социально значимому и инвалидизирующему заболеванию, крайне опасному в эпидемиологическом плане. Есть целая ветвь в медицинской специальности, посвящённая диагностике и лечению туберкулёза во всех его проявлениях. Называется она фтизиатрия. Однако мой блог посвящён рентгенологической тематике, поэтому далее я расскажу вам, какое место занимает рентгенология в диагностике туберкулёза, какие рентгенологические методики мы используем для его выявления и какое место занимает флюорография в данной экосистеме.

Итак, врачей-рентгенологов можно без ложной скромности назвать самым первым и важнейшим звеном в борьбе с туберкулезом, потому что рентгенография является информативной методикой в диагностике данного заболевания. Мы постоянно насторожены в плане туберкулеза. В рентгенологии есть негласное правило: когда мы имеем дело с рентгенографией или компьютерной томографией органов грудной клетки, мы всегда держим в голове две патологии: туберкулёз и рак, и по умолчанию подозреваем их у каждого пациента.

А как вы думаете, почему в программу ежегодной диспансеризации, которую проводит каждый уважающий себя работодатель своим сотрудникам, обязательно входит рентгенография грудной клетки (а в некоторых сферах труда рентгенографию грудной клетки нужно делать не один, а два раза в год)? Ответ на этот вопрос для меня как для врача абсолютно очевиден: туберкулез, как мы уже говорили выше, это заболевание, которое в начальную свою фазу протекает абсолютно бессимптомно, и единственный способ это распознать — выполнить профилактическое исследование грудной клетки. Что означает термин «профилактическое исследование»? Он означает, что вы выполняете рентгенографию грудной клетки, когда у вас нет абсолютно никаких жалоб и вас ничего не беспокоит. Вы просто делаете её с определённой периодичностью, чаще всего раз в год. И здесь, конечно, у нас возникает недопонимание с очень большим процентом пациентов, причем даже работающих в медицинской сфере. Люди страшно боятся мизерной лучевой нагрузки от рентгеновского снимка, но не понимают, что заболеть туберкулезом и довести его до той стадии, которая уже плохо поддается медицинскому лечению, — значит практически поставить крест на своей дальнейшей жизни и карьере. А уж если это принесет вред здоровью ближайших родственников и детей — здесь даже объяснять ничего не нужно. Поэтому диспансеризация в целом и рентгенография грудной клетки в частности — это мощный щит или защитный купол, который окружает человечество и защищает его от ужасного, тяжелого, фатального заболевания.

Ко мне лично множество раз поступали просьбы от пациентов не выполнять снимки и написать протокол исследования грудной клетки с нормой для трудоустройства на работу или в процессе диспансеризации. На этот счет у меня однозначная позиция: никогда этого не делал и не буду делать. По вышеописанным причинам я считаю это недопустимым.

Ставим задачу: обследуем население.

Итак, друзья, если вы внимательно и вдумчиво прочитали всё, что написано выше, осмыслили содержимое и сделали для себя какие-либо выводы — попробуйте ответить на один простой вопрос: какой объем работы должен выполнить рентгенолог, чтобы обеспечить диспансеризацию для населения? Могу немного конкретизировать: вот, к примеру, мы имеем одну большую нашу страну — Российскую Федерацию. Сколько жителей государства необходимо обследовать, чтобы обеспечить защиту от туберкулеза? Ответ простой: нужно обследовать ВСЕХ! Всё взрослое население страны. Сделаем задачу ещё более конкретной и уменьшим масштаб до размеров одного города, ну, например, Москвы. Районы здесь очень большие — население одного района может составлять и 150000, и 250000 человек. Одна поликлиника обслуживает в среднем от 20000 до 50000 человек в год. Таким образом, перед поликлиникой ставится задача на год: провести диспансеризацию населения района. С помощью нехитрых расчетов мы можем получить цифру, сколько примерно исследований грудной клетки в смену нужно провести, чтобы выполнить эту задачу. Получается цифра около 60, и это расчет по самым минимальным показателям загрузки.

Нам, конечно же, стало намного легче от того, что от размытого понятия «обследовать все население» мы пришли к чему-то более конкретному, а именно «обследовать 60 человек за смену». И теперь от этих скучных административных тонкостей и чисел мы переходим к более интересной практической задаче: попробуем выбрать методику, с помощью которой мы будем обследовать пациентов. На всякий случай отмечу: такого рода задачи ставятся перед поликлиниками, так как именно в них проводится диспансеризация. У стационаров совсем другие функции, и профилактика туберкулеза уж точно не входит в круг их основных задач. Далее мы будем сравнивать все имеющиеся в нашем арсенале рентгеновские методики и оценим, насколько они подходят для выполнения этой непростой и объемной задачи.

Роль рентгенографии грудной клетки в профилактике туберкулеза.

Я стараюсь раскрыть тему нашей статьи полностью, чтобы у вас не осталось никаких вопросов, и, на мой взгляд, если мы не переместимся во времени лет на 20–30 назад, мы не получим корректного ответа на вопрос, какое место флюорография занимает в диагностике туберкулеза. Здесь важна история, и мы к ней обратимся.

Представьте: на дворе примерно конец XX — начало XXI века, и мы попадаем в рентгеновский кабинет поликлиники. Что мы ожидаем там увидеть? Как оснащен кабинет? Какая аппаратура используется для получения заветных рентгеновских снимков грудной клетки?

Друзья, вы можете смело забыть про цифровую рентгенографию, про DICOM, про PACS, про рабочие станции и высокоразрешающие мониторы. Эти понятия только рождались, развивались в те годы, и на всей территории России вряд ли вы бы встретили цифровой рентгеновский аппарат. В это время господствовала традиционная аналоговая рентгенография.

Аналоговый рентгеновский аппарат.
Аналоговый рентгеновский аппарат.

Попробуем обратиться к техническим вопросам. Как выполнялась не цифровая, а аналоговая рентгенография во времена доцифровой эпохи. Первые этапы выполнения рентгенографии ничуть не поменялись, а остались прежними. Во-первых, вы должны пригласить пациента в кабинет. Во-вторых, тщательно проинструктировать его, снять предметы одежды, которые могут помешать выполнению рентгенографии или вызвать на ней различного рода дополнительные тени, которые врач может принять за патологические находки. Даже на этом этапе могут возникнуть временные задержки, связанные с тем, что, например, пациенту пожилого возраста раздеваться довольно тяжело, и этот процесс, уж поверьте, может занять ну минимум 5-10 минут. Затем нужно придать пациенту правильную позицию (этот процесс называется укладка). В-третьих, нужно внести данные пациентов в журнал регистрации рентгеновских исследований. Потом мы выполняем непосредственно рентгеновский снимок — это очень быстро, занимает менее одной секунды. А затем необходимо снимки проявить.

Да-да, в доцифровую эпоху нужно было отнести пленку в специальную темную проявочную комнату, затем проявить ее с помощью фиксажа и проявителя, затем высушить снимок, и только потом можно передать его врачу-рентгенологу, для того чтобы он его интерпретировал. На заре рентгенологии процесс проявки производился вручную: лаборанты помещали снимки в ванны с реактивами, ждали, пока они подействуют, а потом сушили снимки.

Емкости для проявки снимков вручную: сушилка, емкость для проявителя, емкость для фиксажа.
Емкости для проявки снимков вручную: сушилка, емкость для проявителя, емкость для фиксажа.

В 90-х годах появились проявочные машины, и процесс упростился - достаточно было поместить снимок в проявочную машину, а далее процесс проявки происходил автоматически - конечно, не без проблем и не всегда идеально. У дешевых машин - плоховато, а у именитых производителей вроде Kodak - хорошо. Получилось плохо - нужно снимок переделывать, а это временные затраты. И это не какой-то форс-мажор, а вполне рутинный момент - процентов пять всех снимков так или иначе требовалось переделывать по причине различных ошибок на различных стадиях техпроцесса.

Проявочная машина. Внизу канистры с реактивами.
Проявочная машина. Внизу канистры с реактивами.

Даже при наличии проявочной машины и при отсутствии ошибок персонала все вышеперечисленные этапы получения рентгенограммы в лучшем случае занимали не менее 15 минут. И здесь вступает в дело простая математика: 15 минут умножаем на 60 пациентов и получаем цифру 900. Примерно 900 минут требуется для того, чтобы выполнить 60 стандартных рентгенографий грудной клетки. Рабочая смена врача длится 6 часов. А нам требуется 15 часов. Конечно, есть выход: можно увеличить количество врачей, увеличить количество рентгенлаборантов и улучшить эти показатели в 2 раза. И на бумаге, в принципе, эта задача выглядит выполнимой.

Но реальность нам говорила совсем о другом. Если в поликлинике имеется рентгеновский аппарат, то с его помощью мы обследуем не только грудные клетки, но и массу различной патологии по другим органам: здесь и травматологические больные с различными переломами, хирургические больные с длительными процедурами вроде рентгенографии желудка и ирригоскопии. У всех этих исследований есть различные показатели срочности выполнения: если у пациента перелом или острая хирургическая проблема — эти исследования должны быть проведены в первую очередь. А тот контингент, который пришёл на профилактическое обследование и в данный момент ничем не болеет — идет уже во вторую очередь. Всё очень логично, но если перевести всё в цифры — получается, что мы имеем 60 профилактических пациентов и еще такое же количество тех, кому исследование нужно в экстренном порядке. А здесь налицо перегрузка рентгеновского кабинета. В таких условиях персонал просто не справится со своими задачами за отведенное время, а пациенты будут проводить в очередях большое количество времени.

И вот мы имеем следующие противоречивые вводные данные: рентгенография—очень информативная методика для выявления туберкулеза, но рентгенкабинеты перегружены, что вызывает большой хаос в организации лечебно диагностического процесса.

Поэтому совершенно логичным образом ещё в середине XX века возник вопрос: вероятно, в лечебном учреждении можно выделить отдельный рентгеновский кабинет, который будет ориентирован исключительно на диспансеризацию плановых пациентов, — ведь, несмотря на то что исследование нужно не в экстренном порядке, количество пациентов не уменьшилось, и их в любом случае нужно обследовать — выполнить план. А также применить какие-либо технические шаги, которые смогут ускорить сам техпроцесс выполнения рентгеновских снимков, хотя бы на 50%. Также, использовать полноценный рентгеновский аппарат только для исследований легких - это нерационально и расточительно.

Резюме: для обеспечения полного охвата населения диспансеризацией нам необходимо следующее:

  1. Отдельный кабинет, где будут проводиться только профилактические исследования легких.
  2. Технически упрощенный (а значит недорогой) аппарат , который создан только для исследования легких.
  3. Процесс получения рентгенограмм на данном аппарате должен занимать значительно меньше времени, чем на обычном аппарате.

Так и родилась её величество флюорография!

Продолжение следует! 👀

Дабы не делать статью очень длинной и затянутой, я решил её разбить на две части. Поэтому про суть, недостатки и преимущества флюорографии читайте в следующей части публикации!

На моем канале Radiology start! в Дзене есть ряд интересных публикаций, посвященных рентгенологии, и их список постоянно пополняется. Присоединяйтесь, подписывайтесь! Пишите комментарии, ставьте лайки, задавайте любые вопросы, и я с радостью на них отвечу!🔥

Заходите в Инсту и Rutube - тематика этих каналов во многом пересекается с Дзеном, но в каждом из них , также, будут и уникальные материалы!