Добавить в корзинуПозвонить
Найти в Дзене

Ох уж эти перегибы...

Перегибы желчного пузыря, возможно, одна из наиболее частых находок на ультразвуковом приеме у врача, исследующего брюшную полость. Это врожденная (как правило) аномалия развития, причем , нередко, "передающаяся по наследству". Чаще всего, перегиб не проявляется ни клинически, ни лабораторно и является случайной находкой при ультразвуковом исследовании. И каких только по форме перегибов мы ни видим - и незначительные, и выраженные, и S-образные (это когда два перегиба на противоположных стенках на разном уровне) и С-образные (правда, такую деформацию редко пишут, чаще указывая просто наличие перегиба в каком-то отделе пузыря) и перегиб в области дна с красивым названием "перегиб по типу Фригийского колпака". P.S. Однажды у меня на приеме одна пациентка произнесла: "У меня этот, желчный пузырь, как его... вот, вспомнила: фригидный колпак!" :-) С одной стороны - перегибы это частая находка, не вызывающая особого интереса у диагноста. Но с другой стороны, это довольно коварная вещь, поск
Перегибы. Изображение из свободного доступа.
Перегибы. Изображение из свободного доступа.

Перегибы желчного пузыря, возможно, одна из наиболее частых находок на ультразвуковом приеме у врача, исследующего брюшную полость. Это врожденная (как правило) аномалия развития, причем , нередко, "передающаяся по наследству". Чаще всего, перегиб не проявляется ни клинически, ни лабораторно и является случайной находкой при ультразвуковом исследовании.

И каких только по форме перегибов мы ни видим - и незначительные, и выраженные, и S-образные (это когда два перегиба на противоположных стенках на разном уровне) и С-образные (правда, такую деформацию редко пишут, чаще указывая просто наличие перегиба в каком-то отделе пузыря) и перегиб в области дна с красивым названием "перегиб по типу Фригийского колпака".

P.S. Однажды у меня на приеме одна пациентка произнесла: "У меня этот, желчный пузырь, как его... вот, вспомнила: фригидный колпак!" :-)

С одной стороны - перегибы это частая находка, не вызывающая особого интереса у диагноста. Но с другой стороны, это довольно коварная вещь, поскольку перегиб иногда не "лежит" в плоскости продольной оси пузыря и может "выпадать" из поля зрения, а перегиб в шейке и вообще может оказаться нераспознанным, если врач не вывел изображение шейки качественно. Казалось бы - ничего страшного, от перегиба желчного пузыря еще никто не умирал. Но проблема в том, что за складкой стенки пузыря в зоне перегиба может быть полип или камень, который при недостаточно внимательном исследовании может быть пропущен.

Приведу некоторые примеры:

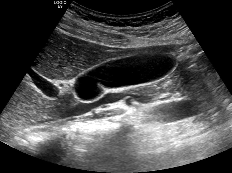
Рис. 01. Перегиб в шейке.
Рис. 01. Перегиб в шейке.

Видео 02. Перегиб в шейке

-3

Рис. 03. Выраженный перегиб в средней трети желчного пузыря, т.е в области тела. Желчный пузырь буквально "сложен пополам", из-за чего его часть, которая за перегибом может вообще оказаться неосмотренной.

Видео 04. Выраженный перегиб в средней трети желчного пузыря

-4

Рис. 05. S-образный перегиб в шейке. Две вдающиеся в просвет складки на противоположных стенках на разном уровне формируют характерную деформацию.

Видео 06. S-образный перегиб в шейке

-5

Рис. 07. Перегиб в области дна. Тот самый "Фригийский колпак", при котором получается "шапочка с помпоном". Справка: Фригийский колпак (также фракийский) — мягкий закругленный колпак красного цвета со свисающим вперёд верхом. Называется в честь Фригии — области в центре Малой Азии. Известен как символ свободы или революции. (Википедия)

Видео 08. перегиб в области дна

А иногда желчный пузырь настолько деформирован перегибами, что вообще сложно оценить его форму.

-6

Рис. 09. Выраженная деформация желчного пузыря за счет перегибов

Видео 10. Выраженная деформация желчного пузыря за счет перегибов

А теперь клиническое наблюдение.

Пациентка 45 лет, с избыточным весом и анамнезом желчнокаменной болезни обратилась в клинику с болями в правой половине живота. Осмотрена хирургом, направлена на ультразвуковое исследование.

При ультразвуковом исследовании желчный пузырь увеличен в размерах. Отмечается выраженная его деформация за счет перегибов - перегиб в области дна с образованием глубокой складки, вдающейся в просвет, и второй перегиб - S-образный в области шейки. В просвете желчного пузыря определяются три конкремента. Два камня в области дна, сразу за перегибом, и третий камень в шейке, с возможным его "вклинением" на что указывает тесное его прилегание к стенкам в узком пространстве. Все камни с дистальной акустической тенью.

-7

Рис. 11. Острый калькулезный холецистит и выраженные перегибы желчного пузыря.

-8

Рис. 12. Острый калькулезный холецистит и выраженные перегибы желчного пузыря.

-9

Рис. 13. Острый калькулезный холецистит и выраженные перегибы желчного пузыря.

Видео 14. Острый калькулезный холецистит и выраженные перегибы желчного пузыря.

Стенки пузыря без явного утолщения, но на отдельных участках толщина достигала 3 мм. Отмечается слоистость стенок, видимая, опять же, не очень отчетливо, ввиду того, что при увеличении размеров пузыря стенки растягиваются и симптом слоистости может стать неотчетливым. При цветном допплеровском картировании отмечается васкуляризация стенки, чего в норме мы обычно не наблюдаем.

-10

Рис. 15. Острый калькулезный холецистит. Допплеровское исследование

Видео 16. Острый калькулезный холецистит. Допплеровское исследование

Локальная дозированная компрессия датчиком резко болезненна. Сделано заключение о наличии острого калькулезного холецистита.

Пациентка госпитализирована.