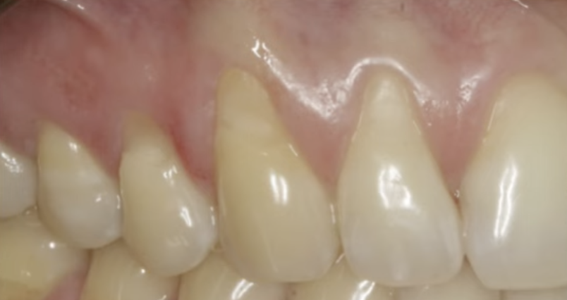
Рецессия десны – давно известный диагноз, однако количество пациентов, обращающихся в клинику с такими жалобами, в последнее время постоянно растет. Это обусловлено несколькими факторами. Во-первых, при гигиене полости рта, как правило, основное внимание уделяется зубам – их активной чистке и слежению за их здоровьем, а вот десны при этом могут, как ни странно, страдать. Объясняется все очень просто: из-за чрезмерного усердия при уходе за зубами люди нередко слишком сильно давят на зубную щетку. И это давление, которое вроде как помогает отчистить зубной налет по максимуму, одновременно оказывает и негативное влияние на десну, которая может из-за этого подвергаться рецессии. Во-вторых, с распространением ортодонтического лечения случаи рецессии десен также стали распространяться. Перемещение зубов при таком лечении очень часто влечет за собой и изменение высоты десны. Что же такое рецессия десны? Это потеря десневых тканей с одновременным оголением корня зуба. То есть десна не просто п
Почему плохо, когда оголяется корень❓
10 февраля 202410 фев 2024
991
2 мин
