Найти в Дзене
Стоматология ROOTT

Почему синеет десна при прорезывании зубов у ребенка?

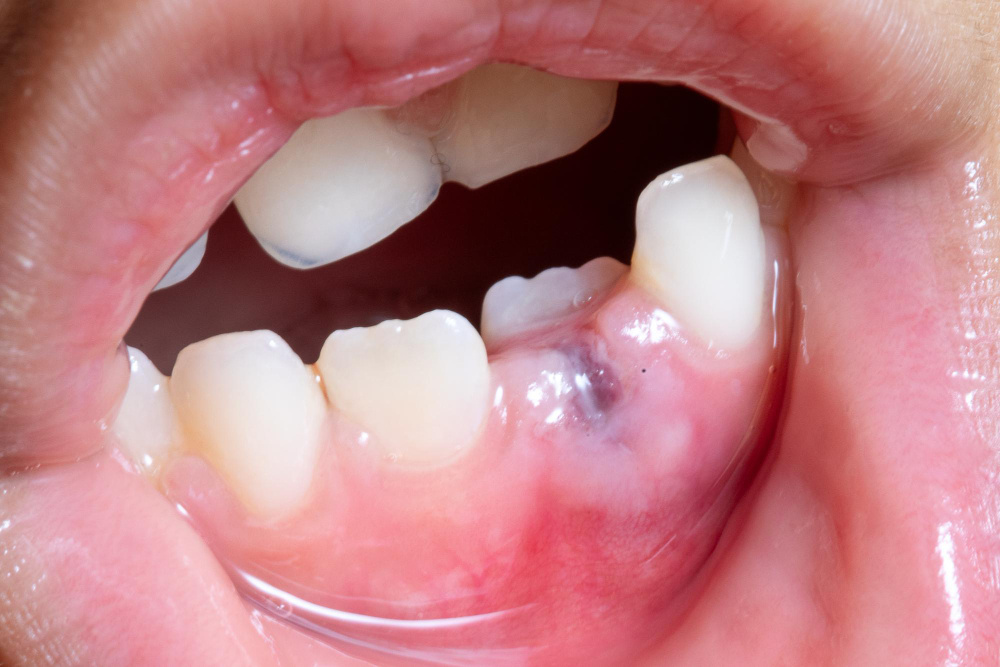
Иногда во рту у ребенка на месте будущих зубов появляются синие шишки. Это так называемые гематомы прорезывания, или эрупционные кисты. Попросили нашего стоматолога Элину Семикитич подробнее рассказать о том, что это такое и как лечится. Зачатки зубов формируются внутри кости челюсти. Когда формирование зуба завершается, он начинает продвигаться наверх, преодолевая сопротивление костной ткани и десны. Десна набухает, чешется. А иногда ее сосуды травмируются, кровь истекает в ткани — образуется гематома. В зависимости от количества скопившейся крови, она может быть сине-фиолетовой, темно-красной или даже коричневой. Постепенно гематома может расти. Ее размеры также зависят от групповой принадлежности зуба. В области коренных зубов обычно образуются более крупные «шишки». Хотя гематомы выглядят устрашающе, они чаще всего безболезненны и не доставляют беспокойства ребенку. Есть несколько версий. По одной из них, причина — в излишне утолщенной ткани десны, сквозь которую зубу просто трудно
Оглавление

Иногда во рту у ребенка на месте будущих зубов появляются синие шишки. Это так называемые гематомы прорезывания, или эрупционные кисты. Попросили нашего стоматолога Элину Семикитич подробнее рассказать о том, что это такое и как лечится.

Что такое гематомы прорезывания?

Зачатки зубов формируются внутри кости челюсти. Когда формирование зуба завершается, он начинает продвигаться наверх, преодолевая сопротивление костной ткани и десны. Десна набухает, чешется. А иногда ее сосуды травмируются, кровь истекает в ткани — образуется гематома. В зависимости от количества скопившейся крови, она может быть сине-фиолетовой, темно-красной или даже коричневой.

Постепенно гематома может расти. Ее размеры также зависят от групповой принадлежности зуба. В области коренных зубов обычно образуются более крупные «шишки».

Хотя гематомы выглядят устрашающе, они чаще всего безболезненны и не доставляют беспокойства ребенку.

Почему образуются гематомы прорезывания?

Есть несколько версий. По одной из них, причина — в излишне утолщенной ткани десны, сквозь которую зубу просто трудно прорезаться.

По другой гипотезе, гематома образуется в том случае, если слизистая повреждается за несколько дней до прорезывания зуба. Причем травма не обязательно должна быть серьезной. Это может быть даже небольшая царапина, которая возникает при пережевывании твердой пищи.

Замечено, что гематомы прорезывания чаще образуются у европейцев, чем у детей другой расы. У мальчиков и девочек они встречаются одинаково часто.

На месте каких зубов чаще образуются гематомы?

Гематомы могут поражать как молочные, так и постоянные зубы. Но чаще возникают на месте молочных резцов, моляров и первых постоянных моляров. На верхней челюсти их можно наблюдать чаще.

Что делать, если заметили гематому во рту у ребенка?

Правильно — наблюдать. Трогать или тем более пытаться проколоть десну не нужно.

В большинстве случаев кисты прорезывания не нуждаются в лечении. В течение нескольких дней зуб прорезывается сквозь десну и шишка спадает.

Если киста сохраняется дольше двух-трех недель, нужно показаться стоматологу. Бывает, что опухание десны обусловлено не гематомой, а другой патологией, например, фибромой или гранулемой. Врач точно оценит характер образования и решит, что делать. Иногда десну над кистой надрезают, чтобы дать возможность зубу вырваться на поверхность. Эту процедуру проводят под «заморозкой».

Понравился материал? Ставьте 👍 и подписывайтесь. Мы пишем о том, как сохранить здоровье зубов и что делать, если возникли проблемы.

Наш сайт: www.dentalroott.ru

📞 +7 (800) 100-14-82

🏥 Москва, Огородный проезд, д. 19, к. 2 (клиника РеСмайл)

🏥 Москва, Волгоградский проспект дом 4А (клиника Рутт)