Найти в Дзене
Галишников Олег

Чем опасен глубокий прикус

Есть немало людей, которые уверены в том, что у них абсолютно нормальный прикус, так как у них ровные зубы и нет никакой скученности.
Но главное коварство глубокого прикуса заключается в том, что при такой патологии неравномерно распределяется жевательная нагрузка, довольно быстро стирается эмаль, а затем и разрушаются зубы. Причём это может случиться не в глубокой старости, а в довольно обозримом будущем, и тогда уже придётся делать либо тотальное протезирование, либо имплантацию чуть ли не всего зубного ряда. Согласитесь, так себе перспектива.
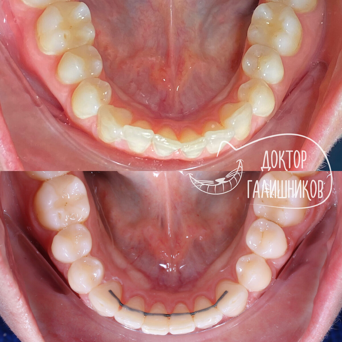
Именно с такой патологией (глубоким прикусом) к нам и обратилась пациентка. Она жаловалась на то, что у неё сильно стираются нижние зубы.
После необходимой диагностики наш ортодонт Анна Константиновна установила брекеты. На фото – каких результатов удалось добиться в процессе ортодонтического лечения.
А вообще, не пытайтесь самостоятельно поставить себе диагноз, какой у вас прикус, лучше сходите на консультацию к ортодонту. Для записи – пиш
-2
-3

Есть немало людей, которые уверены в том, что у них абсолютно нормальный прикус, так как у них ровные зубы и нет никакой скученности.

Но главное коварство глубокого прикуса заключается в том, что при такой патологии неравномерно распределяется жевательная нагрузка, довольно быстро стирается эмаль, а затем и разрушаются зубы. Причём это может случиться не в глубокой старости, а в довольно обозримом будущем, и тогда уже придётся делать либо тотальное протезирование, либо имплантацию чуть ли не всего зубного ряда. Согласитесь, так себе перспектива.

Именно с такой патологией (глубоким прикусом) к нам и обратилась пациентка. Она жаловалась на то, что у неё сильно стираются нижние зубы.

После необходимой диагностики наш ортодонт Анна Константиновна установила брекеты. На фото – каких результатов удалось добиться в процессе ортодонтического лечения.

А вообще, не пытайтесь самостоятельно поставить себе диагноз, какой у вас прикус, лучше сходите на консультацию к ортодонту. Для записи – пишите мне в любой мессенджер +7 915 253 2099

О возможных противопоказаниях проконсультируйтесь со специалистом

#галишников #стоматологиямск #стоматологмск #москвастоматология #брекетымосква #ортодонтмосква #исправлениеприкусамосква #выравниваниезубов #симоновплаза #омегаплаза #юаомосква