Добавить в корзинуПозвонить
Найти в Дзене
Стоматолог Виолетта

Биоматериалы будущего: новейшее в стоматологии

Когда удаляется нерв из зуба, корневой канал необходимо герметично заполнить материалом, почему? Основная цель пломбирования корневых каналов зуба заключается в профилактике их инфицирования и в устранении роста болезнетворных микроорганизмов в системе корневых каналов зуба . Это достигается путем качественной механической и медикаментозной обработки корневого канала зуба с последующим плотным, герметичным заполнением. Долгое время оптимальным материалом для постоянной герметизации корневых каналов являлась ГУТТАПЕРЧА, которая полностью удовлетворяет всем биологическим требованиям. Гуттаперча используется в комбинации с эндодонтическим герметиком, который необходим для достижения стабильной обтурации системы корневых каналов зуба путем герметичного заполнения микропространств между дентинными стенками корневого канала и гуттаперчей. Однако, установлено, что 58% неудач лечения корневых каналов связаны с недостаточно плотным их заполнением, что приводит к росту микроорганизмов

Когда удаляется нерв из зуба, корневой канал необходимо герметично заполнить материалом, почему?

Основная цель пломбирования корневых каналов зуба заключается в профилактике их инфицирования и в устранении роста болезнетворных микроорганизмов в системе корневых каналов зуба .

Это достигается путем качественной механической и медикаментозной обработки корневого канала зуба с последующим плотным, герметичным заполнением.

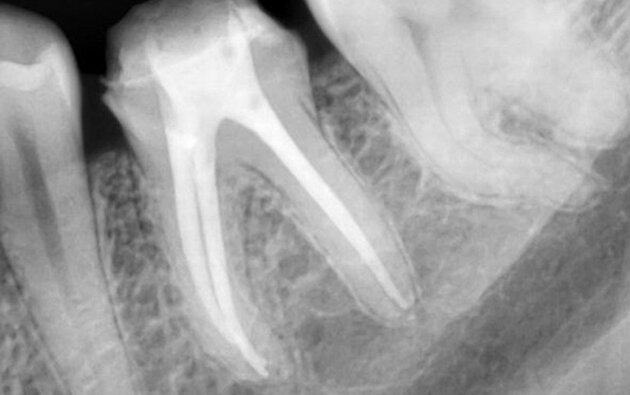
3 корневых канала плотно запломбированы
3 корневых канала плотно запломбированы

Долгое время оптимальным материалом для постоянной герметизации корневых каналов являлась ГУТТАПЕРЧА, которая полностью удовлетворяет всем биологическим требованиям. Гуттаперча используется в комбинации с эндодонтическим герметиком, который необходим для достижения стабильной обтурации системы корневых каналов зуба путем герметичного заполнения микропространств между дентинными стенками корневого канала и гуттаперчей.

Гуттаперчевые штифты
Гуттаперчевые штифты

Однако, установлено, что 58% неудач лечения корневых каналов связаны с недостаточно плотным их заполнением, что приводит к росту микроорганизмов и вызывает развитие гранулем и кист под зубами

В последнее годы герметики на основе БИОКЕРАМИКИ, привлекают внимание стоматологов.

Представителем группы биокерамических силеров в России является СИЛЕР ЭНДОДОНТИЧЕСКИЙ ЭНДОСИЛ MTA /ENDOSEAL MTA

Одним из основных преимуществ силера на основе биокерамики является его биосовместимость. Благодаря своему составу этот материал способен изменять кристаллическую структуру стенок корневых каналов значительно повышая свое склеивание с ними, в результате чего обеспечивается полная герметизация системы корневых каналов. Кроме того, в литературе имеются сведения о способности биокерамических герметиков запускать регенерацию околозубных тканей, что обусловлено наличием силиката/фосфата кальция в их составе.

Силер для пломбирования корневых каналов на основе пуццоланового цемента
Силер для пломбирования корневых каналов на основе пуццоланового цемента