Добавить в корзинуПозвонить
Найти в Дзене
VN.RU

Девочку-таджичку с ковидом и синим пороком сердца спасли врачи в Новосибирске

Малышка родилась с одним желудочком и одним предсердием вместо четырех камер сердца. Удивительную историю спасения рассказали врачи Центра Мешалкина в Новосибирске. Хирурги спасли девочку со сложнейшей аномалией сердца, которая чудом дожила до операции.
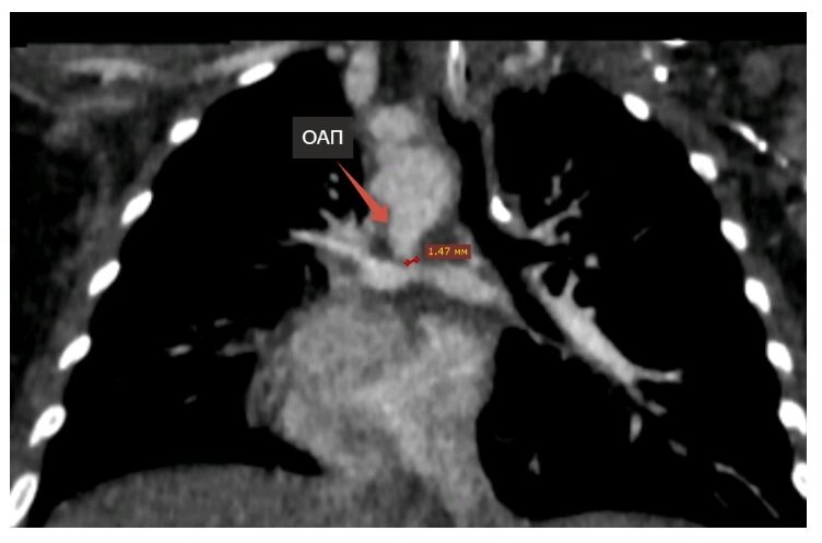
«У девочки, родившейся в Таджикистане в июле 2023 года, был диагностирован так называемый синий порок сердца, кровь не попадала напрямую в легочную артерию, – рассказали представители центра. – Такой комплекс аномалий приводит к острейшей нехватке кислорода в крови, посинению кожных покровов и часто – к летальному исходу».
Обычно малышей с таким пороком оперируют сразу же после рождения, но в данном случае по каким-то причинам этого не произошло. Чтобы спасти ребенка, врачи отправились в Россию, город Иркутск, диагноз малышки подтвердился. Во время подготовки к операции у ребенка выявилась новая проблема – ковид, девочка медленно угасала, насыщение крови кислородом у нее снизилось до 60/%, но врачи смогли спасти маленькому че
   Фото - Центр Мешалкина
Фото - Центр Мешалкина

Малышка родилась с одним желудочком и одним предсердием вместо четырех камер сердца.

Удивительную историю спасения рассказали врачи Центра Мешалкина в Новосибирске. Хирурги спасли девочку со сложнейшей аномалией сердца, которая чудом дожила до операции.

«У девочки, родившейся в Таджикистане в июле 2023 года, был диагностирован так называемый синий порок сердца, кровь не попадала напрямую в легочную артерию, – рассказали представители центра. – Такой комплекс аномалий приводит к острейшей нехватке кислорода в крови, посинению кожных покровов и часто – к летальному исходу».

Обычно малышей с таким пороком оперируют сразу же после рождения, но в данном случае по каким-то причинам этого не произошло. Чтобы спасти ребенка, врачи отправились в Россию, город Иркутск, диагноз малышки подтвердился.

© Фото - Центр Мешалкина.📷
© Фото - Центр Мешалкина.📷

Во время подготовки к операции у ребенка выявилась новая проблема – ковид, девочка медленно угасала, насыщение крови кислородом у нее снизилось до 60/%, но врачи смогли спасти маленькому человеку жизнь.

Несмотря на острое течение у ребенка вирусной инфекции, хирурги Центра Мешалкина провели экстренную операцию – через сонную артерию завели катетер внутрь открытого артериального протока и расширили его с помощью стента, обычно используемого для коронарных артерий у взрослых.

«Это были стремительные изменения, какие показывают только в фильмах, – рассказал хирург Алексей Войтов. – Ребенок у нас на глазах стал розовым, сатурация крови достигла 90 %».

Добавим, что сейчас ребенок находится под наблюдением врачей Центра Мешалкина, свой первый Новый год малышка встретит в компании людей в белых халатах. Сразу же после праздников девочке предстоит большая открытая операция по коррекции порока сердца.