Добавить в корзинуПозвонить
Найти в Дзене

Перелом полового члена

11 октября 2023 года, в Министерстве здравоохранения Омской области выдали новость о том, что урологи областной клинической больницы на Березовой прооперировали мужчину с переломом полового члена. Он получил травму во время секса. Эта тема вызвала среди жителей региона активные обсуждения. В комментариях под материалом было множество вопросов, и решили ответить на них — с этим помог доктор медицинских наук, профессор, заведующий кафедрой хирургических болезней и урологии ОмГМУ, врач-уролог Антон Цуканов. 1. Почему член может сломаться? — Перелом в данной ситуации — это несколько образное слово. Смысл в том, что половой член имеет «футляр», в котором заключены два кавернозных тела, они имеют плотные стенки и напоминают по структуре и плотности сухожилия мышц. Внутри них множество ячеек, которые заполняются кровью во время эрекции, создавая высокое давление внутри. Во время травмы эти тела разрываются, также может повредиться мочеиспускательный канал, — объяснил врач-уролог. 2. Дело в ра

11 октября 2023 года, в Министерстве здравоохранения Омской области выдали новость о том, что урологи областной клинической больницы на Березовой прооперировали мужчину с переломом полового члена. Он получил травму во время секса. Эта тема вызвала среди жителей региона активные обсуждения. В комментариях под материалом было множество вопросов, и решили ответить на них — с этим помог доктор медицинских наук, профессор, заведующий кафедрой хирургических болезней и урологии ОмГМУ, врач-уролог Антон Цуканов.

1. Почему член может сломаться?

— Перелом в данной ситуации — это несколько образное слово. Смысл в том, что половой член имеет «футляр», в котором заключены два кавернозных тела, они имеют плотные стенки и напоминают по структуре и плотности сухожилия мышц. Внутри них множество ячеек, которые заполняются кровью во время эрекции, создавая высокое давление внутри. Во время травмы эти тела разрываются, также может повредиться мочеиспускательный канал, — объяснил врач-уролог.

2. Дело в размере?

— У каждого мужчины свои анатомические особенности. У более длинного органа риски выше, — коротко ответил врач.

3. Какие позы и действия могут травмировать половой орган?

Из потенциально опасных сексуальных поз доктор назвал ту, когда партнерша сверху (поза наездницы) — ее движения могут отклониться от вертикальной оси. Также травму можно получить в случае, когда мужчина находится сзади и может случайно упереться в промежность.

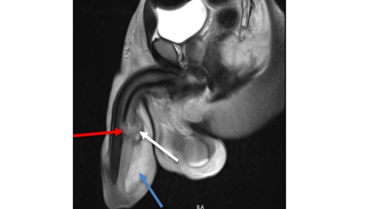
Фото 1. Перелом пещеристых тел.
Фото 1. Перелом пещеристых тел.

Фото 2. Разрыв футляра.
Фото 2. Разрыв футляра.