Добавить в корзинуПозвонить
Найти в Дзене

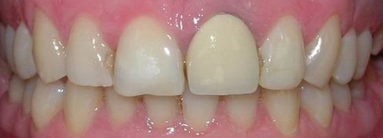
"Синеет" десна вокруг металлокерамической коронки!

Металлокерамические коронки имеют наиболее адекватное соотношение "цена-эстетика". Однако, при их использовании в переднем отделе иногда сложно добиться замечательного эстетического результата. Причина этого в том, что каркасом для металлокерамических протезов является металлический сплав, который в большинстве случаев имеет после обработки серо-черно-зеленый цвет. Свет искусственный или естественный не в состоянии пройти через такой непрозрачный материал и отражается от него по направлению к десне. По этой причине в эстетически значимой зоне, особенно на резцах и клыках, при протезировании металлокерамическими коронками пациенты отмечают сероватый оттенок десневого края. Также и сам корень, имеющий после депульпации зуба более темный оттенок может просвечивать через тонкий край десны около коронки. Вывод: стоит ограничить использование металлокерамических коронок на передних зубах в пользу цельнокерамических, особенно если размер зуба не позволяет сошлифовать достаточный объем ткане
При очень тонких зубах, недостаточном объеме сошлифовывания, свет, отражаясь от поверхности коронки, не дает возможности добиться хорошей эстетики при изготовлении металлокерамической коронки.
При очень тонких зубах, недостаточном объеме сошлифовывания, свет, отражаясь от поверхности коронки, не дает возможности добиться хорошей эстетики при изготовлении металлокерамической коронки.

Металлокерамические коронки имеют наиболее адекватное соотношение "цена-эстетика". Однако, при их использовании в переднем отделе иногда сложно добиться замечательного эстетического результата. Причина этого в том, что каркасом для металлокерамических протезов является металлический сплав, который в большинстве случаев имеет после обработки серо-черно-зеленый цвет. Свет искусственный или естественный не в состоянии пройти через такой непрозрачный материал и отражается от него по направлению к десне. По этой причине в эстетически значимой зоне, особенно на резцах и клыках, при протезировании металлокерамическими коронками пациенты отмечают сероватый оттенок десневого края. Также и сам корень, имеющий после депульпации зуба более темный оттенок может просвечивать через тонкий край десны около коронки.

Вывод: стоит ограничить использование металлокерамических коронок на передних зубах в пользу цельнокерамических, особенно если размер зуба не позволяет сошлифовать достаточный объем тканей и еще, можно в качестве сплава использовать золотосодержащие, имеющие желтоватый оттенок, который гораздо меньше будет просвечивать. Кстати, именно металлокерамика на золотых сплавах является "золотым стандартом" при изготовлении мостовидных протезов.

-2

-3

Этому пациенту в боковых отделах сделали металлокерамические коронки, а на верхние резцы цельнокерамические, что позволило достичь отличного результата протезирования.