Добавить в корзинуПозвонить
Найти в Дзене
PicWorld.ru

Мужчина порвал горло, пытаясь подавить чихание

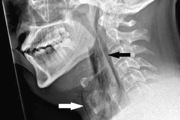
В ходе первого в своем роде медицинского случая мужчина в возрасте 30 лет получил дыру в горле после того, как зажал нос и сомкнул губы, чтобы подавить чихание. Неназванный мужчина был доставлен в больницу Найнуэллс в Данди, Шотландия, с сильной болью после того, как пытался подавить чихание, зажав нос и закрыв рот когда ехал за рулем. Судя по всему, когда вы делаете что-то подобное, давление в верхних дыхательных путях может увеличиться примерно в 20 раз, что может привести к серьезным травмам, включая разрывы барабанных перепонок, аневризмы и даже переломы ребер. Однако в данном конкретном случае у неназванного пациента образовался разрыв трахеи диаметром 2 мм, что вызвало мучительную боль. Разрыв горла, известный в медицине как «спонтанная перфорация трахеи», представляет собой редкую и потенциально опасную для жизни травму, которая раньше не была связана с удушающим чиханием. Когда мужчина прибыл в отделение неотложной помощи, он испытывал сильную боль, шея опухла с обеих сторон и

В ходе первого в своем роде медицинского случая мужчина в возрасте 30 лет получил дыру в горле после того, как зажал нос и сомкнул губы, чтобы подавить чихание.

Неназванный мужчина был доставлен в больницу Найнуэллс в Данди, Шотландия, с сильной болью после того, как пытался подавить чихание, зажав нос и закрыв рот когда ехал за рулем. Судя по всему, когда вы делаете что-то подобное, давление в верхних дыхательных путях может увеличиться примерно в 20 раз, что может привести к серьезным травмам, включая разрывы барабанных перепонок, аневризмы и даже переломы ребер. Однако в данном конкретном случае у неназванного пациента образовался разрыв трахеи диаметром 2 мм, что вызвало мучительную боль. Разрыв горла, известный в медицине как «спонтанная перфорация трахеи», представляет собой редкую и потенциально опасную для жизни травму, которая раньше не была связана с удушающим чиханием.

Когда мужчина прибыл в отделение неотложной помощи, он испытывал сильную боль, шея опухла с обеих сторон и он едва мог пошевелить головой. Он рассказал врачам, что за рулем у него случился приступ сенной лихорадки, и когда у него появилось побуждение чихнуть, он просто сдержал его, ущипнув нос и закрыл рот. В итоге у него было порвано дыхательное горло.

Осматривая пациента, врачи услышали слабый потрескивающий звук горла, указывающий на то, что что-то не так. К счастью, это состояние не мешало дышать, глотать или говорить. После диагностики пациента выписали, назначили обезболивающие и лекарства от сенной лихорадки с рекомендацией воздерживаться от физической активности в течение двух недель. Пять недель спустя он вернулся на осмотр, после чего мужчине сказали что все впорядке.

«Мы должны аккуратно прикрывать лицо рукой или внутренней стороной локтя, чтобы предотвратить попадание раздражителей таких как вирусы, а также слюну и слизь на окружающих».— сказал доктор Рашад Мисиров
«Лично я использовал другую технику, нажимая большим пальцем на верхнюю губу, прямо под носом, не перекрывая носовые ходы на несколько секунд – это мне помогает. «Если оставить носовые ходы открытыми, чихание может вырваться наружу, если удушение не сработает».