Добавить в корзинуПозвонить
Найти в Дзене

Как я исправила прикус за 3 месяца, вместо 3 лет. Метод Versalign.

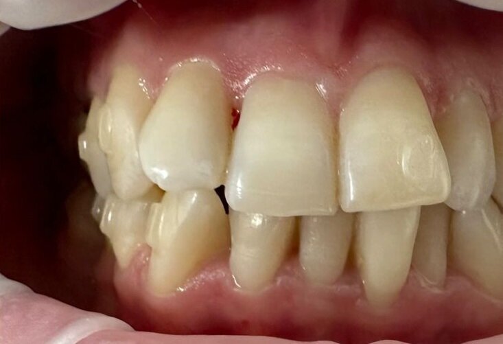
Если бы еще год назад мне кто-то рассказал такую же историю, я бы очень удивилась и не факт, что поверила бы. Как? Разве можно исправить прикус за 3-4 месяца? Эта фантастика! А теперь я делюсь своим опытом со знакомыми, и удивляются они. Рассказать свою историю здесь я решила, так как не понаслышке знаю, что многие люди по ряду причин не могут исполнить свою мечту о красивой улыбке. Как и я когда-то! А на самом деле это проще, быстрее и доступнее, чем вы думаете. «Сколько себя помню, стеснялась улыбаться» Всегда с восхищением смотрела на людей с идеальными ровными зубами, а сама «улыбалась губами» или машинально прикрывала улыбку рукой. Близкие меня всегда убеждали, что ничего страшного нет. Но я перфекционистка, и свои кривые зубы я не любила, а временами даже ненавидела. Не буду скрывать от вас свою улыбку – можете оценить, что было до. Возможности исправить эту проблему в детстве не было, хотя в школе меня дразнили, и было много переживаний. Уже во взрослом возрасте я, конечно же,
Оглавление

Если бы еще год назад мне кто-то рассказал такую же историю, я бы очень удивилась и не факт, что поверила бы. Как? Разве можно исправить прикус за 3-4 месяца? Эта фантастика! А теперь я делюсь своим опытом со знакомыми, и удивляются они. Рассказать свою историю здесь я решила, так как не понаслышке знаю, что многие люди по ряду причин не могут исполнить свою мечту о красивой улыбке. Как и я когда-то! А на самом деле это проще, быстрее и доступнее, чем вы думаете.

«Сколько себя помню, стеснялась улыбаться»

Всегда с восхищением смотрела на людей с идеальными ровными зубами, а сама «улыбалась губами» или машинально прикрывала улыбку рукой. Близкие меня всегда убеждали, что ничего страшного нет. Но я перфекционистка, и свои кривые зубы я не любила, а временами даже ненавидела. Не буду скрывать от вас свою улыбку – можете оценить, что было до.

-2
-3

Возможности исправить эту проблему в детстве не было, хотя в школе меня дразнили, и было много переживаний. Уже во взрослом возрасте я, конечно же, я рассматривала сначала брекеты, а потом элайнеры, но столкнулась с, казалось бы, непреодолимыми препятствиями…

Почему я не ставила брекеты?

Мои мечты о голливудской улыбке разбились о сроки лечения. Минимум 2,5 года – давали прогнозы ортодонты. Моя работа связана с голосом, я не могла себе позволить столько времени ходить с металлической конструкцией во рту, которая влияет на артикуляцию. Мне просто пришлось бы менять работу!

Но не только это. С детство у меня очень низкий болевой порог. От друзей с брекетами я знаю, насколько это может быть больно.

Третий момент – финансовый. Счет из последней клиники за лечение элайнерами составил 460 000 тысяч рублей.

Но, поскольку, практически все клиники дают рассрочку, деньги меня не столько смущали, сколько сроки и моя реакция на болевые ощущения.

Оказалось, технология быстрого исправления прикуса уже существует!

Здесь стоит сделать оговорку. Быстро исправить прикус можно было с помощью хирургии. Но видели бы вы ту операцию! Мне от одних фото было страшно. И это опять-таки болезненный восстановительный период.

На консультацию в клинику «Версалайн» я попала по рекомендации знакомого. Услышала от него про инновационный подход, быстрые сроки. Если честно, шла без особых надежд, ведь сколько ортодонтов мне уже подробно объясняли почему нельзя смещать зубы быстро. Но клиника удобно находится в центре рядом с метро, поэтому я решила заехать после работы.

Попала на консультацию к главному врачу и основателю клиники Петру Валентиновичу. Он же автор технологии быстрого исправления прикуса.

Каково же было мое удивление, когда лечение мне рассчитали на 3-4 месяца.

«А где же подводные камни?» - сразу подумала я и начала разбираться в вопросе. Подводных камней не оказалось. Технология быстрого исправления прикуса запатентована и подтверждена клиническими исследованиями, а сама клиника уже помогла сотням пациентов, кейсы которых можно посмотреть на сайте.

Стоимость моего лечения составила 240 000 руб. с использованием брекетов (на очень короткий срок) и элайнеров. Это в 5 раз быстрее и в два раза дешевле, чем все прежние варианты, которые я рассматривала. В договоре была прописана сумма, сроки лечения и гарантия результата.

Как проходило мое лечение?

Многим, наверняка, интересно, как же это работает.

Знаете, в чем основная загвоздка при исправлении прикуса при обычном подходе? Как объясняли мне многие ортодонты – процесс тормозит кость, в которую уходят корни зубов. Поскольку все изменения идут через ее разрушение, это болезненно и долго.

Но к решению вопроса здесь подошли с другой стороны. Врачам удалось снизить упругость костной ткани с помощью ионов, которые вводятся микротоками.

Никаких сложных манипуляций и неприятных ощущений – все процедуры я выполняла дома. Они максимально простые и понятные - специальный гель и миниатюрное устройство. Результат – моя кость «омолодилась» до состояния, когда она сама была готова легко менять свою форму.

И действительно, все происходило очень быстро! Мне выдали набор кап, которые я меняла один раз в 3 дня. Единственный минус, который всплыл в процессе – это высокая чувствительность в первых месяц лечения. Но я просто старалась избегать слишком горячей и холодно пищи.

-4

Кстати, про боль. При таком подходе никаких болевых ощущений нет. Потому что нет травмирования костной ткани длительным давлением. Нет стрессового разрушительного процесса.

Мой результат

Итак, мой путь до голливудской улыбки занял 3,5 месяца. Дополнительно была сделана художественная реставрация зубов . Вот уже неделю, как я любуюсь во все зеркала и улыбаюсь даже незнакомым людям. С радостью поделюсь результатами и с вами.

-5

Благодарю Versalign за мои красивые зубы! Очень рекомендую каждому, кто живет с такой же проблемой, обратиться за консультацией в клинику. Делюсь ссылкой – переходите и не откладывайте это дело в долгий ящик. Записывайтесь на консультацию, ведь уже этой весной ваша улыбка может быть совсем другой.

И подписывайтесь на канал клиники в Дзене - здесь можно узнать подробнее про технологии!

-6
-7