Добавить в корзинуПозвонить
Найти в Дзене

Возможно ли вылечить кариес без сверления?

Да! В мы используем самое инновационное оборудование и технологии. Об одной такой технологии в этом посте  Лечение кариеса методом инфильтрации Icon происходит без применения бормашины. С помощью специальных инструментов и вспомогательных растворов на зуб наносится полимерный раствор, который затвердевает под воздействием ультрафиолета. Он уничтожает болезнетворные бактерии, герметизирует кариозную область и восстанавливает плотность эмали. Такое лечение кариеса эффективно в определенных случаях ▫️Начальный тип кариеса ▫️Меловые пятна после ортодонтического лечения (снятия брекетов) ▫️Начальный кариес в труднодоступных областях (особенно в межзубных промежутках) В на фото результат лечения с помощью icon

Да! В мы используем самое инновационное оборудование и технологии. Об одной такой технологии в этом посте 

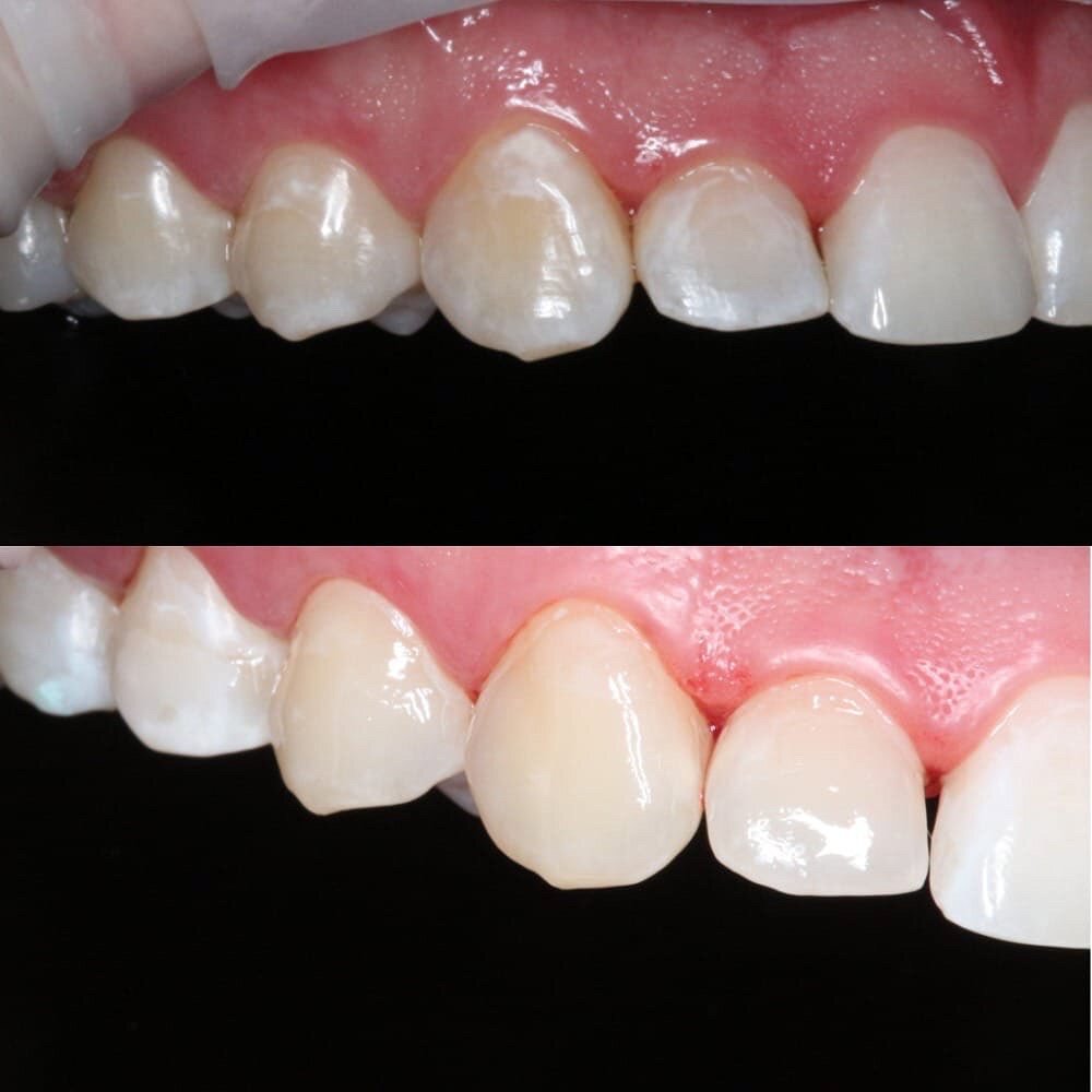
Лечение кариеса методом инфильтрации Icon происходит без применения бормашины. С помощью специальных инструментов и вспомогательных растворов на зуб наносится полимерный раствор, который затвердевает под воздействием ультрафиолета. Он уничтожает болезнетворные бактерии, герметизирует кариозную область и восстанавливает плотность эмали.

Такое лечение кариеса эффективно в определенных случаях

▫️Начальный тип кариеса

▫️Меловые пятна после ортодонтического лечения (снятия брекетов)

▫️Начальный кариес в труднодоступных областях (особенно в межзубных промежутках)

В на фото результат лечения с помощью icon