Добавить в корзинуПозвонить
Найти в Дзене
Живу под кислородом

КАК ДОЛГО МОЖНО непрерывно ДЫШАТЬ КИСЛОРОДОМ? Жизнь под кислородом 7.

В первые месяцы своей жизни на кислороде, я не могла надышаться и просто наслаждалась тем, что могу это делать без усилий. Но через три месяца у меня опять началась жуткая одышка, изматывающая тошнота, непреходящая головная боль, слабость, тахикардия и сильное головокружение. То есть всё то, что было до кислорода. Конечно, я задавала вопросы врачам и интернету. Но внятных ответов не получала. Потом я поняла, что неправильно формулировала вопрос. Вместо «Что будет, если дышать кислородом без перерывов?» я задала интернету вопрос «Опасность закисления организма» и, наконец, получила информацию. Оказалось, что долго дышать кислородом так же опасно, как и не дышать им вовсе. При постоянном употреблении О2 превращается в яд. Живительный кислород начинает превращаться в клетках митохондрий в свободные радикалы и отравляют организм. Это коротко. Что же делать? Оказалось, всё просто. Нужно чередовать время дыхания с О2 и без него. Что я и начала делать после того, как пульсометр стал показыват

В первые месяцы своей жизни на кислороде, я не могла надышаться и просто наслаждалась тем, что могу это делать без усилий. Но через три месяца у меня опять началась жуткая одышка, изматывающая тошнота, непреходящая головная боль, слабость, тахикардия и сильное головокружение. То есть всё то, что было до кислорода.

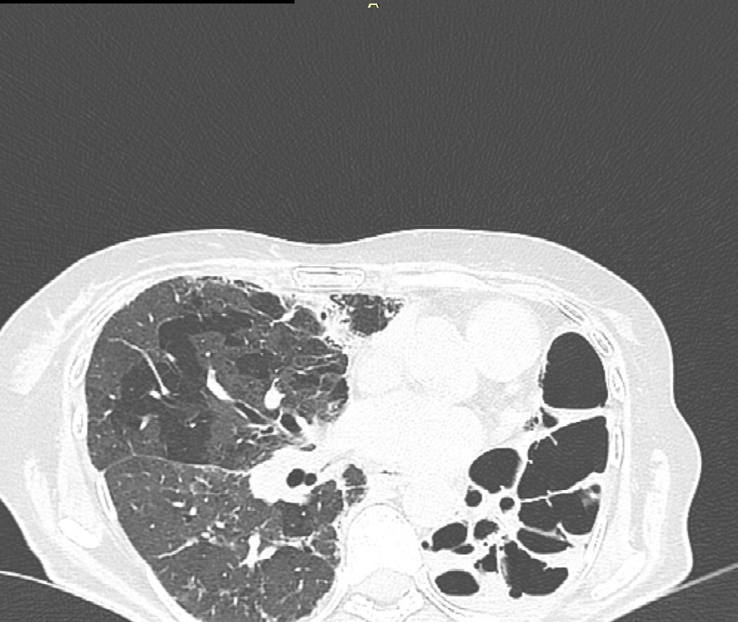
Снимок из серии КТ с диска. Мои лёгкие.
Снимок из серии КТ с диска. Мои лёгкие.

Конечно, я задавала вопросы врачам и интернету. Но внятных ответов не получала. Потом я поняла, что неправильно формулировала вопрос. Вместо «Что будет, если дышать кислородом без перерывов?» я задала интернету вопрос «Опасность закисления организма» и, наконец, получила информацию.

Оказалось, что долго дышать кислородом так же опасно, как и не дышать им вовсе. При постоянном употреблении О2 превращается в яд. Живительный кислород начинает превращаться в клетках митохондрий в свободные радикалы и отравляют организм. Это коротко.

Что же делать?

Оказалось, всё просто. Нужно чередовать время дыхания с О2 и без него. Что я и начала делать после того, как пульсометр стал показывать мне, что насыщенность моей крови кислородом достигла 99. Это очень много, это перебор, переизбыток и это опасно.

Это означает, что своё здоровье необходимо держать на постоянном контроле. Что ты должен научиться чувствовать свой организм так, чтобы моментально откликаться на все перемены в нём. Это значит, что ты должен любить, лелеять и постоянно прислушиваться к своему самочувствию. Улавливать малейшие изменения в его состояния и принимать меры. Это значит, что твоё тело становится твоим маленьким вечным ребёнком на руках и ты ответственен за всё что в нём происходит.

Я и раньше пыталась жить в режиме дышать — не дышать. Получилось недолго и плохо. Но сейчас вопрос встал особенно остро. И вот, со вчерашнего вечера начался мой новый эксперимент. Я сняла канюлю и дышала простым воздухом под контролем пульсометра. Без активного движения, сидя за компьтером, позволяя себе только походы в туалет. Я продержалась час до значения уровня кислорода на пульсометре 84.

Несколько минут у меня ушло, чтобы поднять цифры до 94 и снова сняла канюлю. Чтобы не гонять большой аппарат в таком режиме, я перешла на маленький и поначалу включала и выключала его. Но потом, в инструкции я прочитала, что частое включение и выключение для аппарата не желательно и что в первые пять минут работы аппарат только набирает силу для выработки полного объема кислорода

Поэтому было решено перевести аппарат на 3 литра, не выключать его, а просто снимать канюлю и, при необходимости двигаться, делать это очень медленно и плавно. Тогда расход кислорода меньше.

Получился сплошной дзен - осознанность, полный контроль дыхания, движения и внутреннего состояния. Ну, хоть в чём-то есть плюсы.

Ночь я спала беспокойно. Сон был прерывистый. Приходилось постоянно снимать, надевать канюли и с каждым разом время без кислорода укорачивалось. То есть, как я поняла, предварительная насыщенность О2 организма играет роль.

Но могу сказать, что одышка моя уменьшилась, голова к утру перестала болеть и ушла тошнота. Да, забыла сказать, что ужасающее головокружение,из-за которого я не могла самостоятельно дойти до туалета, тоже ушло.

Значит теперь моя жизнь разделится на разные промежутки времени с кислородом и без. И это будет продолжаться и днём и ночью. Но ведь это не самое худшее, что может быть, правда?

Виталина.

1 декабря 2023 год

Читайте мои статьи в ТГ, там я пишу более подробно t.me/...asa

И указываю второй канал с моими авторскими медитациями в ТГ t.me/...obl

Видео буду также выкладывать на Рутуб rutube.ru/...672

И в ВК vk.com/...161