Добавить в корзинуПозвонить
Найти в Дзене

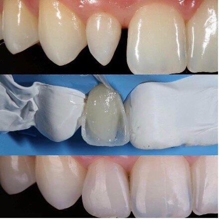
Эстетические реставрации зубов: прямой метод

Кариес является самой распространенной патологией, с которой встречаются стоматологи терапевтического профиля на ежедневном приеме. Его активное распространение и осложнения заставляют стоматологов искать более совершенные методы лечения и профилактики кариеса, а желание пациента иметь максимально естественную улыбку определяют необходимость создания высокоэстетичных реставраций, особенно в области фронтальных зубов. В классическом протоколе лечения кариеса есть определенные этапы: В первую очередь, на качество лечения и финальный результат влияет правильно поставленный диагноз. Для диагностики кариозных процессов помимо основных методов (осмотр, зондирование, перкуссия) могут применяться различные дополнительные методы, среди которых ведущее место занимают лучевые (внутриротовая и прицельная рентгенография, панорамная томография, конусно-лучевая и компьютерная томография). Также для диагностики кариеса применяются телерентгенография, витальное окрашивание, сравнительная термометрия, т

Кариес является самой распространенной патологией, с которой встречаются стоматологи терапевтического профиля на ежедневном приеме. Его активное распространение и осложнения заставляют стоматологов искать более совершенные методы лечения и профилактики кариеса, а желание пациента иметь максимально естественную улыбку определяют необходимость создания высокоэстетичных реставраций, особенно в области фронтальных зубов.

В классическом протоколе лечения кариеса есть определенные этапы:

  1. Очищение поверхности зуба
  2. Выбор цвета и материала реставрации
  3. Местное обезболивание
  4. Изоляция рабочего поля (золотой стандарт – коффердам)
  5. Препарирование зуба и создание полости
  6. Обработка антисептическими растворами
  7. Пломбирование зуба
  8. Шлифовка и полировка пломбы
  9. Рекомендации по уходу.

В первую очередь, на качество лечения и финальный результат влияет правильно поставленный диагноз. Для диагностики кариозных процессов помимо основных методов (осмотр, зондирование, перкуссия) могут применяться различные дополнительные методы, среди которых ведущее место занимают лучевые (внутриротовая и прицельная рентгенография, панорамная томография, конусно-лучевая и компьютерная томография). Также для диагностики кариеса применяются телерентгенография, витальное окрашивание, сравнительная термометрия, трансиллюминация, люминесцентная диагностика, лазерная флюоресцентная спектроскопия.

-2

После постановки диагноза и определения объема лечения проводится очистка поверхности зуба с применением ультразвукового скейлера, пескоструйного аппарата, механически или при использовании полировочной щетки с пастой, после чего необходимо выбрать цвет и материал будущей реставрации.

Цвет будущей реставрации должен совпадать с оттенком препарируемого зуба, соответствовать цветам соседних зубов и зубов-антагонистов. В основном для определения цвета применяется визуальная шкала Vita. Также помимо основного тона реставрации определяется прозрачность эмали, выраженность фиссур и бугорков, наличие пигментаций и другие особенности рельефа. Оценка цвета должна проводиться при соблюдении следующих условий:

  • влажный зуб,
  • дневное освещение,
  • отсутствие ярких прямых солнечных лучей,
  • нейтральный тон окружающей среды,
  • отсутствие на губах яркой помады,
  • желательно нейтральный цвет одежды пациента.

Цвет реставрации может отличаться в пришеечной зоне и на режущей поверхности, поэтому важно определить цвета всех зон и областей реставрируемого зуба.

-3

При выборе пломбировочного материала учитываются степень разрушения зуба, состояние полости рта в целом, функциональная и групповая принадлежность зуба, желание пациента, стоимость. На сегодняшний день существует множество различных классификаций пломбировочных материалов, а их выбор широко представлен различными фирмами-производителями. Из основных материалов, применяемых на современном стоматологическом приеме, можно выделить:

  • Цементы
  • Полимерные пломбировочные материалы
  • Компомеры
  • Металлические пломбировочные материалы.

Когда речь идет об эстетической реставрации, безусловно, предпочтение отдается композитным пломбировочным материалам.

Среди светоотверждаемых композитов можно выделить следующие группы в зависимости от частиц:

  • Макронаполненные композиты: первые представители композитных материалов. Характеризуются большим размером частиц в составе (8-12 мкм), а частицы эти имеют нерегулярную и неточную форму, наполненность составляет около 60%.

-4
  • Микронаполненные композиты: размер частиц 0,01-0,1 мкм, наполненность – 55%, низкопрочные, нерентгеноконтрастные, не обладают гидрофобностью, высокий коэффициент теплового расширения, но при этом хорошо полируются и придают блеск реставрации, высоко эластичны.
-5
  • Гибридные композиты: состоят из частиц разного размера (0,01-10 мкм), наполненность 50-70%, объединяют характеристики макро- и микронаполненных композитов.
-6
  • Микрогибридные композиты: размер частиц около 1 мкм и они сферической формы, также есть частицы до 3,5 мкм. Прочные, устойчивы к отлому, высокоэстетичные, хорошо полируются, рентгеноконтрастны, дают усадку.
-7
  • Нанокомпозиты: состоят из маленьких наночастиц,наполненность около 75%. Прочные, дают низкую усадку, хорошая эстетика, длительный блеск после полировки.
-8

Кроме описанных выше композитных материалов могут также применяться:

  • Ормокеры: органически модифицированная керамика. Состоит из бариевого стекла и фторапатита, размер частиц до 1,7 мкм, наполненность до 70%. Высокая прочность, низкая усадка, износостойкость, хорошая полируемость, высокая эстетика.
-9
  • Силораны: биосовместимый материал, дающий низкую усадку, и износостойкий, удобное рабочее время. Не совместимы с адгезивными системами компомеров и жидкотекучих композитов.
-10
  • Компомеры: комбинация композита и стеклоиономерного цемента. Эластичны, выделяют фтор, простые требования к работе.
-11

Препарирование полости осуществляется в необходимом объеме, обязательно с соблюдением техники и рекомендаций в зависимости от локализации полости и групповой принадлежности зуба. Восстановление зуба может проводиться с применением различных техник, которые учитывают характер и объем пораженной зоны, оптические характеристики зуба. Однако одной из самых распространенных является метод послойного внесения материала.

-12

Суть данной методики заключается в том, что разные композиты используются и вносятся послойно для полной имитации анатомии зуба. Это обеспечивает получение более прогнозируемого результата и придание реставрации объемности. В этой технике возможно совместно применять для реставрации классические и жидкотекучие композиты, а также адгезионные системы 4 и 5 поколений. При сочетании различных материалов возможно достичь высокого эстетического результата.

Выделяют следующие этапы техники послойной реставрации:

  1. Гигиеническое очищение поверхности зуба
  2. Выбор оттенка и материалов
  3. Анестезия
  4. Препарирование полости зуба
  5. Изоляция рабочего поля
  6. Установка матрицы (при необходимости)
  7. Подготовка полости к внесению материала
  8. Внесение изолирующих и/или лечебных прокладок (по показаниям)
  9. Адгезивная подготовка
  10. Создание адаптивного слоя жидкотекучим композитом (толщина 0,3-0,5 мм), формирование неровностей рельефа с применением штопфера или зонда, последующая фотополимеризация
  11. Внесение конденсируемого композита (2 мм) с его фотополимеризацией
  12. Восстановление контактных пунктов
  13. Создание поверхности пломбы микрогибридным или нанонаполненным композитным материалом (1-1,5 мм), фотополимеризация
  14. Обработка поверхности пломбы, введение в прикус, контроль окклюзии
  15. Окончательная шлифовка и полировка реставрации

Зная все тонкости и особенности создания высокоэстетичных реставраций, можно легко добиваться таких же результатов в своей работе и получать максимально эстетичные и натуральные восстановленные зубы.

Автор: Наталья Хорошун, штатный стоматолог обучающей платформы Otexe.