Добавить в корзинуПозвонить
Найти в Дзене
Parodoctor

Каким трудом даётся эстетика - отказ от розовой десны. Продолжение статьи о подкове, решившей судьбу зубов.

Проще всего сделать и сдать зубы с розовой пластиковой десной. Намного меньше для доктора головной боли и заморочек, гораздо легче пациенту перенести экзекуцию - она занимает меньше времени. Такой протез называется FP3 и он не является добровольным выбором. Это всегда результат дефицита кости - чем её меньше, тем выше вероятность заиметь во рту, такой нежелательный для многих, пластик. Конечно. С вас - кость, огромное желание и серьёзнейшая выносливость. С нас - природоподобие. Чем большая эстетика нам требуется, тем сложнее вся работа. Контуры десны так просто не нарисуют себя - это результат пластики мягких тканей, это результат кройки и шитья лоскутков. С нёба на челюсть, тут и там - кропотливейшая, сложная работа. Это требует от хирурга высокого мастерства и усидчивости - шить несколько часов подряд не каждый захочет и далеко не каждый сможет. По итогу операция занимает 6-8 часов. Одна челюсть. Пациенту тоже не сладко. Лучше всего такие работы проводить в наркозе. Но, при природ
Оглавление

Проще всего сделать и сдать зубы с розовой пластиковой десной. Намного меньше для доктора головной боли и заморочек, гораздо легче пациенту перенести экзекуцию - она занимает меньше времени.

Такой протез называется FP3 и он не является добровольным выбором. Это всегда результат дефицита кости - чем её меньше, тем выше вероятность заиметь во рту, такой нежелательный для многих, пластик.

А можно ли установить что-то более эстетичное?

Конечно. С вас - кость, огромное желание и серьёзнейшая выносливость. С нас - природоподобие.

Протез без розовой десны бывает 2-х видов:

  • FP2 - когда коронковая часть удлинённая, замещается и часть корня (длинноватые зубы). На самом деле, для нас - это протез без проработки межзубных сосочков, когда не делалась пластика с целью их образования.
В будущем можно провести операцию и воссоздать межзубные сосочки. Но пациентка довольна, она не хочет улучшений) Её право.
В будущем можно провести операцию и воссоздать межзубные сосочки. Но пациентка довольна, она не хочет улучшений) Её право.
  • FP1 - когда коронковая часть имитирует коронковую часть настоящего зуба полноценно. Межзубные сосочки, контур десны - не отличить от настоящих зубов, покрытых коронками. Максимальная эстетика.
Чем большая эстетика нам требуется, тем сложнее вся работа. Контуры десны так просто не нарисуют себя - это результат пластики мягких тканей, это результат кройки и шитья лоскутков. С нёба на челюсть, тут и там - кропотливейшая, сложная работа. Это требует от хирурга высокого мастерства и усидчивости - шить несколько часов подряд не каждый захочет и далеко не каждый сможет.
По итогу операция занимает 6-8 часов. Одна челюсть.

Пациенту тоже не сладко. Лучше всего такие работы проводить в наркозе. Но, при природной выносливости, при хорошей способности адекватно воспринимать анестезию - можно работать и под местным обезболиванием. Сложно вот только очень.

Теперь понятно, как даётся та самая эстетика? Кто будет заморачиваться на рутинном приёме за 100 тысяч рублей? Никто, я уверяю вас.

Сегодня хочу продолжить рассказ о Татьяне.

Она поверила в нас, доверилась, прониклась. Удивительно! Ведь недавняя неудача тотальной ортопедической работы обернулась крахом надежд и разочарованием в стоматологах.

Вот что Татьяна написала в моём ТГ (ник тот же, что и тут) на второй день после операции:

-2

В свою очередь, мы тоже понимали, что человек должен получить природоподобие. Мы не можем ухудшить имеющуюся эстетику, не можем себе этого позволить.

Татьяна пришла к операции с высокой точки эстетики - все зубы (в общем и целом) на месте, пластика никакого нет. На вид - всё прилично.

Совсем другое дело - несколько кариозных корешков или оголённых торчалок вместо полноценных зубов. Таким людям будет очень нравиться и пластик - они получат зубы, каких давно не видели, с какими давно не жили. Будут очень довольны - всё изменилось к лучшему.

Поэтому фронт работ и ожидания очень сильно зависят от начальной точки входа в операцию.

У Татьяны точка эта была на высоте.

Операция проведена 17 ноября.

Первая примерка постановки 22 ноября.

Протез для примерки.
Протез для примерки.

Определено, где что давит и что чему мешает. Зафиксировано и отправлено в лабораторию.

-4

Делается цифровой скан с физической гипсовой модели с розовой "резиновой" десной - по ней печатаем индивидуальную ложку.

-5

Следующий визит 24 ноября.

Нами была продумана и распечатана конструкция на 3Д принтере - индивидуальная ложка. Она фиксируется в полости рта пациентки и при помощи ортопедических материалов снимается слепок дополнительный.

-6

Это нужно для точности финишной (но временной) конструкции.

Всё, встречаемся на следующий день поздно вечером - 25 ноября сдача работы.

Сняты швы, протез установлен.

На этой площадке я не могу выкладывать подробные фотографии работ - за это прилетают ограничения на статьи. Поэтому вид десны, вид протеза во рту - ищите в тг канале, называюсь я там так же, как и тут.

Работа была сдана в одиннадцатом часу, в субботу.

Даны рекомендации, поболтали о жизни)

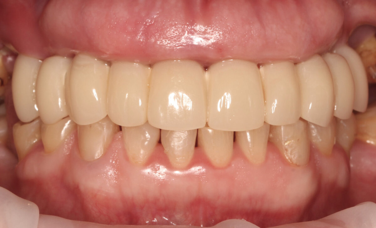
Делаем фотографии с зубами. Но, так как челюсть нижняя, так как и до этого всё было эстетически приемлемо - вау эффекта не будет)

Наша Татьяна❤️
Наша Татьяна❤️

Что дальше?

  • Через 4 месяца пластика десны - дополнительное воссоздание межзубных сосочков, когда все процессы "усадки" десны завершатся. Сейчас получен отличный объём вестибулярно (в тг канале поясню), имплантаты защищены, эстетике быть! Максимальной эстетике.
  • Планомерно будем заниматься верхними зубами - там тоже предстоит серьёзная работа, сейчас пациентка отмечает подвижность конструкции. Но трогать не будем ничего. Задача - сохранить то, что есть, до лета (до августа?). Посмотрим.

Эта работа, пожалуй, самая трудоёмкая из всех, что у нас были и она ещё не закончена.

Такова цена эстетики.

До встречи!

Лежачёва Наталия Александровна - главный врач Parodent