Добавить в корзинуПозвонить
Найти в Дзене
Ординарные заметки

Как я учусь смотреть простату

На прошлой неделе в четверг вечером мне дали ответить биопсию простаты. Это значит, что у пациента взяли несколько фрагментов предстательной железы, и он сидит и ждет диагноз. Рак у него или не так. Как только мне дали стекла, я их сразу глянула на всякий случай. Рака нет. Мимо проходит врач, который дал случай. Я говорю: «Так что, рака-то нет вроде». А он мне, многозначительно: «Ну, ты поезжай домой, утром на свежую голову еще посмотришь». Словом, посеял во мне сомнения. Я значит на ночь почитала еще раз интерпретацию биопсий простаты. Мало ли что. Взрастила, так сказать, эти сомнения. В 7:30 утра уже была в отделении. Щас, думаю, как отвечу быстро и все. Смотрю простату. Рака нет. Ну вот ни за что глаз не цепляется и все тут! Все в пределах нормы. Смотрю в направление: ПСА - 12, PI-RADS - 4. Тут еще такой момент, что биопсию просто так брать не будут. Обычно для этого есть показания (вот тут можно про скрининг рака простаты почитать). Смотрю простату еще раз. Рака все также нет. Я ду

На прошлой неделе в четверг вечером мне дали ответить биопсию простаты. Это значит, что у пациента взяли несколько фрагментов предстательной железы, и он сидит и ждет диагноз. Рак у него или не так. Как только мне дали стекла, я их сразу глянула на всякий случай. Рака нет. Мимо проходит врач, который дал случай. Я говорю: «Так что, рака-то нет вроде». А он мне, многозначительно: «Ну, ты поезжай домой, утром на свежую голову еще посмотришь». Словом, посеял во мне сомнения. Я значит на ночь почитала еще раз интерпретацию биопсий простаты. Мало ли что. Взрастила, так сказать, эти сомнения. В 7:30 утра уже была в отделении. Щас, думаю, как отвечу быстро и все. Смотрю простату. Рака нет. Ну вот ни за что глаз не цепляется и все тут! Все в пределах нормы. Смотрю в направление: ПСА - 12, PI-RADS - 4. Тут еще такой момент, что биопсию просто так брать не будут. Обычно для этого есть показания (вот тут можно про скрининг рака простаты почитать). Смотрю простату еще раз. Рака все также нет. Я думаю, ну всеее. Где рак-то? Не первый раз же смотрю простату, а рак найти не могу. Как так-то? Не быть мне патологоанатомом. На 3й раз «пересмотра» я начала этот рак реально притягивать за уши! Все, что не так лежит или хоть как-то отличается от нормальных желез простаты вдруг на глазах стало само озлокачествляться. Намучавшись так битых полчаса я пошла к другому врачу на консультацию. Говорю: «рака нет, но он вроде как должен быть, но найти не могу, я уже любую мелочь подозреваю, спасите-помогите».

Оказалось, что там действительно рака нет. Так, что пациента ждали хорошие новости.

Столбик простаты. Вот так выглядит биопсийный материал. Таких столбиков обычно 12. Нужно каждый отсмотреть на предмет наличия или отсутствия рака.
Столбик простаты. Вот так выглядит биопсийный материал. Таких столбиков обычно 12. Нужно каждый отсмотреть на предмет наличия или отсутствия рака.

И вот вчера мне снова дали простату, на этот раз уже операционный материал. Передо мной 60 стекол и микроскоп. По биопсии пациенту уже поставили рак, поэтому простату удалили и мне надо было поставить финальную стадию. Я смотрела эту простату 3,5 часа!!! Ну вот я не могу просто так взять и быстро отсмотреть. Хотя, я все понимаю. Времени нет, если уже нашла в одной доле 100% рак или в обеих, дальше просто смотришь края резекции и экстрапростатическое распространение, ищешь периневральную инвазию и все, что может хоть как-то на прогноз повлиять. Все. Но нет, я сижу, и рассматриваю эту простату вдоль и поперек. И все время мне какие-то непонятные штуки попадаются!

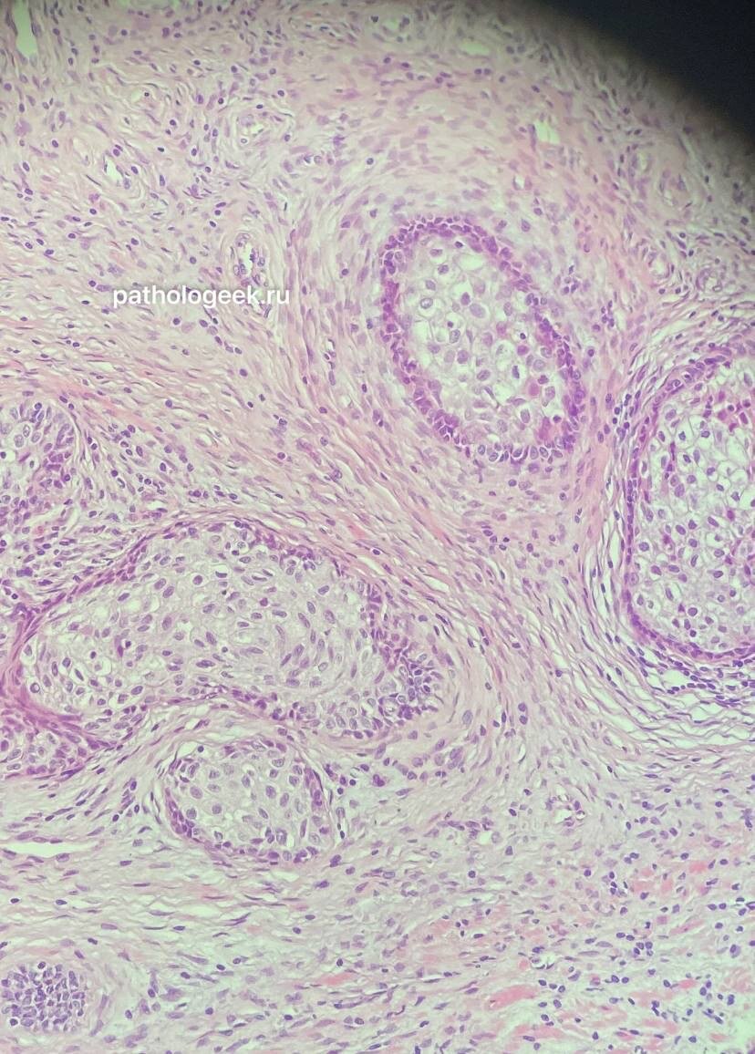
Ну вот, например, кто-нибудь знает, что это?)
Ну вот, например, кто-нибудь знает, что это?)

И каждый раз, что-то незнакомое, новое. И все время сомнения возникают. Не в целом - рак или не рак. А в каких уже мелочах: а вот здесь, например, это вот раковые железы или проста атрофия? Хотя это вообще не важно уже. А для меня вот важно. Мне говорят, вот если у тебя все 50 стекол чистые, а в одном ты сомневаешься то, тут уже, конечно, да, надо думать и подключать дополнительные глаза (консультацию) или методы исследования - покрасить, например, на ИГХ маркер - basal cell cocktail (34BE12+p63), он покажет рак или нет. Но если ты уже нашла рак, то чего тратить время на сомнительные места? Диагноз уже не изменится. Рак есть. А я вот думаю, а может если я потрачу время на сомнительные места сейчас (в ординатуре, а когда оно еще будет?) то может потом, когда реально вопрос встанет может мне будет чуть легче?

И говорят, что так будет всегда. Всю жизнь сомнения, неуверенность, загадки. Да, я, кажется, самую лучшую профессию выбрала!

Спасибо, что дочитали, надеюсь материал вам понравился. Пожалуйста, поддержите проект Pathologeek.ru, это можно сделать здесь.

Мой телеграм-канал.