Добавить в корзинуПозвонить
Найти в Дзене
У зубного

Уход за зубами малышей: чем опасен зубной налет

Чем опасен налет на молочных зубах малышей? Попробую рассказать о последствиях того, когда малышам не чистят зубки. Покажу на примере клинического случая 🪥 Какой налет является опасным, почему он появляется и что с этим делать родителям, разбираемся вместе 🦷 Бело-желтый налет Причина такого налета говорит о том, что есть отсутствие и нарушение правил гигиены. А также неправильное и несбалансированное питание. Такой налет образуется во время сна и его состав: эпителии, болезнетворные микроорганизмы и остатки пищи. Решение: чистка зубов два раза в день. 🦷 Серый налет Причиной появления серого налета на зубах является развитие гипоплазия зубной эмали, нарушение минерализации зубов. 🦷 Коричневый налет Причина – коричневые соли на зубах. Связано с тем, что в организме происходит нарушение обменных процессов. Одновременно со слюной выделяется избыток железа. Именно железо является «виновником» появления коричневого налета на зубах. 🦷 Черный налет А вот появления на зубах черного налета
Оглавление

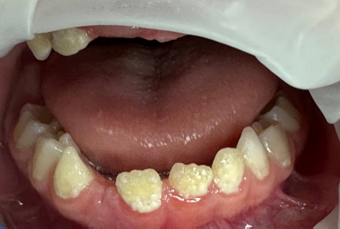
Чем опасен налет на молочных зубах малышей? Попробую рассказать о последствиях того, когда малышам не чистят зубки.

-2

Покажу на примере клинического случая

  • малыш не адаптирован к уходу за собой и нет навыка личной гигиены
  • запах
  • воспаление и кровоточивость десен
  • под налетом и камнем образуется кариес

🪥 Какой налет является опасным, почему он появляется и что с этим делать родителям, разбираемся вместе

🦷 Бело-желтый налет

Причина такого налета говорит о том, что есть отсутствие и нарушение правил гигиены. А также неправильное и несбалансированное питание. Такой налет образуется во время сна и его состав: эпителии, болезнетворные микроорганизмы и остатки пищи.
Решение: чистка зубов два раза в день.

🦷 Серый налет

Причиной появления серого налета на зубах является развитие гипоплазия зубной эмали, нарушение минерализации зубов.

🦷 Коричневый налет

Причина – коричневые соли на зубах. Связано с тем, что в организме происходит нарушение обменных процессов. Одновременно со слюной выделяется избыток железа. Именно железо является «виновником» появления коричневого налета на зубах.

🦷 Черный налет

А вот появления на зубах черного налета на зубах несет сразу несколько причин:
💡Во время вынашивания малыша, рацион питания беременной несбалансированный, с большим содержание: железа, кальция и фтора
💡Во время беременности перенесенные простудные и вирусные заболевания, а также прием препаратов для их лечения, в том числе антибиотиков
💡Если ребенок принимает препараты с содержанием железа
💡Детский дисбактериоз
💡Ослабление иммунной системы
💡Прием антибиотиков
💡Повышенная температура в помещении, которая влияет на избыточное образование слюны
💡Гипоплазия эмали, по причине чего твердость и защитные свойства эмали сильно снижены

🩺 Если налет легко счищается зубной щеткой, значит паниковать рано ー нужно просто тщательнее следить за гигиеной детей.


После профессиональной гигиены выявлены кариозные зубы, очаги деминерализации эмали и воспаленная десна.

-3

🪥 Меры профилактики


Не допустить образования налёта позволят следующие профилактические меры:
• систематический и правильный уход за коренными и молочными зубами, использование нитей, жидкостей для полоскания рта;
• замена чёрного чая соками или зелёным чаем;
• употребление продуктов с содержанием клетчатки;
• ополаскивание рта в течение дня;
• замена зубной щётки раз в три месяца;
• периодическая смена зубной пасты;
• регулярное посещение стоматолога, даже в том случае, когда нет жалоб

Здоровья, счастья вам и вашим детям - врач-стоматолог клиники "Столица" Маруфиди Егана

Другие публикации канала:

Как добиться снижения кариеса: профессиональный опыт

Клинический случай от миофункционального терапевта

Клинический случай: язык вытолкнул зубы в протрузию

Артикуляционная гимнастика для детей

Эстетика зубов и "серые тени"

Лечение начального кариеса на стадии белого пятна

Аппликация для круговой мышцы рта

Лечение скрытого кариеса

Где должен находиться язык в состоянии покоя

Профессиональный опыт: дистальный прикус

Профессиональный опыт: подвижность зубов

Упражнение для круглой мышцы рта

Красота лица зависит от пропорционального развития челюстей

Профессиональный опыт: скученность зубов

Про коронки для молочных зубов: 6 показаний и 6 преимуществ

Профессиональный опыт: перелом коронки зуба без повреждения пульпы

Профессиональный опыт: хронический гранулирующий периодонтит

Что могут брекеты

Профессиональный опыт: "молочные зубы все сменились? А если найду?"

Профессиональный опыт: "бутылочный" кариес

Диагноз: фиброзный эпулис