Найти в Дзене

Базовый+ уровень лечения кариеса.

Здесь вам гарантированно повесят одноразовый платочек на грудь, чтобы случайно не запачкать одежду в процессе лечения. Так же обязательно будет слюноотсос и наконечник с водяным охлаждением. Время приема может быть увеличено до 1 часа, иногда даже более, в зависимости от планируемого объема работы и сложности лечения. Возможно даже появится дополнительный человек для помощи доктору -ассистент. И в редких случаях доктор может использовать специальную краску для выявления кариеса и контроля качества препарирования (удаления) инфицированных тканей. В крайне редких случаях доктор может использовать дополнительно увеличивающие лупы для глаз, обычно с минимальным увеличением. Но основной принцип лечения тот же-если увижу - уберу, а нет, так на нет и суда нет. И слюна по-прежнему будет мешать доктору в процессе лечения. Материалы для постановки пломб здесь будут преимущественно композитные, как химического отверждения, так и светового. Причем светоотверждаемые пломбы будут использоваться в б
Скриншот из мультфильма "Маша и медведь" серия 24 "Приятного аппетита". Маша говорит: "Во, залипуха какая". В стоматологии это скорее залЕпуха, так как пациенты часто просят "залепить".
Скриншот из мультфильма "Маша и медведь" серия 24 "Приятного аппетита". Маша говорит: "Во, залипуха какая". В стоматологии это скорее залЕпуха, так как пациенты часто просят "залепить".

Здесь вам гарантированно повесят одноразовый платочек на грудь, чтобы случайно не запачкать одежду в процессе лечения. Так же обязательно будет слюноотсос и наконечник с водяным охлаждением. Время приема может быть увеличено до 1 часа, иногда даже более, в зависимости от планируемого объема работы и сложности лечения. Возможно даже появится дополнительный человек для помощи доктору -ассистент. И в редких случаях доктор может использовать специальную краску для выявления кариеса и контроля качества препарирования (удаления) инфицированных тканей. В крайне редких случаях доктор может использовать дополнительно увеличивающие лупы для глаз, обычно с минимальным увеличением. Но основной принцип лечения тот же-если увижу - уберу, а нет, так на нет и суда нет. И слюна по-прежнему будет мешать доктору в процессе лечения.

Материалы для постановки пломб здесь будут преимущественно композитные, как химического отверждения, так и светового. Причем светоотверждаемые пломбы будут использоваться в большинстве случаев лечения кариеса. Композит химического отверждения доктор может поставить, если пациент ограничен в средствах, так как такие пломбы дешевле.

Композиты светового отверждения будут применяться уже преимущественно зарубежных производителей, часто даже достаточно дорогих и известных. Однако, в силу отсутствия хорошей изоляции зуба от слюны и десневой жидкости (главную роль все еще играет слюноотсос и ватные валики) прилегание пломб и их долговечность могут быть снижены.

Форма пломб по-прежнему будет оставаться преимущественно плоской, иногда врач будет восстанавливать подобие истинной формы зуба, но это будет встречаться довольно редко, так как на данном уровне основной упор остается на количестве пролеченных зубов в смену. Нависающие края пломб здесь также будут частым явлением.

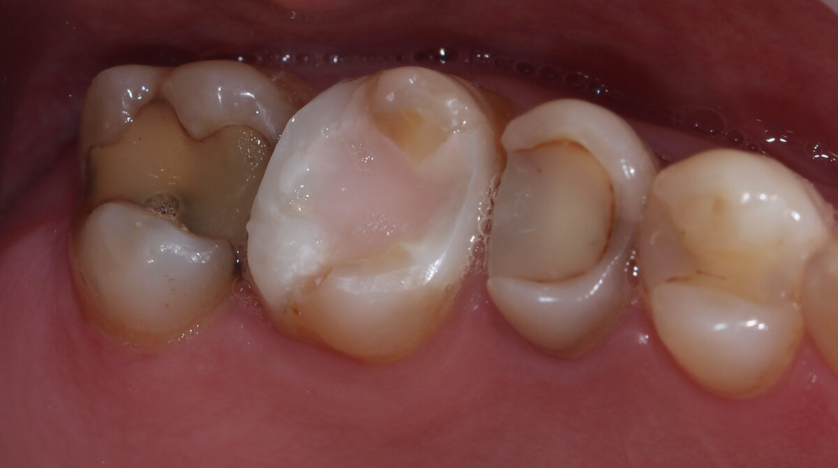
Типичные "залепухи" из светового композита. Форма зубов анатомически даже близко не восстановлена, вокруг почти всех пломб присутствует вторичный кариес (крайний зуб был пролечен давно, судя по виду, соседние - не так давно, в пределах 2-5 лет).
Типичные "залепухи" из светового композита. Форма зубов анатомически даже близко не восстановлена, вокруг почти всех пломб присутствует вторичный кариес (крайний зуб был пролечен давно, судя по виду, соседние - не так давно, в пределах 2-5 лет).