Добавить в корзинуПозвонить
Найти в Дзене
ВМП Медицина

Эндопротезирование тазобедренного сустава

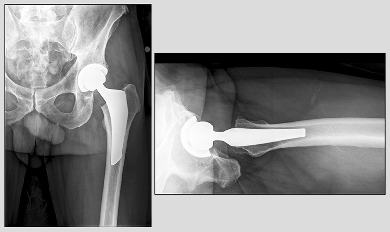
Эндопротезирование тазобедренного сустава является одной из наиболее эффективных и распространенных хирургических операций, направленных на восстановление функций сустава и улучшение качества жизни пациентов. При проведении данной операции поврежденные или заболевшие части сустава заменяются искусственными компонентами, изготовленными из металла, керамики или пластика. Целью операции является устранение боли, восстановление мобильности и нормализация двигательной активности пациента. Современные технологии и материалы, используемые в эндопротезировании, позволяют восстановить суставы даже в самых сложных и запущенных случаях, предлагая пациентам возможность возвращения к полноценной жизни. Операция может быть рекомендована пациентам с различными заболеваниями и повреждениями суставов, включая артроз, ревматоидный артрит и переломы шейки бедра. Показания к операции Замена тазобедренного сустава рекомендуется в случаях, когда консервативное лечение не приносит желаемого эффекта, и когда
Оглавление

Эндопротезирование тазобедренного сустава является одной из наиболее эффективных и распространенных хирургических операций, направленных на восстановление функций сустава и улучшение качества жизни пациентов. При проведении данной операции поврежденные или заболевшие части сустава заменяются искусственными компонентами, изготовленными из металла, керамики или пластика. Целью операции является устранение боли, восстановление мобильности и нормализация двигательной активности пациента.

Современные технологии и материалы, используемые в эндопротезировании, позволяют восстановить суставы даже в самых сложных и запущенных случаях, предлагая пациентам возможность возвращения к полноценной жизни. Операция может быть рекомендована пациентам с различными заболеваниями и повреждениями суставов, включая артроз, ревматоидный артрит и переломы шейки бедра.

Показания к операции

Замена тазобедренного сустава рекомендуется в случаях, когда консервативное лечение не приносит желаемого эффекта, и когда болезненные симптомы значительно ухудшают качество жизни пациента. Основными заболеваниями и состояниями, при которых может быть показана данная операция, являются остеоартроз, который характеризуется износом и повреждением хрящевой ткани сустава, что приводит к боли, жесткости и ухудшению функции сустава; ревматоидный артрит, который является хроническим воспалительным заболеванием, поражающим множество суставов и вызывающим разрушение суставных поверхностей.

Переломы шейки бедра, которые могут привести к нестабильности и выраженным болям в суставе, особенно если произошел смещенный перелом или некорректное сращивание костей после травмы; анкилоз тазобедренного сустава, при котором происходит полная потеря подвижности сустава из-за сращивания костей или рубцования мягких тканей; дисплазия тазобедренного сустава, которая является врожденным или приобретенным нарушением формирования сустава, что может вызвать нестабильность сустава и преждевременный его износ; а также различные опухолевые процессы и некроз головки бедра, при котором происходит гибель костной ткани из-за нарушения кровообращения.

Противопоказания к операции

Эндопротезирование тазобедренного сустава может быть не рекомендовано в определенных случаях из-за состояний и факторов, которые могут увеличить риски операции или ухудшить ее результаты. Противопоказаниями к проведению данной операции могут быть активные инфекционные процессы в организме, включая местные инфекции в области предполагаемого хирургического вмешательства. Также серьезными противопоказаниями являются некоторые хронические заболевания, такие как серьезные заболевания сердца и сосудов, декомпенсированный диабет и другие состояния, которые могут значительно увеличить риски операции и осложнить процесс восстановления. Тяжелые системные инфекции, распространяющиеся на суставы и окружающие ткани, также могут быть противопоказанием к эндопротезированию, поскольку они могут вызвать инфекцию вновь установленного эндопротеза. Серьезное истощение организма, выраженные трофические нарушения и плохая функция почек могут также служить причиной для отклонения пациента от операции.

Кроме того, плохое общее состояние здоровья, наличие активного онкологического процесса, высокий возраст пациента, а также недостаточное соблюдение медицинских рекомендаций и отсутствие мотивации у пациента для последующей реабилитации могут быть причинами для пересмотра плана хирургического вмешательства. Также врачи внимательно рассматривают историю аллергических реакций на материалы, из которых изготовлены эндопротезы, так как это может вызвать отторжение имплантата.

Эффективность операции

-2

Эффективность операции по замене тазобедренного сустава во многом зависит от профессионализма медицинской команды, качества имплантатов и индивидуальных характеристик пациента. Статистически большинство пациентов испытывают значительное улучшение в качестве жизни после операции. Это выражается в снижении уровня боли, улучшении подвижности и возможности возвращения к повседневной активности.

По данным исследований, успешность операции достигает более 90%, а современные эндопротезы могут служить 15-20 лет и даже дольше, при условии правильного ухода и соблюдения рекомендаций врачей. Однако эффективность может варьироваться в зависимости от множества факторов, включая возраст пациента, стадию заболевания и наличие сопутствующих заболеваний.

Отзывы пациентов и врачей в большинстве случаев положительные. Пациенты отмечают возвращение к нормальной жизни, возможность заниматься любимыми хобби и уменьшение дискомфорта, который часто сопровождает заболевания суставов. Врачи подчеркивают, что эндопротезирование тазобедренного сустава является одним из наиболее эффективных способов восстановления функции сустава, особенно при тяжелых формах артроза и ревматоидного артрита.

Виды операций

-3

Операции по эндопротезированию тазобедренного сустава имеют различные методики и технологии. Одним из ключевых моментов является выбор доступа к суставу. Малоинвазивный доступ представляет собой технологию, которая позволяет минимизировать травматизацию окружающих тканей при выполнении операции. Это достигается за счет уменьшения размера хирургического разреза и более бережного отношения к мягким тканям в области операции. Малоинвазивный доступ может способствовать более быстрому восстановлению пациента после операции и уменьшению болевого синдрома.

Тип эндопротеза и метод его фиксации также являются важными аспектами операции. Существуют цементные и бесцементные технологии фиксации эндопротезов. При цементной фиксации используется специальный костный цемент для закрепления компонентов эндопротеза в костной ткани, в то время как бесцементные эндопротезы разработаны так, чтобы обеспечивать прямое сращивание кости с поверхностью эндопротеза.

Подготовка к операции

Подготовка к операции по эндопротезированию тазобедренного сустава включает в себя медицинскую и психологическую составляющие. Медицинская подготовка начинается с тщательного медицинского обследования, чтобы оценить общее состояние здоровья пациента и выявить возможные противопоказания к операции. Врачи проводят ряд анализов, включая анализы крови и мочи, исследования функции сердца и легких, а также изучают состояние тазобедренного сустава с помощью рентгеновских снимков, компьютерной томографии или магнитно-резонансной томографии. Также важно обсудить с врачом все принимаемые пациентом лекарства и витамины, так как некоторые из них могут потребовать отмены или коррекции дозы перед операцией.

Психологическая подготовка также играет важную роль в успешном проведении операции и последующем восстановлении. Пациенту рекомендуется заранее познакомиться с процессом операции, возможными рисками и ожидаемыми результатами. Это поможет уменьшить уровень тревожности и стресса. Полезно также обсудить возможные опасения и вопросы с врачом, медицинским персоналом или с психологом. Поддержка близких и родных также может сыграть значительную роль в психологической подготовке к операции.

Можно ли делать операцию людям с лишним весом?

Люди с лишним весом часто сталкиваются с проблемами суставов из-за дополнительной нагрузки на них, и эндопротезирование тазобедренного сустава может быть рекомендовано в качестве метода лечения. Однако лишний вес может внести определенные сложности и риски в процесс операции и последующего восстановления.

Во-первых, лишний вес может увеличить риск развития осложнений, таких как инфекции, тромбообразование и проблемы с заживлением ран. Также у пациентов с ожирением может быть выше риск дислокации эндопротеза и более быстрый износ имплантата из-за повышенной нагрузки на сустав.

Во-вторых, общее состояние здоровья может быть хуже у пациентов с лишним весом, что также может увеличить риски во время операции и замедлить процесс восстановления. Например, у пациентов с ожирением часто есть сопутствующие заболевания, такие как диабет или сердечно-сосудистые заболевания, которые могут затруднить процесс анестезии и восстановления после операции.

В-третьих, несмотря на эти риски, эндопротезирование тазобедренного сустава может значительно улучшить качество жизни пациентов с лишним весом, уменьшив боль и улучшив подвижность.

Как быть, если отказывают в операции из-за лишнего веса?

Для людей с ожирением подготовка к эндопротезированию тазобедренного сустава становится важным этапом на пути к восстановлению здоровья суставов. Снижение лишнего веса является первоочередной задачей, поскольку это может помочь уменьшить риски, связанные с операцией, и улучшить исходы лечения.

Первый шаг — это консультация с врачом для обсуждения безопасного и эффективного плана по снижению веса. Врач может порекомендовать обратиться к диетологу для составления индивидуального плана питания. Здоровое, сбалансированное питание, например, с ограниченным потреблением сахара и жиров, поможет создать дефицит калорий, необходимый для похудения. Физическая активность также играет ключевую роль в процессе снижения веса. Упражнения, которые мягко воздействуют на суставы, такие как плавание или водная аэробика, могут быть хорошим выбором. Физиотерапевт может помочь разработать программу упражнений, которая будет безопасной и эффективной. Психологическая поддержка со стороны близких и группы может помочь поддерживать мотивацию и справляться с возможными стрессами, связанными с изменением образа жизни.

Прекращение курения и умеренное потребление алкоголя также важны для улучшения общего состояния здоровья и подготовки к операции.

После достижения целевого веса или значительного улучшения состояния здоровья можно начать обсуждение с врачом относительно дальнейшей подготовки к эндопротезированию, включая предоперационное обследование и планирование самой операции.

Ход операции

Операция по эндопротезированию тазобедренного сустава начинается с введения анестезии для обеспечения безболезненности процедуры. После этого хирург делает разрез на бедре для доступа к тазобедренному суставу. Размер и точное положение разреза зависят от выбранной методики, например, малоинвазивной техники или традиционного доступа.

Далее хирург удаляет поврежденный хрящ и костную ткань с головки бедра и внутренней поверхности тазобедренной чаши. Это делается с помощью специализированных хирургических инструментов, включая резцы и фрезы.

Затем проводится установка компонентов эндопротеза. Головка и шейка эндопротеза устанавливаются в бедренный канал, а тазобедренная чашка эндопротеза устанавливается в таз. Фиксация эндопротеза может быть выполнена с помощью специального костного цемента или без его использования, в зависимости от выбранной технологии и типа эндопротеза.

После установки всех компонентов эндопротеза и проверки правильности их положения и функционирования сустава, хирург возвращает мягкие ткани на место и закрывает разрез. На разрез накладываются швы и стерильное покрытие для предотвращения инфекции.

Реабилитация после операции

Реабилитация после операции по эндопротезированию тазобедренного сустава является ключевым этапом на пути к полному восстановлению функции сустава и улучшению качества жизни пациента. Восстановительный период начинается сразу после операции и может продолжаться от нескольких недель до нескольких месяцев.

Восстановительные упражнения начинаются уже в первые дни после операции под наблюдением физиотерапевта. Упражнения направлены на улучшение подвижности сустава, укрепление мышц бедра и таза, а также восстановление нормальной походки. Сначала упражнения выполняются в легкой форме, постепенно увеличивая нагрузку и сложность упражнений. Физиотерапевт разрабатывает индивидуальную программу упражнений для каждого пациента, учитывая его возраст, физическое состояние и особенности проведенной операции.

Медикаментозное восстановление включает прием противовоспалительных и обезболивающих препаратов для снижения боли и воспаления в области операции. Это помогает улучшить комфорт пациента и облегчить выполнение восстановительных упражнений. Кроме того, врач может назначить прием антитромботических препаратов для предотвращения образования тромбов, а также антибиотиков для профилактики или лечения инфекционных осложнений.

Реабилитация требует терпения и усилий со стороны пациента, а также поддержки со стороны медицинского персонала и близких. С правильным подходом и строгим соблюдением медицинских рекомендаций большинство пациентов успешно восстанавливаются после операции по эндопротезированию тазобедренного сустава и возвращаются к активной жизни.

Возможные осложнения и риски

Осложнения после операции по эндопротезированию тазобедренного сустава могут варьироваться от легких до серьезных. Одним из распространенных осложнений является инфекция в области операционного шва или в суставе. Инфекции могут требовать дополнительного лечения антибиотиками или даже повторного хирургического вмешательства.

Тромбоз является еще одним возможным осложнением. Образование тромбов в глубоких венах может привести к тромбоэмболии легочной артерии, что является серьезным состоянием и требует немедленного медицинского вмешательства. Боль и отек в области операции также являются обычными осложнениями в раннем послеоперационном периоде. В большинстве случаев они проходят с течением времени с помощью противовоспалительных и обезболивающих препаратов.

Нередко возможно возникновение осложнений, связанных с имплантатом, таких как ослабление фиксации эндопротеза, его перемещение или выход из строя. Эти проблемы могут потребовать повторного хирургического вмешательства для замены или коррекции эндопротеза. Различия в длине ног после операции могут вызвать дискомфорт или изменение походки, хотя это обычно корректируется с помощью ортопедической обуви или стелек. Также возможно развитие аллергических реакций на материалы эндопротеза, хотя современные материалы и технологии значительно снизили вероятность этого типа осложнений.

Обращаясь в ВМП-Медицину вы получите:

  • Стратегию вашего лечения и реабилитации
  • Оперирующего хирурга — заведующего отделением
  • Госпитализацию в течение 5 дней
  • Импланты ведущих американских и немецких производителей

Беремся за самые сложные случаи. Предоставляем “второе мнение” и, при необходимости, организуем врачебный консилиум. https://vmp-medicine.ru/