Найти в Дзене
Телеканал "78"

Обнаружить её не просто, а в зоне риска буквально все: как распознать самую коварную болезнь легких — пневмонию

Врачи не устают твердить: с симптомами гриппа и простуды, даже символическими, оставайтесь дома. И хоть опыт пандемии многих научил серьезнее подходить к своему здоровью и здоровью близких, трудоголики всё равно нарушают рекомендации врачей. О том, чем опасна такая безответственность, что такое пневмония и чем её лечить в эфире «Полезного утра» рассказала врач-пульмонолог Инна Васильева. День борьбы с пневмонией Ежегодно 12 ноября отмечается Всемирный день борьбы с пневмонией. Он появился по инициативе Глобальной коалиции против детской пневмонии. Это объединение международных организаций, научно-исследовательских институтов, фондов и активистов, которые хотят привлечь внимание к проблеме заболевания. Ведь цифры статистики ужасают — от воспаления легких ежегодно в мире умирает более двух миллионов человек, в том числе примерно 1,1 миллиона — это дети. Традиционно в этот день учреждения здравоохранения организуют профилактические мероприятия, проводят медицинские осмотры. Волонтеры расс
Оглавление

Врачи не устают твердить: с симптомами гриппа и простуды, даже символическими, оставайтесь дома. И хоть опыт пандемии многих научил серьезнее подходить к своему здоровью и здоровью близких, трудоголики всё равно нарушают рекомендации врачей. О том, чем опасна такая безответственность, что такое пневмония и чем её лечить в эфире «Полезного утра» рассказала врач-пульмонолог Инна Васильева.

День борьбы с пневмонией

Ежегодно 12 ноября отмечается Всемирный день борьбы с пневмонией. Он появился по инициативе Глобальной коалиции против детской пневмонии. Это объединение международных организаций, научно-исследовательских институтов, фондов и активистов, которые хотят привлечь внимание к проблеме заболевания. Ведь цифры статистики ужасают — от воспаления легких ежегодно в мире умирает более двух миллионов человек, в том числе примерно 1,1 миллиона — это дети.

Традиционно в этот день учреждения здравоохранения организуют профилактические мероприятия, проводят медицинские осмотры. Волонтеры рассказывают людям о пневмонии и сопряженных с ней рисками, раздают информационные листовки и буклеты.

Что такое пневмония?

Пневмония — это воспаление легких, вызванное бактериями, вирусами или грибами. Может появиться как самостоятельное заболевание, но часто становится осложнением других болезней. Воспаление поражает нижние дыхательные пути — появляется кашель, мокрота, а при большом распространении процесса — одышка. Почти всегда пневмония сопровождается повышением температуры тела, слабостью, недомоганием.

Легкие человека состоят из маленьких мешочков-альвеол, которые в нормальном состоянии при дыхании наполняются воздухом. При пневмонии альвеолы заполняются гноем и жидкостью, что ограничивает поступление кислорода и вызывает боль. Пневмонии занимают 1-е место среди причин смерти человека в структуре инфекционных болезней.

фото: unsplash.com
фото: unsplash.com

Виды пневмонии

В зависимости от условий инфицирования существует с десяток разных видов заболевания. Рассказываем об основных:

Внебольничная пневмония — это пневмония, приобретенная за пределами больницы. Чаще всего выявленными возбудителями оказываются пневмококк, атипичные бактерии и вирусы. Среди симптомов — лихорадка, кашель, выделение мокроты, боль в груди, одышка, тахипноэ и тахикардия. Диагноз ставится на основании клинического обследования и рентгенографии органов грудной клетки.

Внутрибольничная пневмония — возникает в условиях длительного пребывания в стационаре и связана с внутрибольничной микробной флорой. Протекает тяжелее и труднее поддается терапии, чем её внебольничная сестра.

Вирусная пневмония — острое поражение альвеол лёгких, при котором альвеолы закупориваются жидкостью, а стенки сосудов отекают, как следствие — организм не получает достаточное количество кислорода, а внутри лёгких накапливается углекислый газ. Заболевание чаще всего встречается у детей, особенно в осенне-зимний период. В большинстве случаев протекает в лёгкой форме, однако при тяжёлом течении требуется срочная госпитализация и искусственная вентиляция лёгких.

Бактериальная пневмония — это легочное заболевание, которое провоцируется бактериями, проникающими в дыхательную систему. Воспалительный процесс развивается при попадании внутрь очень агрессивных бактерий, которые могут противостоять сопротивлению организма. Возбудителем могут стать пневмококк, стрептококк, стафилококк, менингококк, гемофильная палочка, легионелла.

Крупозная пневмония — это острое заболевание, при котором воспаляется несколько долей легкого. Внутри легочных мешочков образуется и скапливается липкая жидкость (фибриновый выпот), часто страдает плевра (оболочка легкого) – она тоже покрывается липкими, клейкими нитями фибрина, из-за чего пациенту труднее дышать. Болеют обычно взрослые от 20 до 50 лет.

Атипичная пневмония — поражение легких, которое носит инфекционно-воспалительный характер. При этом заболевание отличается от традиционного воспаления легких и вызывается нетрадиционными возбудителями, к которым относятся вирусы, хламидии, микоплазмы и легионеллы. Она протекает тяжелее обычной формы и часто приводит к смертельному исходу. Трудность лечения в том, что на данный момент нет действенных препаратов и отработанных методик для борьбы с ней, и что возбудители заболевания быстро мутируют. По данным ВОЗ в 2003 году из-за эпидемии атипичной пневмонии в 30 странах мира было зарегистрировано более 900 смертей.

Очаговая пневмония — разновидность острой пневмонии с локализацией инфекционно-воспалительного процесса на ограниченном участке легочной ткани в пределах долек легкого. Течение характеризуется лихорадкой и ознобами, кашлем сухим или со скудной мокротой, болью в грудной клетке, общей слабостью.

В зависимости от того, повреждены ли оба лёгких или только одно, пневмонии могут быть односторонними или двусторонними.

Пневмония: как не заразиться, какие виды бывают, причины болезни и лечение | 78 канал

Как заражаются пневмонией

В 50% случаев внебольничную пневмонию вызывает пневмококк. Основной путь заражения — воздушно-капельный. То есть инфицирование происходит в результате чихания, кашля зараженного человека (при чихании и кашле аэрозольное облако достигает 3 метров в диаметре), даже разговора с источником инфекции может быть достаточно.

«Худшее решение, которое человек может принять, это пойти, например, больным на работу. Последствия таких решений я вижу каждый день у себя на приеме. Десятки таких пациентов приходят. Это растягивает сроки заболевания и плюс, конечно, ослабляет иммунитет», — рассказывает пульмонолог.

Находясь в плохо проветриваемых помещениях с носителем микробов (вирусов, бактерий, грибков), человек легко подвержен заражению. Это же касается и поездок в общественном транспорте, работы в офисе. И даже нахождение в магазине с кашляющим или чихающим человеком несет потенциальную опасность для здоровья. Однако источник пневмонии — это только первый фактор, провоцирующий развитие воспаления легких. Вторым фактором является ослабленный иммунитет.

Сколько дней длится пневмония

Интенсивность большей часть симптомов пневмонии, таких, например, как боль в груди и температура, уменьшается уже через несколько дней. Кашель, если он был, обычно проходит через 2-3 недели. Что касается слабости и усталости, то нередки случаи, когда полностью эти ощущения проходят лишь полгода спустя.

Общая продолжительность лечения бактериальных пневмоний с применением антибиотиков составляет в среднем от 7 до 10 дней. При инфицировании микоплазмами или хламидиями курс лечения длится не менее 14 дней.

фото: freepik.com
фото: freepik.com

Симптомы пневмонии

Пневмония, как уже упоминалось выше, может проявляться такими симптомами, как температура, кашель, одышка, лихорадка, боли в груди и тахикардия. Однако есть ещё такая коварная, скрытая болезнь – пневмония без кашля. Обнаружить её не просто. А вот запускать — невероятно опасно.

Первыми проявлениями скрытого воспаления лёгких являются значительная утомляемость при физических нагрузках, бледность кожи, приступы учащённого сердцебиения, затруднительное дыхание. Бессимптомную пневмонию можно определить при наличии едва заметных проявлений:

  • прогрессирующее уменьшение массы тела;
  • одышка при незначительных физических нагрузках;
  • болезненная бледность лица, сочетающаяся с красными пятнами на щеках;
  • свистящие звуки при дыхании на вдохе или выдохе.

В начальной стадии бессимптомной пневмонии у детей родители и педиатры обращают внимание на вялость и снижение активности ребёнка, беспокойный сон, ухудшение аппетита, повышенную капризность, интенсивное потоотделение. В области носогубного треугольника кожа может иметь синий оттенок.

Пневмония у взрослых

Пневмония может развиться у любого, однако чаще всего лёгкие воспаляются у детей в возрасте до 2 лет и взрослых старше 65. Что касается взрослых и тем более пожилых людей — ослабленная болезнью иммунная система хуже справляется с патогенными бактериями, вирусами и грибами, поэтому вероятность подхватить пневмонию в больнице очень высока.

Риск ещё выше, если человек находится в отделении интенсивной терапии и реанимации и подключён к аппарату искусственной вентиляции лёгких. Опасность также есть и для ВИЧ-инфицированных, пациентов, которые проходят химиотерапию, а также людей после трансплантации органов и тканей. Кроме того, снижают защитные способности иммунной системы хроническая обструктивная болезнь лёгких (ХОБЛ), заболевания сердца, сахарный диабет, анемия и другие хронические патологии.

Болезнь Паркинсона или трудности с глотанием, возникшие после инсульта или травмы, могут привести к попаданию пищи или напитков в лёгкие, увеличивая риск развития аспирационной пневмонии. Заболевание также может быть сопутствующим при вредной работе — вдыхание экскрементов животных, загрязнённой земли, а также производственных токсинов и химикатов увеличивает вероятность развития воспаления в лёгких. Кроме того, риск заболеть выше у тех, кто недостаточно или однообразно питается, курит или регулярно злоупотребляет алкоголем, потому что организм ослабевает и может хуже справляться с защитой от вероятных патогенов.

фото: pxhere.com
фото: pxhere.com

Пневмония у детей

Без температуры (но с выраженной одышкой) протекают атипичные пневмонии у детей до полугода. Для таких случаев характерна комбинация следующих клинических признаков: острое начало с лихорадкой от 38,0 °С и выше, озноб, потеря аппетита, кашель, одышка. Длительность лихорадки у детей, кстати, не является критерием диагноза.

Наиболее осложненные формы внебольничной пневмонии вызывает пневмококк. Развиваются осложнения преимущественно (более 80%) у детей раннего возраста. Поэтому прививка от пневмококка одна из первых в календаре прививок для самых маленьких.

Как лечить пневмонию

Подозревая пневмонию, врач обычно назначает ряд анализов, в том числе:

  • Анализ крови — для подтверждения инфекции и определения типа вызывающих ее микроорганизмов.
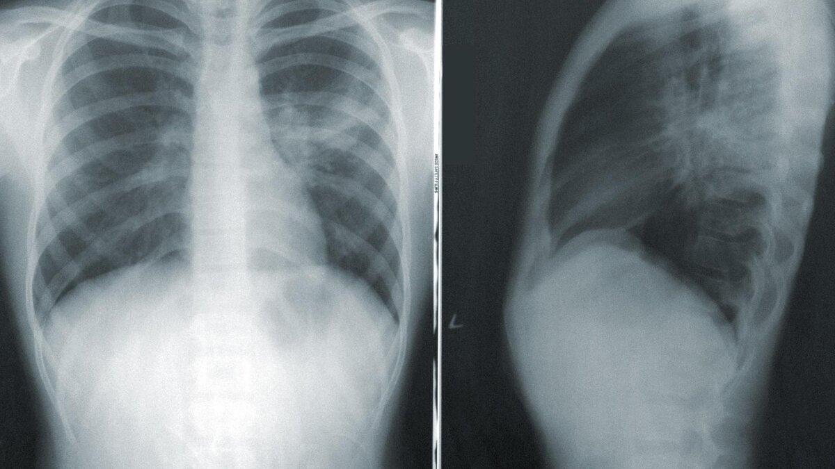
  • Рентгенограмма грудной клетки. Это позволяет врачу определить локализацию воспаления легких.
  • Пульсоксиметрия — измерение уровня кислорода в крови.
  • Анализ мокроты. Образец отделяемого из легких (мокроты) берется после глубокого кашля и анализируется, чтобы помочь точно определить возбудителя инфекции.
  • Компьютерная томография. Послойное исследование лёгочной ткани, чтобы получить более детальное изображение легких.
  • Пункция плевральной полости. Если в плевральной полости выявляется жидкость, ее извлекают, вставляя иглу между ребрами. В полученной жидкости исследуют клеточный состав и сеют на специальные среды, пытаясь выявить возбудитель.

Лечение пневмонии направлено на подавление инфекции и предотвращение осложнений. Людей с внебольничной пневмонией обычно можно лечить в домашних условиях с помощью лекарств. Большинство симптомов пропадает через несколько дней или недель, чувство усталости может сохраняться в течение месяца или более.

Конкретные методы лечения зависят от типа возбудителя и тяжести пневмонии, возраста и общего состояния здоровья пациента. Варианты включают в себя: антибиотики — чтобы «убить» бактерию, лекарства от кашля — чтобы вывести мокроту из лёгких, жаропонижающие — для снятия симптомов лихорадки. Но стоит помнить, что все эти лекарства ОБЯЗАТЕЛЬНО должен назначать врач. Особенно, если речь идёт об антибиотиках.

фото: unsplash.com
фото: unsplash.com

Антибиотики при пневмонии

Назначает антибиотики при воспалении легких врач, опираясь на признаки определенного типа пневмонии (крупозной, атипичной, прикорневой, очаговой, аспирационной). Когда источник инфекции установлен, то специалист назначает такой препарат, к которому чувствителен выявленный микроорганизм. Это определяется по анализу взятой мокроты.

«Мы назначаем антибиотики эмпирически, предполагая, у какого человека какая может быть флора, в зависимости от возраста, от сопутствующих заболеваний. Но я хочу сказать, что на фоне того, что люди принимают антибиотики самостоятельно сейчас, мы сталкиваемся с резистентностью (неэффективностью — прим.) от часто назначаемых антибиотиков», — делится наблюдениями врач.

Последствия пневмонии

Пневмония, как любое другое инфекционное заболевание, вызывает интоксикацию организма. В этот процесс могут вовлекаться мозговые оболочки. Человек становится сонливым, вялым, жалуется на головную боль и головокружение. Иногда производит впечатление спящего и реагирует только на громкую речь или вообще не вступает в контакт.

При вовлечении в процесс не только мозговых оболочек, но и тканей мозга, может развиваться так называемая очаговая симптоматика: слабость в конечностях, нарушение чувствительности («онемение», «покалывание») или координации движений. Такие осложнения развиваются постепенно. При появлении подобных симптомов обязательно следует обратиться к врачу, даже если формально лечение закончено.

Для полноценного восстановления в программе реабилитации после пневмонии обязательны вестибулярная гимнастика, ЛФК, физиопроцедуры. Перенесенная пневмония при этом будет накладывать отпечаток на переносимость физических нагрузок, поэтому начинать тренировки следует в щадящем режиме, увеличивая нагрузку постепенно под контролем реабилитологов.

фото: freepik.com
фото: freepik.com

Как не заболеть пневмонией

Ниже перечислены главные правила профилактики пневмонии:

1. Избегайте переохлаждений и стрессов.

2. Мойте руки с мылом чаще, 15-30 секунд, чтобы удалить микроорганизмы, способные вызвать пневмонию;

3. Не курите. Продукты распада никотина повреждают бронхи и легкие, снижают их устойчивость к респираторным инфекциям.

4. Защищайте органы дыхания. Вдыхание пыли, сильнодействующих химических соединений вредно для легочной ткани.

5. Старайтесь в еде отдавать предпочтение пище, обогащенной витаминами и микроэлементами, следите за своим весом.

6. Занимайтесь гимнастикой. Дыхательная гимнастика (регулярные глубокие движения типа вдох-выдох, надувание воздушных шариков) направлена на улучшение вентиляции легких.

7. Избегайте контакта с больными гриппом, другими респираторными инфекциями, корью, ветрянкой (если не болели этими инфекциями). Пневмония может быть осложнением этих заболеваний.

8. Регулярно проветривайте помещение.

9. Своевременно лечите хронические очаги инфекции. Тонзиллит, кариозные зубы, инфекции в других органах являются источниками болезнетворной флоры, которая может попасть в легкие.

10. Регулярно проходите диспансеризацию, профилактические осмотры и флюорографию.

11. Не пренебрегайте профилактическими прививками.

«Не забываем про вакцинацию возрастных пациентов. Вакцинироваться пневмококковыми вакцинами нужно людям с хронической обструктивной болезнью легких на фоне курения. Флюорографию легких каждый год делаем, независимо от того, курим мы или не курим», — подытоживает Инна Васильева.