Добавить в корзинуПозвонить
Найти в Дзене

"Цефалгический синдром при субарахноидальном кровоизлиянии: Враг в голове, которого стоит победить!"

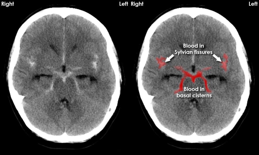
Цефалгический синдром - одно из самых загадочных и неизученных заболеваний, которое может возникнуть в результате нетипичных вариантов субарахноидального кровоизлияния. Это состояние сопровождается острыми и интенсивными головными болями, которые могут привести к серьезным последствиям, если не обратить на них внимание. Нетипичные варианты субарахноидального кровоизлияния - это когда кровь вытекает в пространство между паутинкой и мягкими оболочками мозга не из аневризмы, а из-за других причин, таких как сосудистые дефекты или травма головы. Это делает диагностику и лечение таких случаев сложными и требующими специализированного медицинского вмешательства. Особенность цефалгического синдрома при нетипичных вариантах субарахноидального кровоизлияния заключается в его интенсивности и продолжительности. Головная боль может быть такой силы, что пациент не в состоянии выполнять привычные повседневные задачи и даже проходить через обычные ритуалы, такие как умывание или одевание. Она мо

Цефалгический синдром - одно из самых загадочных и неизученных заболеваний, которое может возникнуть в результате нетипичных вариантов субарахноидального кровоизлияния. Это состояние сопровождается острыми и интенсивными головными болями, которые могут привести к серьезным последствиям, если не обратить на них внимание.

Нетипичные варианты субарахноидального кровоизлияния - это когда кровь вытекает в пространство между паутинкой и мягкими оболочками мозга не из аневризмы, а из-за других причин, таких как сосудистые дефекты или травма головы. Это делает диагностику и лечение таких случаев сложными и требующими специализированного медицинского вмешательства.

Особенность цефалгического синдрома при нетипичных вариантах субарахноидального кровоизлияния заключается в его интенсивности и продолжительности. Головная боль может быть такой силы, что пациент не в состоянии выполнять привычные повседневные задачи и даже проходить через обычные ритуалы, такие как умывание или одевание. Она может длиться от нескольких часов до нескольких дней, мешая нормальной жизни и вызывая сильное недомогание.

Но не все так плохо! Современная медицина предлагает эффективные методы лечения и облегчения симптомов цефалгического синдрома при нетипичных вариантах субарахноидального кровоизлияния. Врачи-неврологи и нейрохирурги специализируются именно на таких случаях и могут предложить индивидуальное лечение в зависимости от особенностей каждого пациента.

Лечение включает в себя применение специальных препаратов, расслабляющих сосуды и устраняющих спазмы мозговых сосудов, а также обезболивающих средств, которые помогут справиться с головной болью. В ряде случаев может потребоваться хирургическое вмешательство для устранения причины кровоизлияния.

Нетипичные варианты субарахноидального кровоизлияния и цефалгический синдром, вызванный этим состоянием, могут показаться страшными и неприятными, но современная медицина имеет средства для того, чтобы облегчить симптомы и улучшить качество жизни пациента.

Если у вас есть подозрения на цефалгический синдром или нетипичные варианты субарахноидального кровоизлияния, не откладывайте обращение к врачу! Раннее обнаружение и правильное лечение - залог скорейшего восстановления и возвращения к полноценной жизни! Обратитесь к специалистам, которые смогут дать вам квалифицированную помощь и всестороннюю поддержку в борьбе с этим волнующим заболеванием. Дайте себе шанс на счастливую и здоровую жизнь - вместе мы победим цефалгический синдром!