Добавить в корзинуПозвонить
Найти в Дзене

Из временного в красивое. Почти "Все на 4-х имплантах", титан-цирконий с итогами.

Здесь мы рассказываем про реальные зуботехнические работы, для ознакомления со спецификой работы зубного техника. А теперь весь путь длинной работы сначала: Снятый стоматологическим силиконом слепок временного протеза. После отливки из гипса новой рабочей модели по снятым индивидуальной ложкой данным был выполнен прикручиваемый прикусной шаблон. Первый прототип, определение соотношения челюстей было ошибочным, поэтому был изготовлен второй вариант. Во второй раз все прошло штатно, все показания оказались верными, дальше идём к следующему этапу. За особым предложением - нажимаем по ссылке - https://faberdent.com/removable_prosthetics/ - протезы от Доктора и Техника Стоматология и зуботехническая лаборатория "ФАБЕРДЕНТ"
Оглавление

Привет всем зашедшим на канал!


Здесь мы рассказываем про реальные зуботехнические работы, для ознакомления со спецификой работы
зубного техника.

А теперь весь путь длинной работы сначала:

Этап 1. Первоначальные слепки в индивидуальную ложку.

Снятый стоматологическим силиконом слепок временного протеза.

Первоначальный слепок временной конструкции.
Первоначальный слепок временной конструкции.

Этап 2. Из индивидуальной ложки в прикусной шаблон.

Снятый под рабочую модель оттиск.
Снятый под рабочую модель оттиск.

После отливки из гипса новой рабочей модели по снятым индивидуальной ложкой данным был выполнен прикручиваемый прикусной шаблон.

Этап 3. Прототип 1.

Первый прототип, определение соотношения челюстей было ошибочным, поэтому был изготовлен второй вариант.

Этап 4. Прототип 2.

Во второй раз все прошло штатно, все показания оказались верными, дальше идём к следующему этапу.

Этап 5. Изготовление циркония и облицовка керамикой.

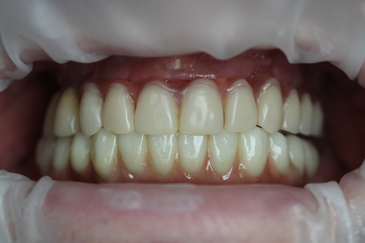
Этап 6. Фиксация.

Зафиксированная в полости рта работа.
Зафиксированная в полости рта работа.

Всем спасибо за внимание!

Далее будут разные клинические ситуации, их решение, в этапах или небольших постах/видео.

Если было интересно - будем рады обратной реакции.😊

За особым предложением - нажимаем по ссылке - https://faberdent.com/removable_prosthetics/ - протезы от Доктора и Техника

Стоматология и зуботехническая лаборатория "ФАБЕРДЕНТ"