Найти в Дзене
Пищевой Контролер

Детальный разбор колбасы из Светофора - Анком "Деликатесная"#16

Доброго времени суток дорогие читатели, предлагаем вашему вниманию детальный разбор под микроскопом колбасы из торговой сети Светофор! На данный разбор меня натолкнули многочисленные ролики обзоров продукции данного магазина различных блогеров в сети, а так же многочисленные споры среди моих знакомых и сотрудников на тему качества продукции в магазинах Светофор. Большинство абсолютно безапелляционно утверждают, что мясная продукция в светофоре низкого качества, которую употреблять опасно для здоровья, и вот набравшись терпения я решил возобновить публикации на моем канале! Мною была приобретена колбасная продукция ООО Анком. Данную колбасу я выбрал первой так как у нее многообещающий состав и минимальное количество добавок, и такой прекрасный продукт стоит всего около 400 рублей за килограмм (вернее такая цена была весной). Колбаса по внешнему виду похожа на краковскую, по вкусу оказалась приятной, отсутствовала излишняя жирность неприятно обволакивающая небо, как у подобного рода деше

Доброго времени суток дорогие читатели, предлагаем вашему вниманию детальный разбор под микроскопом колбасы из торговой сети Светофор! На данный разбор меня натолкнули многочисленные ролики обзоров продукции данного магазина различных блогеров в сети, а так же многочисленные споры среди моих знакомых и сотрудников на тему качества продукции в магазинах Светофор. Большинство абсолютно безапелляционно утверждают, что мясная продукция в светофоре низкого качества, которую употреблять опасно для здоровья, и вот набравшись терпения я решил возобновить публикации на моем канале!

Мною была приобретена колбасная продукция ООО Анком. Данную колбасу я выбрал первой так как у нее многообещающий состав и минимальное количество добавок, и такой прекрасный продукт стоит всего около 400 рублей за килограмм (вернее такая цена была весной). Колбаса по внешнему виду похожа на краковскую, по вкусу оказалась приятной, отсутствовала излишняя жирность неприятно обволакивающая небо, как у подобного рода дешевых колбас.

Ну что же давайте приступим к разбору:

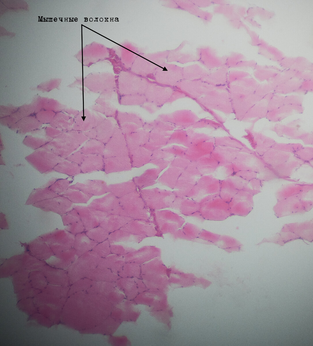
На фотографиях выше вы можете наблюдать сплошные поля мышечных волокон (мясо). Данную гистологическую картину я наблюдал во всех исследуемых кусочках, фрагменты мышечных волокон во всех исследуемых кусках занимали приблизительно 60-70% от общей массы. При этом сама структура мышечных волокон четкая с большим количеством сохранившихся ядер, что не может не радовать.

Жировая ткань
Жировая ткань

Второй по распространенности структурой является жировая ткань (сало, шпик), так же имеющая хорошую структуру. Шпик в данной колбасе при осмотре невооруженным глазом довольно больших размеров. Идем дальше!

Соединительная ткань
Соединительная ткань

Третьей структурой обнаруженной при исследовании является соединительная ткань. Справедливости ради скажу, что при гистологическом исследовании данный фрагмент мне попался в одном куске, но при макроскопическом (осмотре невооруженным глазом) исследовании колбасы на разрезах встречаются довольно большие фрагменты соединительной ткани.

Хрящ
Хрящ

Последней структурой обнаруженной в данной колбасе оказалась хрящевая ткань. Фрагмент хряща так же попался в одном из кусков, что может свидетельствовать о небольшом количестве данного "ингредиента" в общей массе колбасы!

Еще пару фото мышечных волокон:

На фотографиях выше вы можете наблюдать сплошные поля мышечных волокон занимающих все поле зрения!

Выводы: исследуемая колбаса очень приятно меня удивила, исходя из гистологической картины можно предполагать, что состав соответствует указанному производителем. Количество мяса в данной колбасе действительное большое. Жировая ткань так же имеет хорошую структуру, отсутствуют гнилостные изменения. Так же в колбасе присутствуют фрагменты соединительной ткани и хрящей, которые мы собственно наблюдали и в других колбасах. По сравнению с другими колбасами мне не попался ни один фрагмент соевого мяса. По вкусовым качествам колбаса тоже мне понравилась!