Добавить в корзинуПозвонить
Найти в Дзене

Реконструкция улыбки

Эстетическое преображение улыбки у пациента 38-ми лет, который до обращения в нашу клинику с запросом на идеальную эстетику, уже приложил достаточные усилия и начал подготовку зубов заранее. Начало было положено у другой клинике, где пациент прошел ортодонтическое лечение глубокого дистального прикуса на элайнерах. Важная особенность этого клинического случая, что изначальный глубокий дистальный прикус после просожалению, был сохранен. К нам пациент обратился спустя 2 месяца после окончания данного лечения. Поэтому, мы хотим подчеркнуть, что учитывали этот немаловажный фактор сохраненного неправильного прикуса и нам удалось немного этот недостаток скорректировать в процессе лечения, но уже ортопедического.
Помимо этого, хотим подчеркнуть, что все лечение проводилось по цифровому протоколу, то есть все слепки снимались цифровым методом с помощью 3D интраорального сканера комфортно, быстро, без неудобств, которые может доставлять слепочная масса. Начали мы лечение с полной диагностик

Эстетическое преображение улыбки у пациента 38-ми лет, который до обращения в нашу клинику с запросом на идеальную эстетику, уже приложил достаточные усилия и начал подготовку зубов заранее.

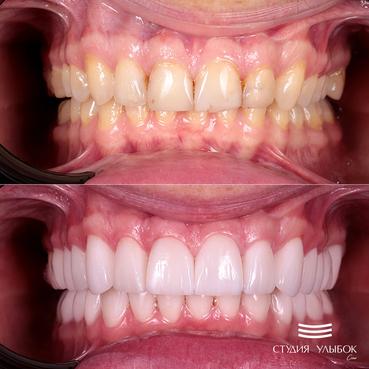
Обзор 'до" и "после" ортодонтического и терапевтического лечения зубов с примением эстетической реставрации зубов
Обзор 'до" и "после" ортодонтического и терапевтического лечения зубов с примением эстетической реставрации зубов
Обзор 'до" и "после" ортодонтического и терапевтического лечения зубов с примением эстетической реставрации зубов Добавьте описание
Обзор 'до" и "после" ортодонтического и терапевтического лечения зубов с примением эстетической реставрации зубов Добавьте описание
Обзор 'до" и "после" ортодонтического и терапевтического лечения зубов с примением эстетической реставрации зубов Добавьте описание
Обзор 'до" и "после" ортодонтического и терапевтического лечения зубов с примением эстетической реставрации зубов Добавьте описание

Начало было положено у другой клинике, где пациент прошел ортодонтическое лечение глубокого дистального прикуса на элайнерах. Важная особенность этого клинического случая, что изначальный глубокий дистальный прикус после просожалению, был сохранен.

К нам пациент обратился спустя 2 месяца после окончания данного лечения. Поэтому, мы хотим подчеркнуть, что учитывали этот немаловажный фактор сохраненного неправильного прикуса и нам удалось немного этот недостаток скорректировать в процессе лечения, но уже ортопедического.

Помимо этого, хотим подчеркнуть, что все лечение проводилось по цифровому протоколу, то есть все слепки снимались цифровым методом с помощью 3D интраорального сканера комфортно, быстро, без неудобств, которые может доставлять слепочная масса.

Обзор 'до" и "после" ортодонтического и терапевтического лечения зубов с примением эстетической реставрации зубов Добавьте описание
Обзор 'до" и "после" ортодонтического и терапевтического лечения зубов с примением эстетической реставрации зубов Добавьте описание
Обзор 'до" и "после" ортодонтического и терапевтического лечения зубов с примением эстетической реставрации зубов Добавьте описание
Обзор 'до" и "после" ортодонтического и терапевтического лечения зубов с примением эстетической реставрации зубов Добавьте описание
Обзор 'до" и "после" ортодонтического и терапевтического лечения зубов с примением эстетической реставрации зубов Добавьте описание
Обзор 'до" и "после" ортодонтического и терапевтического лечения зубов с примением эстетической реставрации зубов Добавьте описание

Начали мы лечение с полной диагностики, включая КЛКТ зубов верхней и нижней челюстей, височно и нижнечелюстных суставов, изготовили макеты зубов, включая WAX-UP и MOCK-UP. Помимо этого, мы установили временные коронки длительного ношения из материала PMMA, - это технические временные коронки для уточнения прикуса. И только после этого, учитывая все точные расчеты и пожелания пациента, мы перешли на этап постоянного протезирования.

Также, необходимо сказать о том, что у пациента ранее была установлена коронка на имплантате (зуб 26), которую мы заменили при протезировании.
В итоге, на фронтальную группу зубов нижней челюсти были установлены 10 виниров. На остальные зубы были установлены коронки и виниры’360 из прессованной керамики
E.Max. На жевательную группу зубов были установлены классические керамические коронки, поскольку большая часть зубов была депульпирована и некоторые зубы имели значительные реставрации, которые необходимо было закрыть и защитить.

Что касается эстетической формы зубов, то у пациента было желание сделать достаточно грубые квадратные зубы с выраженными клыками. В процессе ношения
MOCK-UP были проведены некоторые коррекции, согласно ощущениям и пожеланиям пациента.

Фото выполнены спустя неделю после фиксации. Как видите, за этот период, десна полностью восстановилась.

Такой непростой путь принес свои прекрасные плоды -
безупречную эстетику и преображение.

Вам понравился результат? Мы всегда благодарны вам за ваше мнение и лайки!

Лечащие врачи:
Наталья Федоровна Горбунова - врач стоматолог-терапевт, эндодонтист, микроскопист;
Завен Ашотович Терзян - врач стоматолог-ортопед, главный врач.

Наталья Федоровна Горбунова - врач стоматолог-терапевт, эндодонтист, микроскопист
Наталья Федоровна Горбунова - врач стоматолог-терапевт, эндодонтист, микроскопист
Завен Ашотович Терзян - врач стоматолог-ортопед, главный врач
Завен Ашотович Терзян - врач стоматолог-ортопед, главный врач

Эстетическая стоматология •СТУДИЯ УЛЫБОК•

📍г. Сочи, ул. Макаренко, 38

📲 +7-988-185-15-15

📆Ежедневно 09.00-21.00

Сайт клиники: https://susochi.ru/

Таплинк: https://taplink.cc/studiya.ulybok.sochi