Найти в Дзене

А я говорила...Самые частые ошибки пациентов, которые я вижу на приеме

Всем привет! Давно не показывала вам клинические случаи. Но каждый раз думаю на приеме: "о, вот этот случай интересный, надо будет о нем рассказать на Дзене, о и вот этот интересный, можно наглядно продемонстрировать частую проблему"..., но как всегда приходишь с работы домой и куча домашних дел, уроки с детьми, а еще надо почитать стоматологию и понеслась...и конечно забываю выложить то, что хотела... Но сегодня руки дошли...Расскажу пару случаев со вчерашнего приема. Мальчик, 12 лет. На приеме у меня впервые, до этого был у стоматолога последний раз 2 года назад. Обратился по острой боли, ночная боль в течении 2х дней. Ага, значит с пульпитом имеем дело, воспаленный нерв в зубе так себя и ведет. Там, где указывает, на зубе пломба, причем выглядит очень прилично, со слов мамы зуб лечили 3 года назад. Здесь уже под пломбой мы видим кариозную полость, которая дошла до нерва. Теперь нерв воспален и сигнализирует об этом острой болью. Что делать? Депульпировать зуб, то есть убирать нерв

Всем привет!

Давно не показывала вам клинические случаи. Но каждый раз думаю на приеме: "о, вот этот случай интересный, надо будет о нем рассказать на Дзене, о и вот этот интересный, можно наглядно продемонстрировать частую проблему"..., но как всегда приходишь с работы домой и куча домашних дел, уроки с детьми, а еще надо почитать стоматологию и понеслась...и конечно забываю выложить то, что хотела...

Но сегодня руки дошли...Расскажу пару случаев со вчерашнего приема.

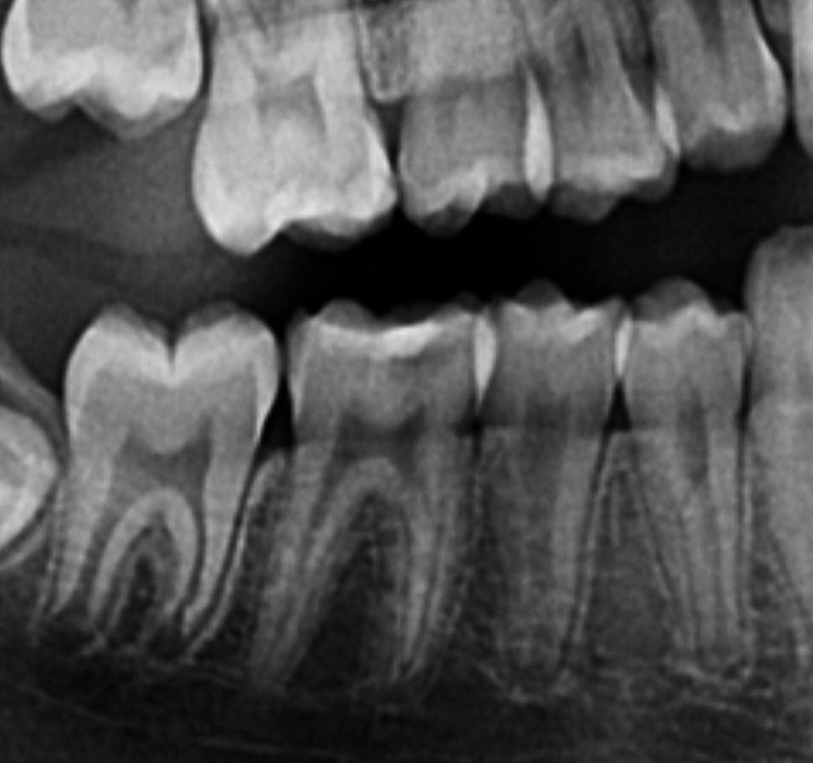
Мальчик, 12 лет. На приеме у меня впервые, до этого был у стоматолога последний раз 2 года назад. Обратился по острой боли, ночная боль в течении 2х дней. Ага, значит с пульпитом имеем дело, воспаленный нерв в зубе так себя и ведет. Там, где указывает, на зубе пломба, причем выглядит очень прилично, со слов мамы зуб лечили 3 года назад.

-2
здесь уточнила область, где проблема
здесь уточнила область, где проблема

Здесь уже под пломбой мы видим кариозную полость, которая дошла до нерва. Теперь нерв воспален и сигнализирует об этом острой болью. Что делать? Депульпировать зуб, то есть убирать нерв. И это для меня прям грусть-тоска. Когда приходится депульпировать детям постоянные зубы.

Представляете, всего 12 лет, а один зуб уже без нерва, а значит уже не будет иннервироваться и кровоснабжаться, и будет более хрупкий, и значит нужно будет ставить коронку.

Вывод: всем своим пациентам, и маленьким и взрослым, всегда советую раз в год делать у стоматолога общий снимок зубов -ортопантомографию. Потому что иногда оказываются вот такие сюрпризы под старыми пломбами.

И, конечно, водить детей на профосмотры раз в полгода. Если ничего не болит, это не значит, что все хорошо.

Можно ли было избежать пульпита в постоянном зубе у ребенка, если вовремя заметить? Думаю да.

Теперь второй случай.

Девочка, 9.5 лет. Наблюдается у меня, но не была на проф.осмотре с прошлого февраля, а значит тоже почти два года не виделись.

Здесь мы видим молочную пятерку, под ней зачаток нового зуба, и постоянную шестерку с кариозной полостью на боковой поверхности. Снаружи этот кариес опять же таки не видно. Если вы обратите внимание, эмаль (белая полоса над кариесом) достаточно плотная, через такую ее толщину кариес будет не видно до тех пор, пока он не станет огромным и эмаль над этой дырой не рухнет.

А если кариозная полость станет огромной, то там и до пульпита не далеко. Так что вовремя, как говорится, обнаружили.

-4
здесь уточнила область, где проблема
здесь уточнила область, где проблема

Первый вопрос, который я задала девочке и ее маме: "А между зубами чистите? Зубная нить, или флосс, или ершик, или ирригатор?"

Как думаете, какой ответ? Нет.

Так и не начали. Хоть я и говорила.

Выводы все те же: надо делать снимки хотя бы раз в год, раз в полгода приходить на профосмотр к стоматологу, и обязательно чистить межзубные промежутки. Возможно постоянный зуб был бы здоров.

Дорогие друзья! Лучшей наградой для меня будет ваша подписка, лайк и комментарий. Спасибо, что читаете! Желаю вам и вашим детям здоровых зубов!