Найти в Дзене

Что происходит, когда мы теряем сознание? Исследование выявило новые связи между мозгом и сердцем

Почти 40% людей хотя бы раз в жизни испытывают обмороки или обмороки. Эти кратковременные потери сознания, вызванные болью, страхом, жарой, гипервентиляцией или другими причинами, составляют значительную часть обращений в отделения неотложной помощи больниц. Тем не менее, точные основные механизмы, приводящие к тому, что люди «теряют сознание», по большей части остаются загадкой. Опубликовав новый отчет в журнале Nature , исследователи Калифорнийского университета в Сан-Диего вместе с коллегами из Исследовательского института Скриппса и других учреждений впервые определили генетический путь между сердцем и мозгом, связанный с обмороком. Один из их уникальных подходов заключался в том, чтобы думать о сердце как об органе чувств, а не придерживаться давней точки зрения, согласно которой мозг посылает сигналы, а сердце просто следует указаниям. Доцент Школы биологических наук Винет Августин, старший автор статьи, применяет различные подходы, чтобы лучше понять нейронные связи между сердце

Почти 40% людей хотя бы раз в жизни испытывают обмороки или обмороки. Эти кратковременные потери сознания, вызванные болью, страхом, жарой, гипервентиляцией или другими причинами, составляют значительную часть обращений в отделения неотложной помощи больниц. Тем не менее, точные основные механизмы, приводящие к тому, что люди «теряют сознание», по большей части остаются загадкой.

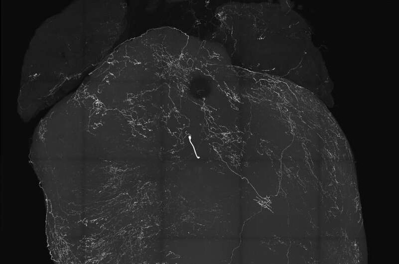
Изображение сердца, размеченное сенсорными нейронами блуждающего нерва. В новом исследовании, опубликованном в журнале Nature , исследователи из Калифорнийского университета в Сан-Диего и их коллеги обнаружили, что эти нейроны вызывают обмороки, закладывая основу для решения проблем, связанных с обмороками. Фото: Augustine Lab, Калифорнийский университет в Сан-Диего.
Изображение сердца, размеченное сенсорными нейронами блуждающего нерва. В новом исследовании, опубликованном в журнале Nature , исследователи из Калифорнийского университета в Сан-Диего и их коллеги обнаружили, что эти нейроны вызывают обмороки, закладывая основу для решения проблем, связанных с обмороками. Фото: Augustine Lab, Калифорнийский университет в Сан-Диего.

Опубликовав новый отчет в журнале Nature , исследователи Калифорнийского университета в Сан-Диего вместе с коллегами из Исследовательского института Скриппса и других учреждений впервые определили генетический путь между сердцем и мозгом, связанный с обмороком.

Один из их уникальных подходов заключался в том, чтобы думать о сердце как об органе чувств, а не придерживаться давней точки зрения, согласно которой мозг посылает сигналы, а сердце просто следует указаниям. Доцент Школы биологических наук Винет Августин, старший автор статьи, применяет различные подходы, чтобы лучше понять нейронные связи между сердцем и мозгом.

«Мы обнаружили, что сердце также посылает сигналы обратно в мозг, что может изменить функцию мозга », — сказал Августин. Информация, полученная в результате исследования, может быть полезна для лучшего понимания и лечения различных психиатрических и неврологических расстройств, связанных со связями между мозгом и сердцем, отмечают исследователи в своей статье. «Наше исследование является первой всесторонней демонстрацией генетически определенного сердечного рефлекса, который точно повторяет характеристики человеческого обморока на физиологическом, поведенческом уровне и уровне нейронной сети».

Августин вместе с научным сотрудником биологических наук Джонатаном Лавлейсом и аспирантом Джингруи Ма, первыми авторами статьи, и их коллегами изучали нервные механизмы, связанные с рефлексом Безольд-Яриша (BJR), сердечным рефлексом, впервые описанным в 1867 году. На протяжении десятилетий исследователи выдвигали гипотезу, что BJR, характеризующийся снижением частоты сердечных сокращений, артериального давления и дыхания, может быть связан с обмороком. Но информации для подтверждения этой идеи не хватало, поскольку нервные пути, участвующие в рефлексе, были недостаточно изучены.

Исследователи из Калифорнийского университета в Сан-Диего и сотрудничающих с ним учреждений подчеркнули огромные перекрестные помехи между сердцем и нервной системой. На видео видно, как сердечная деятельность резко замедляется из-за стимуляции сенсорных нейронов блуждающего нерва, что, как выяснилось, вызывает обмороки.

Исследователи сосредоточились на генетике сенсорного кластера, известного как узловые ганглии, который является частью блуждающих нервов, передающих сигналы между мозгом и внутренними органами, включая сердце. В частности, сенсорные нейроны блуждающего нерва, или VSN, передают сигналы в ствол мозга и, как полагают, связаны с BJR и обмороками. В поисках нового нервного пути они обнаружили, что VSN, экспрессирующие нейропептид Y-рецептор Y2 (известный как NPY2R), тесно связаны с хорошо известными реакциями BJR.

Изучая этот путь на мышах, исследователи были удивлены, обнаружив, что когда они активно запускали VSN NPY2R с помощью оптогенетики, метода стимуляции и контроля нейронов, мыши, которые свободно передвигались, сразу теряли сознание. Во время этих эпизодов они записывали данные тысяч нейронов в мозгу мышей, а также сердечную деятельность и изменения черт мордочки, включая диаметр зрачков и шевеление.

Они также использовали машинное обучение несколькими способами для анализа данных и выявления интересующих особенностей. Исследователи обнаружили, что после активации нейронов NPY2R у мышей наблюдалось быстрое расширение зрачков и классическое «закатывание глаз», наблюдаемое во время обморока у человека, а также снижение частоты сердечных сокращений, артериального давления и частоты дыхания. Они также измерили снижение притока крови к мозгу.

«Мы были потрясены, когда увидели, как их глаза закатились примерно в то же время, когда мозговая активность резко упала», — сообщили исследователи в обзоре статьи. «Затем, через несколько секунд, мозговая активность и движение вернулись. Это был момент нашего открытия, эврики».

-2

Дальнейшие испытания показали, что когда у мышей удалили VSN NPY2R, состояния BJR и обморока исчезли. Предыдущие исследования показали, что обмороки вызваны снижением мозгового кровотока, что также подтвердилось в новом исследовании, но новые данные показали, что важную роль может играть сама активность мозга. Таким образом, полученные данные предполагают активацию недавно генетически идентифицированных VSN и их нервных путей не только с помощью BJR, но и более централизованно в общей физиологии животных, определенных сетях мозга и даже в поведении.

Раньше такие выводы было трудно сделать, поскольку нейробиологи изучают мозг, а кардиологи изучают сердце, но многие делают это изолированно друг от друга. «Нейробиологи традиционно считают, что тело просто следует за мозгом, но теперь становится совершенно ясно, что тело посылает сигналы в мозг, а затем мозг меняет функции», — сказал Августин.

В результате своих выводов исследователи хотели бы продолжить отслеживать точные условия, при которых активируются сенсорные нейроны блуждающего нерва.

«Мы также надеемся более внимательно изучить мозговой кровоток и нервные пути в мозге в момент обморока, чтобы лучше понять это распространенное, но загадочное состояние», — отмечают они.

Кроме того, они надеются использовать свои исследования в качестве модели для разработки целенаправленного лечения состояний, связанных с обмороками.

Дополнительная информация: Джонатан В. Лавлейс и др., Сенсорные нейроны блуждающего нерва опосредуют рефлекс Безольда-Яриша и вызывают обмороки, Nature (2023). DOI: 10.1038/s41586-023-06680-7