Добавить в корзинуПозвонить
Найти в Дзене

Что такое флюороз зубов и как он влияет на нашу улыбку?

Мы все хотим иметь красивую и здоровую улыбку, ведь она является одним из наших самых ярких и важных атрибутов. Однако, иногда различные проблемы могут повлиять на внешний вид наших зубов, включая такой диффузный заболевание, как флюороз зубов. Флюороз зубов - это структурное изменение зубов, вызванное избытком поглощения фторидов во время формирования зубной эмали. В основном это происходит во время детского возраста, когда молочные и постоянные зубы только начинают формироваться. ❓ Что вызывает флюороз зубов? Главная причина этого заболевания - избыток фтора в организме. Он является неотъемлемым элементом для здоровья зубов, поскольку способствует их укреплению и защите от кариеса. Однако, если дети потребляют слишком много фтора, например, из-за неправильного использования фторсодержащих зубных паст или употребления фторированной воды - это может привести к развитию флюороза. Симптомы флюороза зубов могут быть различными и варьироваться от легкой до средней степени в зависимо

Мы все хотим иметь красивую и здоровую улыбку, ведь она является одним из наших самых ярких и важных атрибутов. Однако, иногда различные проблемы могут повлиять на внешний вид наших зубов, включая такой диффузный заболевание, как флюороз зубов.

Флюороз зубов - это структурное изменение зубов, вызванное избытком поглощения фторидов во время формирования зубной эмали. В основном это происходит во время детского возраста, когда молочные и постоянные зубы только начинают формироваться.

❓ Что вызывает флюороз зубов? Главная причина этого заболевания - избыток фтора в организме. Он является неотъемлемым элементом для здоровья зубов, поскольку способствует их укреплению и защите от кариеса. Однако, если дети потребляют слишком много фтора, например, из-за неправильного использования фторсодержащих зубных паст или употребления фторированной воды - это может привести к развитию флюороза.

-2

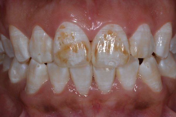
Симптомы флюороза зубов могут быть различными и варьироваться от легкой до средней степени в зависимости от того, насколько сильно затронуты зубы. Чаще всего, зубы с флюорозом имеют коричневую пятнистую поверхность,, неровности и ощущения шероховатости на поверхности зубов.

-3

Для улучшения внешнего вида зубов с флюорозом потребуется прежде всего, обратиться к стоматологу, который сможет оценить степень повреждения и назначить необходимое лечение.
Кроме того, важно обратить внимание на правильное уход за зубами. Исключить использование фторсодержащих зубных паст и ополаскивателей,это может помочь предотвратить дальнейшее развитие флюороза. В этих случаях рекомендуется использование зубных паст содержащих кальций и фосфор.

Важно понимать, что флюороз зубов - это не приговор и в большинстве случаев может быть исправлен.Флюороз - это всего лишь одна из множества проблем, с которыми мы можем столкнуться в своей жизни.

Поэтому важно помнить что самая красивая улыбка сияет изнутри передавая вам уверенность и радость всем окружающим.

Спасибо.Всем добра и здоровья.