Добавить в корзинуПозвонить
Найти в Дзене
Башкортостан 24

В Башкирии врачи вырезали из печени женщины пузырь с ленточными червями

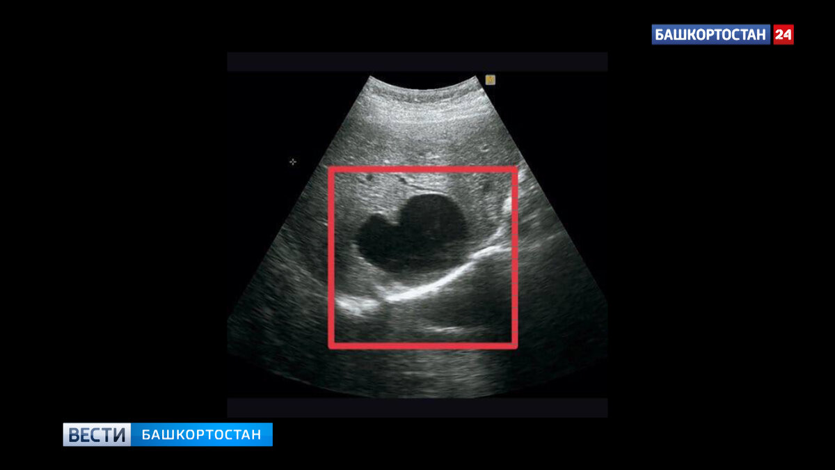
Женщину успешно прооперировали в РКБ им. Куватова. Ленточный червь образовал в печени жительницы Башкирии пузырь с паразитами. Он увеличивался в размерах и мог лопнуть, тогда паразиты проникли бы в кровеносную систему и полностью отравили организм. Однако, этого не случилось, благодаря своевременно оказанной врачебной помощи. О редком случае заболевания под названием эхинококкоз в своем телеграм-канале рассказал руководитель Минздрава РБ Айрат Рахматуллин. "Во время работы врачебного десанта в деревне Кинья-Абыз, специалист ультразвуковой диагностики городской больницы Кумертау Ирина Сычева проводила плановый осмотр пациентов. Во время исследования у одной из женщин была обнаружена киста в печени размером 70х50 мм. Врач заподозрила эхинококкоз и направила пациентку на дообследование, где диагноз подтвердился", — рассказал министр. Известно, что эхинококкоз протекает довольно медленно. От момента заражения до первых проявлений заболевания может пройти несколько месяцев или даже лет. Поэ
   В Башкирии врачи вырезали из печени женщины пузырь с ленточными червями
В Башкирии врачи вырезали из печени женщины пузырь с ленточными червями

Женщину успешно прооперировали в РКБ им. Куватова.

Ленточный червь образовал в печени жительницы Башкирии пузырь с паразитами. Он увеличивался в размерах и мог лопнуть, тогда паразиты проникли бы в кровеносную систему и полностью отравили организм. Однако, этого не случилось, благодаря своевременно оказанной врачебной помощи.

О редком случае заболевания под названием эхинококкоз в своем телеграм-канале рассказал руководитель Минздрава РБ Айрат Рахматуллин.

"Во время работы врачебного десанта в деревне Кинья-Абыз, специалист ультразвуковой диагностики городской больницы Кумертау Ирина Сычева проводила плановый осмотр пациентов. Во время исследования у одной из женщин была обнаружена киста в печени размером 70х50 мм. Врач заподозрила эхинококкоз и направила пациентку на дообследование, где диагноз подтвердился", — рассказал министр.

Известно, что эхинококкоз протекает довольно медленно. От момента заражения до первых проявлений заболевания может пройти несколько месяцев или даже лет. Поэтому большинство пациентов своевременно не обращаются к врачу — они просто не знают, что в их печени поселился паразит. Своевременное обследование помогло избежать печальных последствий. Ведь киста постепенно разрастается, что приводит к сдавливанию тканей, а это может спровоцировать разрыв. Когда это происходит, паразит оказывается в кровеносной системе и распространяется по всем органам и тканям.

Женщину успешно прооперировали в РКБ им. Куватова и выписали в удовлетворительном состоянии.

--------------------------

Присоединяйтесь к калалу Башкортостан 24 в Дзен и будьте в курсе всех последних новостей и событий, происходящих в Уфе и Башкирии!

Мы предлагаем Вам свежие выпуски передач производимые холдингом ГТРК «Башкортостан».