Добавить в корзинуПозвонить
Найти в Дзене

Как мой снимок попал в коллекцию больницы

Это было более 10 лет назад, заканчивала я 4й класс. Наступило лето, пора каникул. Что бы меня отпустили гулять мне надо было убрать свою комнату, а делать я этого не хотела. И просто напросто просиживала время которое могла бы потратить с пользой, и игралась с ключом от комнаты. Сидя на кровати я взяла альбом для рисования и решила посмотреть сколько листов изрисовано и что там за рисунки, параллельно беру в рот ключ (а он такой имеет приятный металический привкус) и тут слышу как поднимается в комнату мама, от страха я резко втягиваю воздух и подрываюсь с кровати (убирать то должна в комнате) и случайно необъяснимым до сих пор образом проглатываю ключ. Я в панике, маме сразу об этом не говорю, боюсь что может меня наказать за то что страдала фигней вместо того чтобы убирать да и к тому же проглотила ключ. Бегаю в туалет через каждые пять минут, так как он застрял по пути в желудок, а водой я пыталась его протолкнуть дальше так как очень не приятные ощущения были. Спустя небольшое кол

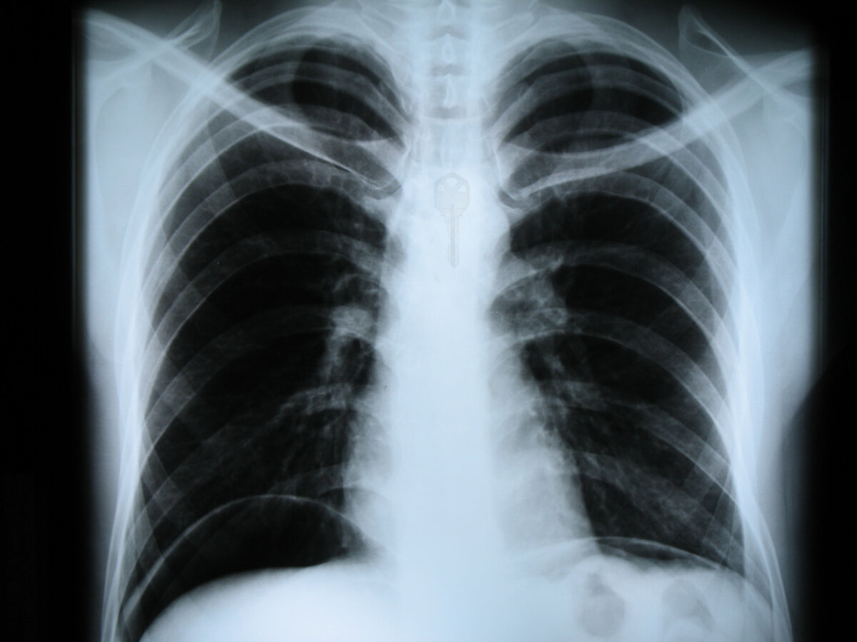
Это было более 10 лет назад, заканчивала я 4й класс. Наступило лето, пора каникул. Что бы меня отпустили гулять мне надо было убрать свою комнату, а делать я этого не хотела. И просто напросто просиживала время которое могла бы потратить с пользой, и игралась с ключом от комнаты. Сидя на кровати я взяла альбом для рисования и решила посмотреть сколько листов изрисовано и что там за рисунки, параллельно беру в рот ключ (а он такой имеет приятный металический привкус) и тут слышу как поднимается в комнату мама, от страха я резко втягиваю воздух и подрываюсь с кровати (убирать то должна в комнате) и случайно необъяснимым до сих пор образом проглатываю ключ. Я в панике, маме сразу об этом не говорю, боюсь что может меня наказать за то что страдала фигней вместо того чтобы убирать да и к тому же проглотила ключ. Бегаю в туалет через каждые пять минут, так как он застрял по пути в желудок, а водой я пыталась его протолкнуть дальше так как очень не приятные ощущения были. Спустя небольшое количество времени, мама заметила мои метания, и начала спрашивать что случилось, я захлебываясь слезами говорит что проглотила ключ от комнаты. Мама в шоке смеясь заводит меня в комнату и говорит папе, что меня может лучше перекрасить (была блондинкой) , папа уже привык что со мной постоянно что то случается, спрашивает что на этот раз, мама рассказывает и доужинав папа со мной собирается и едет в горбольницу. Там меня уже все знают, ждут пока еще с распростертыми руками😂 делают рентген и показывают моим родителям, на рентгене такое ощущение как будто ключик у меня на шее на веревке весит. Оставляют меня до вечера , родителям говорят что нужен гастроэнтеролог и зонд, через который можно проверить на каком этапе и где находится ключ, а гастроэнтеролог будет только через несколько дней, предлагают повезти меня в Симферополь в детскую больницу. Едем значит в Симферополь с Ялты на машине, приезжаем очень поздно в больницу, места в детском отделении все заняты, мне нашли какую то детскую кровать и поставили в одной из палат. Провела я пару дней в больнице, сделали мне проверку этим зондом, обнаружили гастрит, и сказали что ключ уже попал в желудок так как в пищеводе его уже нет, и есть вероятность что выйдет естественным путем. Сделав через несколько дней конечный рентген, нигде его не обнаружили, меня выписали и я отправилась домой. И это не последний мой визит в больницы