Добавить в корзинуПозвонить
Найти в Дзене

Трещина в зубе от кариеса

Доброго времени суток, дорогие друзья! Если Вам понравится этот пост поставьте лайк👍 и напишите своё мнение или вопрос в комментариях. Так я буду понимать, что информация полезная, интересная и актуальная. Это будет мотивировать меня описывать для Вас все нюансы и сложности, с которыми мы сталкиваемся в работе. Пациент обратился с жалобами на появление шишечки на десне. Исходная ситуация: После изучения снимка и очистки зуба ультразвуком стало понятно, что под старой пломбой кариозный процесс, который напоминает червивое яблоко. Кажется, что свиду цел, а внутри червяк поел. После снятия пломбы (вскрытие показало) я увидел трещину в дистальном корне: А всему виной явился вторичный кариес из-за него ткани зуба внутри стали полыми(пустыми) и при нагрузке (при пережёвывании пищи) возникла трещина корня. Я нанёс раствор кариесиндикатора. И розовым остались прокрашены ткани, которые поражены. От трещины корня, началось микровоспаление в близлежащей костной ткани и это привело к образова

Доброго времени суток, дорогие друзья!

Если Вам понравится этот пост поставьте лайк👍 и напишите своё мнение или вопрос в комментариях. Так я буду понимать, что информация полезная, интересная и актуальная. Это будет мотивировать меня описывать для Вас все нюансы и сложности, с которыми мы сталкиваемся в работе.

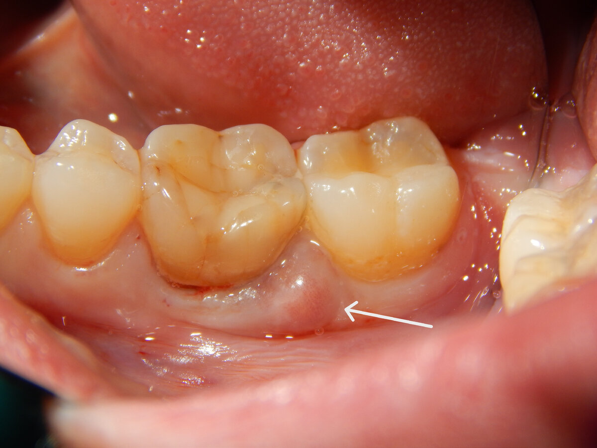
Пациент обратился с жалобами на появление шишечки на десне.

Исходная ситуация:

-2

После изучения снимка и очистки зуба ультразвуком стало понятно, что под старой пломбой кариозный процесс, который напоминает червивое яблоко. Кажется, что свиду цел, а внутри червяк поел.

-3

После снятия пломбы (вскрытие показало) я увидел трещину в дистальном корне:

-4

А всему виной явился вторичный кариес из-за него ткани зуба внутри стали полыми(пустыми) и при нагрузке (при пережёвывании пищи) возникла трещина корня.

Я нанёс раствор кариесиндикатора. И розовым остались прокрашены ткани, которые поражены.

-5

От трещины корня, началось микровоспаление в близлежащей костной ткани и это привело к образованию шишечки с щёчной стороны. Инфекция нашла выход по пути наименьшего сопротивления в щёку.

Чем то это напоминает периодонтит, но все-таки это немного другое.

То есть у пациента по факту была хроническая травма, некоторое время.

Каждый раз когда приходила (на этот треснувший зуб) жевательная нагрузка, фрагменты распирали костную ткань и микроорганизмы просачивались в костное русло.

Каким-то образом склеить это обратно малореально, хотя я знаю одного доктора, который возможно сохранил бы и такой зуб, но я не уверен в его дальнейшем прогнозе и гарантии того, что он ещё бы долго прослужил.

К сожалению на этом, история данного зуба закончилась и началась история одного имплантата.

-6

Что можно было сделать, чтобы не было подобной ситуации?

Как минимум укрепить зуб стекловолоконным штифтом/штифтами и только после этого устанавливать пломбу.

Такие массивные пломбы (которые занимают 2/3 поверхности зуба) рекомендуют менять на керамические накладки, полукоронки, коронки, чтобы:

а) хорошо восстановить жевательную эффективность и правильную анатомию утраченных тканей;

б) уменьшить риск неправильной жевательной нагрузки и потенциальной трещины или перелома зуба;

Подробнее о вкладках можно прочитать здесь.

Ставьте лайк👍, если публикация была полезной.

Подписывайтесь на канал. ✅

Всем здоровья!

P.s.если есть вопросы - пишите комментарии📝

С уважением, доктор Ижмукóв

Виталий Владимирович.

_________________________________________

Контактная информация:

+79370634232

vk.com/talich