Добавить в корзинуПозвонить
Найти в Дзене

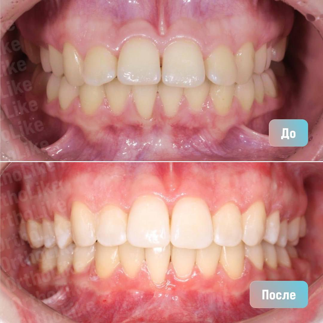
Третье ортодонтическое лечение у пациента с дистальным прикусом: кейс врача-ортодонта OrthoLike Ольги Дудиной

Правильно составленное и выполненное ортодонтическое лечение поможет достичь максимально функциональной и эстетически приятной улыбки. При этом окончательный результат зависит не только от особенностей каждого пациента, но и от квалификации доктора. Скажите, проходили ли вы ортодонтическое лечение? Получили при этом желаемый результат или проблема осталась нерешенной? В клинику OrthoLike с жалобой на неправильный прикус и выступание передних зубов обратилась пациентка. При этом девушка уже прошла два безрезультатных ортодонтических лечения на брекетах в других клиниках. При анализе зубочелюстной системы специалист выявил: Ортодонт предложил девушке на выбор 2 варианта лечения: В конечном итоге было решено использовать комбинированный метод лечения. То есть ортолечение в комплексе с ортогнатической операцией. Такой метод коррекции заключается в трех этапах: ортодонтическая подготовка пациента к операции, ортогнатическая операция и постоперационный период. Для первого этапа использовали

Правильно составленное и выполненное ортодонтическое лечение поможет достичь максимально функциональной и эстетически приятной улыбки. При этом окончательный результат зависит не только от особенностей каждого пациента, но и от квалификации доктора.

Скажите, проходили ли вы ортодонтическое лечение? Получили при этом желаемый результат или проблема осталась нерешенной?

-2

В клинику OrthoLike с жалобой на неправильный прикус и выступание передних зубов обратилась пациентка. При этом девушка уже прошла два безрезультатных ортодонтических лечения на брекетах в других клиниках.

При анализе зубочелюстной системы специалист выявил:

  • сужение верхнего ряда зубов;
  • дистальный прикус, при котором верхние зубы располагались кпереди по отношению к нижним зубам;
  • выраженный наклон передних зубов.
-3

Ортодонт предложил девушке на выбор 2 варианта лечения:

  1. ортодонтическое лечение в комплексе с ортогнатической операцией;
  2. ортодонтическое лечение без операции, но при этом с применением дистального корректора прикуса, которым являются аппарат Форсус или Гербст.
-4

В конечном итоге было решено использовать комбинированный метод лечения. То есть ортолечение в комплексе с ортогнатической операцией.

-5

Такой метод коррекции заключается в трех этапах: ортодонтическая подготовка пациента к операции, ортогнатическая операция и постоперационный период.

-6

Для первого этапа использовались внутренние брекеты. При этом срок лечения составил 2 года, в результате которого был исправлен наклон верхних резцов. Этим специалист полностью удовлетворил основную жалобу пациентки. Также было восстановлено анатомически правильное смыкание зубов и улучшена эстетика улыбки. Теперь мы уверены, что третье ортодонтическое лечение для этой пациентки будет завершающим и полностью закроет все имеющиеся проблемы.

-7

Клиника OrthoLike — 1-й в РФ бренд эталонной ортодонтии и сопровождающей стоматологии для разных поколений. В 90% случаев мы исправляем прикус без операции. При этом по желанию пациента и в зависимости от поставленной цели, наши ортодонты могут грамотно организовать работу и эффективно сотрудничать с хирургами.