Добавить в корзинуПозвонить
Найти в Дзене

All-on-4, всё на 6-ти. Клинический случай.

Доброго времени суток, дорогие друзья! Если Вам понравится этот пост поставьте лайк👍 и напишите своё мнение или вопрос в комментариях. Так я буду понимать, что информация полезная, интересная и актуальная. Это будет мотивировать меня описывать для Вас все нюансы, с которыми я сталкиваюсь в повседневной работе и как их решаю. Вкратце, о сути методики all-on-4. Глобально состоит из 3-х этапов: Одна хирургическая операция и два протезирования (временное и постоянное). После анестезии и отслаивания десны, хирург выравнивает челюстную кость (делает её редукцию/спиливание), затем сверлит "дырочки" ложе под имплантаты и устанавливает их, в том объеме костной ткани, которая имеется у пациента. Далее устанавливает ортопедические компоненты (мультиюниты, защитные колпачки). И дальше протезированием пациента занимается ортопед. Подробнее с этой методикой и прочитать про все плюсы/минусы, нюансы можно ознакомиться здесь. !Боковые имплантаты устанавливают под углом (наклоном), в обход анатомическ

Доброго времени суток, дорогие друзья!

Если Вам понравится этот пост поставьте лайк👍 и напишите своё мнение или вопрос в комментариях. Так я буду понимать, что информация полезная, интересная и актуальная. Это будет мотивировать меня описывать для Вас все нюансы, с которыми я сталкиваюсь в повседневной работе и как их решаю.

Вкратце, о сути методики all-on-4. Глобально состоит из 3-х этапов:

Одна хирургическая операция и два протезирования (временное и постоянное).

После анестезии и отслаивания десны, хирург выравнивает челюстную кость (делает её редукцию/спиливание), затем сверлит "дырочки" ложе под имплантаты и устанавливает их, в том объеме костной ткани, которая имеется у пациента. Далее устанавливает ортопедические компоненты (мультиюниты, защитные колпачки). И дальше протезированием пациента занимается ортопед.

Подробнее с этой методикой и прочитать про все плюсы/минусы, нюансы можно ознакомиться здесь.

!Боковые имплантаты устанавливают под углом (наклоном), в обход анатомических отверстий (верхнечелюстная пазуха и нижнечелюстной нерв), чтобы их не повредить.

Добавьте описание
Добавьте описание

И в этот же день или в ранний период (до 10 дней) ортопед устанавливает временные несъемные протезы на имплантаты. Это называется немедленной нагрузкой. То есть установка ортопедической конструкции производится на еще неприжившиеся неостеоинтегрированные имплантаты, которые держатся в костной ткани чисто механически за счёт своей резьбы.

В данной статье просто поделюсь с Вами результатами работы до, на этапе и после и напишу про некоторые сложности, с которыми нам пришлось столкнуться в процессе лечения.

Так выглядел пациент до лечения. Кажется, что всё неплохо. Отсутствует 1 зуб во «фронте». Начинаем "копать глубже"...

Внутриротовые фото. Как оказывается не хватает не только одного зуба наверху (пациент его достал сам потому что тот уже качался и держался "на ниточке" в десне). Отсутствуют ещё жевательные зубы снизу справа.
Внутриротовые фото. Как оказывается не хватает не только одного зуба наверху (пациент его достал сам потому что тот уже качался и держался "на ниточке" в десне). Отсутствуют ещё жевательные зубы снизу справа.
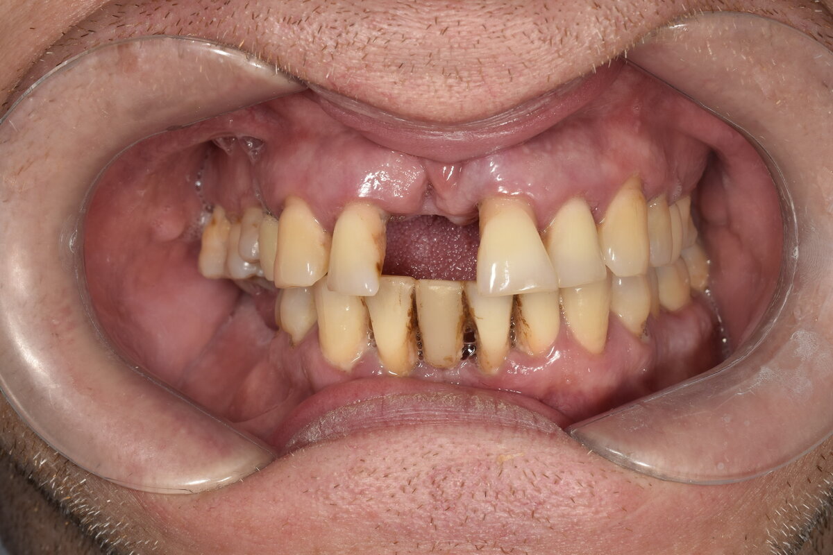
Фото верхней челюсти. Оголение корней, убыль кости и десны, подвижность зубов, кровоточивость, неприятный запах, повышенная чувствительность при приёме холодной/горячей пищи. Таковы жалобы пациента.
Фото верхней челюсти. Оголение корней, убыль кости и десны, подвижность зубов, кровоточивость, неприятный запах, повышенная чувствительность при приёме холодной/горячей пищи. Таковы жалобы пациента.
Фото нижней челюсти. Проволока сзади зубов была сделана ранее другими специалистами, чтобы хоть как-то удерживать подвижные зубы. Решение паллиативно-консервативное, т.е. проблема не была решена.
Фото нижней челюсти. Проволока сзади зубов была сделана ранее другими специалистами, чтобы хоть как-то удерживать подвижные зубы. Решение паллиативно-консервативное, т.е. проблема не была решена.

После углубленной диагностики, кт снимка, осмотра смежными специалистами (пародонтологом и ортопедом), было выявлено, что у пациента генерализованный пародонтит на обеих челюстях, это видно на оптг снимке ниже. То есть вокруг всех оставшихся зубов идёт патологический процесс, сопровождающийся разрушением костной ткани.

ОПТГ (панорамный) снимок. Видим, что большинство зубов верхней челюсти находятся на 1/3. На нижней челюсти ситуация похожая.
ОПТГ (панорамный) снимок. Видим, что большинство зубов верхней челюсти находятся на 1/3. На нижней челюсти ситуация похожая.

Особенности течения таких генерализованных процессов заключается в том, что они не останавливаются, пока зубы на месте.

Микроорганизмы живут в патологических пародонтологических карманах, эта микрофлора достаточно агрессивна, в процессе своей жизнедеятельности она разрушает костную ткань вокруг, т.е. имеется хроническое воспаление. Подобные процессы можно приостановить, делая постоянные чистки зубов у гигиениста, операции по закрытому и открытому кюретажу у пародонтолога. И можно ввести заболевание в, так называемую, ремиссию, но это всё паллиативно-консервативное лечение. Вычистить эту инфекцию, засевшую в комфортной среде, на 100 % невозможно никаким образом. То есть по сути, если избрать консервативный путь, то мы оттягиваем решение проблемы на какое-то время (пока у пациента все зубы не расшатаются и сами не выпадут).

Пациентам, конечно, сложно психологически решиться удалить все зубы, с виду здоровые, пусть и подвижные.

Но потеря времени грозит ухудшением условий (убыванием) костной ткани ещё в бОльшем размере, объёме. А если костной ткани нет, импланты установить без дополнительных манипуляций по наращиванию костной ткани сложно, иногда невозможно. Одно тянет за собой другое.

С пациентом, мы обсудили все нюансы, перспективы и совместно приняли радикальное, но единственно верное решение и план лечения:

1. Один хирургический этап. Я удаляю все зубы и сразу же устанавливаю имплантаты по методике all-on-4 на верхней челюсти и all in 6 на нижней челюсти.

2. Ортопедический этап. Ортопед снимает слепки, отдаёт в лабораторию, изготавливают временные каркасные (усиленные) протезы и устанавливает несъемные конструкции пациенту.

На верхней челюсти мы установили 4 имплантата Nobel Biocare, на нижней 6 имплантатов Osstem.

Забегая вперёд, после удаления зубов и первого сверления я понял, что костная ткань очень мягкая по своей структуре. Этот факт напрямую влияет на первичную стабилизацию имплантатов (это практически самый главный момент в этой методике).

На 100% предугадать невозможно обретут имплантаты первичную стабильность или нет (если только не использовать крайне агрессивные имплантаты по своему макродизайну). Когда хирург смотрит кт снимок и анализирует тип костной ткани (их кстати 4 по классификации Карла Миша) потенциально может предположить, что клиническая ситуация позволяет стабилизировать импланты или наоборот (при типе костной ткани D 4) могут быть сложности и возможно понадобится запасной план Б.

Добавьте описание
Добавьте описание

На верхней челюсти костная ткань по своей анатомии более пористая, мягкая, чем костная ткань на нижней челюсти. Влияет очень на плотность кости и принимаемые препараты пациентом, что тоже нужно учитывать при планировании такого лечения.

Вернемся к нашему пациенту. На верхней челюсти мы добились торка (нужного усилия имплантата в костной ткани для немедленной нагрузки). Пусть торк был небольшой (примерно 30-35 Нсм), но его было достаточно для фиксации будущей несъемной конструкции сразу после операции.

А вот на нижней челюсти была костная ткань как «масло». Имплантаты даже после первого сверла не стабилизировалась в боковых участках челюсти. Я провел несколько попыток зафиксировать имплантаты в разных местах, но нигде нужных значений торка не получилось достичь.

Поэтому наше планирование ударилось о жесткие реалии жизни индивидуальные особенности организма, а именно мягкой, пористой, костной ткани на нижней челюсти. Да, все мы разные и имеем индивидуальные особенности. Да и хирургия не такая простая как кажется многим со стороны…

"Все в хирургии сложно до того момента, пока не научишься делать это хорошо, тогда полегче" (Robert E. Condon)

Итак план Б. Мы прибегаем к нему в крайнем случае, как наша ситуация. Когда стабилизировать имплантаты не удалось. По сути это переход к классической имплантации. Когда мы просто ушиваем импланты, до момента их остеоинтеграции (приживления).

На имплантаты нижней челюсти я установил заглушки и зашил десну. Снизу пациенту изготовили съёмный протез до момента остеоинтеграции (приживления имплантатов). На это уходит в среднем ~2,5-3 месяца.

На верхней челюсти я сразу установил мультиюниты и защитные колпачки.

Далее пациент последовал к ортопеду на снятие слепков.

Фото оптг снимка после фиксации конструкции. На верхней челюсти между имплантами определяется  каркас внутри конструкции протеза.
Фото оптг снимка после фиксации конструкции. На верхней челюсти между имплантами определяется каркас внутри конструкции протеза.

Через несколько дней пациенту ортопед изготовил и установил несъемный временный протез на верхнюю челюсть (видно, что десна ещё не зажила полностью и определяются швы) и съемный протез на нижнюю челюсть. Выглядит в полости рта это вот так:

Верхняя челюсть - несъёмный временный протез, нижняя челюсть - временный съёмный протез ~ на 3 месяца.
Верхняя челюсть - несъёмный временный протез, нижняя челюсть - временный съёмный протез ~ на 3 месяца.
Вид несъёмного временного протеза, фиксированного к имплантатам с жевательной поверхности после операции прошло 5 дней. Видны выходы шахт имплантатов и мультиюнитов на протезе в области 16,12,22,26 зубов, которые залиты композитом.
Вид несъёмного временного протеза, фиксированного к имплантатам с жевательной поверхности после операции прошло 5 дней. Видны выходы шахт имплантатов и мультиюнитов на протезе в области 16,12,22,26 зубов, которые залиты композитом.
Вид съёмного временного протеза на нижней челюсти с жевательной поверхности.
Вид съёмного временного протеза на нижней челюсти с жевательной поверхности.

С этими временными конструкциями мы отпустили пациента на 3 месяца.

Потом встретились и приступили к финальному этапу плана Б - раскрытию имплантатов на нижней челюсти.

Сделал анестезию, разрез, откинул лоскут, обнаружил интегрированные импланты. Некоторые пришлось "откапывать", так как они заросли костной тканью сверху. Но это лучше, чем когда имплант торчит вне костной ткани. Установил мультиюниты и защитные колпачки, зашил.

В это же посещение, ортопед скорректировал съемный временный протез на нижней челюсти под "новые условия", а именно выпирающие защитные колпачки. Пациента отпустили на 10 дней «заживлять десну».

После периода заживления я снял швы, а ортопед снял слепки под постоянные несъемные протезы, точнее условно - съемные на винтовой фиксации (снять эти протезы можно только в условиях клиники специалистом).

Через некоторое время были изготовлены и зафиксированы новые конструкции.

Финальная работа в полости рта выглядит вот так:

Внутриротовые фото.
Внутриротовые фото.
Фото с жевательной поверхности верхней челюсти.
Фото с жевательной поверхности верхней челюсти.
Фото с жевательной поверхности нижней челюсти.
Фото с жевательной поверхности нижней челюсти.

До / после :

До / после
До / после

Результат работы превосходный! Очень сложно отличить от своих собственных зубов.

Да, стоит отметить, что на постоянных протезах сделан укорочённый зубной ряд. То есть заканчивается шестыми зубами (всего зубов 12 на одной челюсти и 12 на другой). На мой взгляд, техник пожадничал, мог в этой клинической ситуации сделать протезы по 7 зубы, то есть полноценный зубной ряд из 28 зубов. Расстановка имплантатов позволяла это сделать.

Чаще всего при таких аналогичных работах укорочённый зубной ряд это обычное явление и считается "нормой". Так как шахты имплантов обычно выходят между 4 и 5 зубом, в нашем случае они выходят в области 6-ых зубов. Подвесная часть не может быть слишком большой (по рекомендации производителя имплантатов), чтобы боковые имплантаты не несли чрезмерную жевательную нагрузку.

Если пациент хочет полноценный зубной ряд по 7-ые зубы, то нужно устанавливать минимум 6 имплантатов на одной челюсти и 6 имплантов на другой челюсти. Чтобы было равномерное распределение жевательной нагрузки и не было больших консолей самого протеза. Так исключается риск отлома конструкций в боковых участках.

Плюсы методики:

  • Проверенная, революционная методика.
  • Установка 4-6 имплантатов;
  • Высокие проценты выживаемости имплантатов (от 94,8 до 99,0%);
  • Быстрая реабилитация. Новые зубы (протезы) можно обрести от 1 дня до недели;
  • Сокращение хирургических вмешательств и общих сроков реабилитации;
  • Меньше рисков;
  • Отсутствие костных пластик и дополнительных финансовых затрат на это;

Минусы:

  • При классическом исполнении этой операции требуется редукция (выравнивание костной ткани), а то что уже отрезал/отпилил обратно не вернуть;
  • К протезам нужно привыкать, особенно тем у кого до этого были свои зубы. Они будут ощущаться больше по размерам, чем свои собственные зубы.

__________________________________________________________________________________________

Ставьте лайки👍, если публикация была полезной.

Подписывайтесь на канал. ✅

Всем здоровья!

P.s.если есть вопросы - пишите комментарии или сообщения в месенджеры +79370634232

vk.com/talich

С уважением, доктор Ижмукóв

Виталий Владимирович.