Найти в Дзене
Домашняя лаборатория

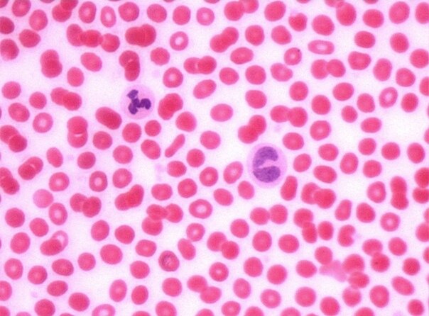
Вариант окрашивания мазков крови гематоксилином и эозином

Для приготовления красителя 50 г алюмокалиевых квасцов растворяют в 500 мл дистиллированной воды, доводят до кипения и высыпают в горячий раствор 1 г гематоксилина. Затем добавляют 500 мл дистиллированной воды и доводят до кипения (но не кипятят). Раствор остужают до комнатной температуры и добавляют йодат калия. Горло сосуда завязывают марлей и оставляют созревать на свету 5 недель. Затем сосуд с красителем закупоривают и убирают в темное место. Перед использованием краситель фильтруют. Мазки фиксируют в смеси равных частей эфира и 96 % спирта или в 96 % спирте 7–10 мин. Окрашивают в гематоксилине 5 мин. Промывают в проточной воде 1 – 2 мин. Окрашивают в 0,3% спиртовом растворе желтоватого эозина 1 мин. Промывают в проточной воде 1 – 2 мин. Высушивают.

Для приготовления красителя 50 г алюмокалиевых квасцов растворяют в 500 мл дистиллированной воды, доводят до кипения и высыпают в горячий раствор 1 г гематоксилина. Затем добавляют 500 мл дистиллированной воды и доводят до кипения (но не кипятят). Раствор остужают до комнатной температуры и добавляют йодат калия. Горло сосуда завязывают марлей и оставляют созревать на свету 5 недель. Затем сосуд с красителем закупоривают и убирают в темное место. Перед использованием краситель фильтруют.

Мазки фиксируют в смеси равных частей эфира и 96 % спирта или в 96 % спирте 7–10 мин.

Окрашивают в гематоксилине 5 мин.

Промывают в проточной воде 1 – 2 мин.

Окрашивают в 0,3% спиртовом растворе желтоватого эозина 1 мин.

Промывают в проточной воде 1 – 2 мин.

Высушивают.