Добавить в корзинуПозвонить
Найти в Дзене
Фонтанка.ру

Сахалинский минздрав рассказал невероятную историю 80-летней женщины 4 октября. Читайте на "Фонтанке"

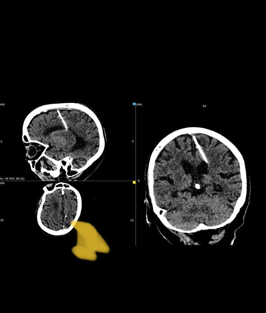
Жительница Сахалина 80 лет провела с иглой в мозгу. Это «подарок» от родителей Сахалинский минздрав рассказал невероятную историю 80-летней женщины 4 октября. Во время обследования рентгенологи случайно нашли у пенсионерки трехсантиметровую иглу в мозгу. Инородное тело ее никак не беспокоило. Игла оказалась в голове женщины сразу после рождения. В тяжелые военные годы родители решили ее умертвить. Избавление от младенца при помощи иглы, рассказывают в минздраве, в те времена не было редкостью. Ее вставляли в родничок, который впоследствии быстро затягивался, не оставляя следов прокола, а сама иголка приводила к смерти новорожденного. Жительнице Сахалина невероятно повезло, она выжила. Более того, пациентка призналась, что никогда не испытывала головных болей. На сегодняшний день игла никак не угрожает здоровью пенсионерки. Оперативное же вмешательство, напротив, может навредить. Поэтому врачи оставили инородное тело в мозгу пациентки.

Жительница Сахалина 80 лет провела с иглой в мозгу. Это «подарок» от родителей

Сахалинский минздрав рассказал невероятную историю 80-летней женщины 4 октября. Во время обследования рентгенологи случайно нашли у пенсионерки трехсантиметровую иглу в мозгу. Инородное тело ее никак не беспокоило.

Игла оказалась в голове женщины сразу после рождения. В тяжелые военные годы родители решили ее умертвить. Избавление от младенца при помощи иглы, рассказывают в минздраве, в те времена не было редкостью. Ее вставляли в родничок, который впоследствии быстро затягивался, не оставляя следов прокола, а сама иголка приводила к смерти новорожденного. Жительнице Сахалина невероятно повезло, она выжила. Более того, пациентка призналась, что никогда не испытывала головных болей.

На сегодняшний день игла никак не угрожает здоровью пенсионерки. Оперативное же вмешательство, напротив, может навредить. Поэтому врачи оставили инородное тело в мозгу пациентки.