Добавить в корзинуПозвонить
Найти в Дзене
Online47.ru

В мозгу пенсионерски на Сахалине обнаружили трехсантиметровую иглу

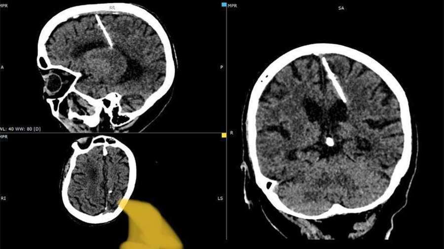
Врачи обнаружили трехсантиметровую иглу в мозгу у 80-летней пациентки на Сахалине. Выяснилось, что женщина прожила с ней всю жизнь. Вероятнее всего, она чуть не стала жертвой собственной семьи, пытавшейся избавиться от нее в голодные годы. «Таким образом родители решили умертвить ребенка в сложное военное время», — сказано в сообщении. Иглу нашли в левой теменной доле, тем не менее, это не привело к «ожидаемым последствиям» и девочка осталась жива, пояснили в минздраве. Женщина рассказала, что по жизни ее никогда не мучили головные боли, а инородное тело обнаружилось в этом году во время проведения компьютерной томографии. Специалисты поделились ужасающими подробностями таких жестоких преступлений. Оказалось, что в голодные годы это не было редкостью. Младенцу, который становился лишним в и так большой семье, в родничок вставляли тонкую иголку, которая повреждала мозг. Родничок очень быстро затягивался, что позволяло скрыть следы преступления, учитывая, что в то время не проводились ка
Фото: Минздрав Сахалинской области
Фото: Минздрав Сахалинской области

Врачи обнаружили трехсантиметровую иглу в мозгу у 80-летней пациентки на Сахалине. Выяснилось, что женщина прожила с ней всю жизнь. Вероятнее всего, она чуть не стала жертвой собственной семьи, пытавшейся избавиться от нее в голодные годы.

«Таким образом родители решили умертвить ребенка в сложное военное время», — сказано в сообщении.

Иглу нашли в левой теменной доле, тем не менее, это не привело к «ожидаемым последствиям» и девочка осталась жива, пояснили в минздраве. Женщина рассказала, что по жизни ее никогда не мучили головные боли, а инородное тело обнаружилось в этом году во время проведения компьютерной томографии.

Специалисты поделились ужасающими подробностями таких жестоких преступлений. Оказалось, что в голодные годы это не было редкостью. Младенцу, который становился лишним в и так большой семье, в родничок вставляли тонкую иголку, которая повреждала мозг. Родничок очень быстро затягивался, что позволяло скрыть следы преступления, учитывая, что в то время не проводились какие-либо масштабные исследования тел погибших. После страшных манипуляций ребенок умирал.