Найти в Дзене
Галишников Олег

Правильный прикус снижает риск рецессии дёсен!

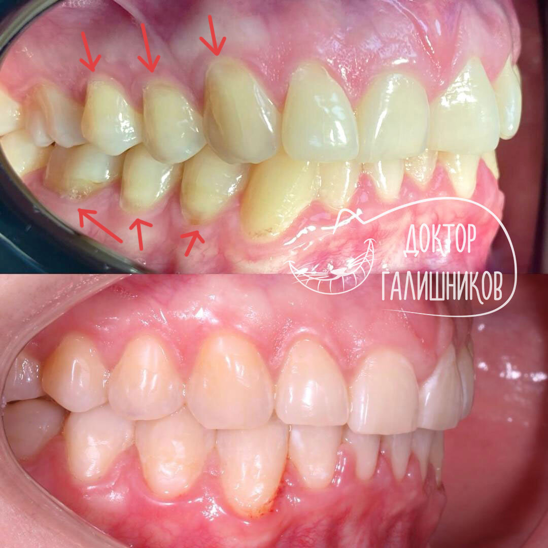
И опять к вопросу о том, что выравнивать зубы нужно не только для красоты, а в первую очередь для здоровья. Недавно к нам обратилась пациентка с жалобой на рецессию – когда оголяются шейки зубов. Сначала она удивилась, когда мы ей предложили установить брекеты, чтобы убрать эту патологию, ведь в представлении большинства людей «железки в рот» ставят только когда зубы кривые и растут один над другим. Но запомните: правильный прикус – это в первую очередь правильное соотношение челюстей, когда каждый зуб получает одинаковую нагрузку. Если же нагрузка распределяется неравномерно, то одним из возможных последствий может стать как раз-таки рецессия (это хорошо видно на фото, которые мы сделали до лечения). Если ситуацию никак не исправлять, то шейки будут обнажаться всё дальше и дальше, а так как корни не приспособлены для того, чтобы находиться вне дёсен, они довольно быстро разрушатся и вы останетесь без зубов. На фото, которые мы сделали после лечения, видно, что рецессию нашему ортодонт
-2
-3
-4
-5

И опять к вопросу о том, что выравнивать зубы нужно не только для красоты, а в первую очередь для здоровья.

Недавно к нам обратилась пациентка с жалобой на рецессию – когда оголяются шейки зубов.

Сначала она удивилась, когда мы ей предложили установить брекеты, чтобы убрать эту патологию, ведь в представлении большинства людей «железки в рот» ставят только когда зубы кривые и растут один над другим.

Но запомните: правильный прикус – это в первую очередь правильное соотношение челюстей, когда каждый зуб получает одинаковую нагрузку.

Если же нагрузка распределяется неравномерно, то одним из возможных последствий может стать как раз-таки рецессия (это хорошо видно на фото, которые мы сделали до лечения). Если ситуацию никак не исправлять, то шейки будут обнажаться всё дальше и дальше, а так как корни не приспособлены для того, чтобы находиться вне дёсен, они довольно быстро разрушатся и вы останетесь без зубов.

На фото, которые мы сделали после лечения, видно, что рецессию нашему ортодонту Анне Константиновне удалось остановить.

Чтобы записаться на бесплатную консультацию – напишите мне в мессенджер +79152532099.

О возможных противопоказаниях проконсультируйтесь со специалистом

#галишников #стоматологиямск #стоматологмск #москвастоматология #брекетымосква #ортодонтмосква #исправлениеприкусамосква #выравниваниезубов #симоновплаза #омегаплаза #юаомосква