Добавить в корзинуПозвонить
Найти в Дзене
АиФ - Новосибирск

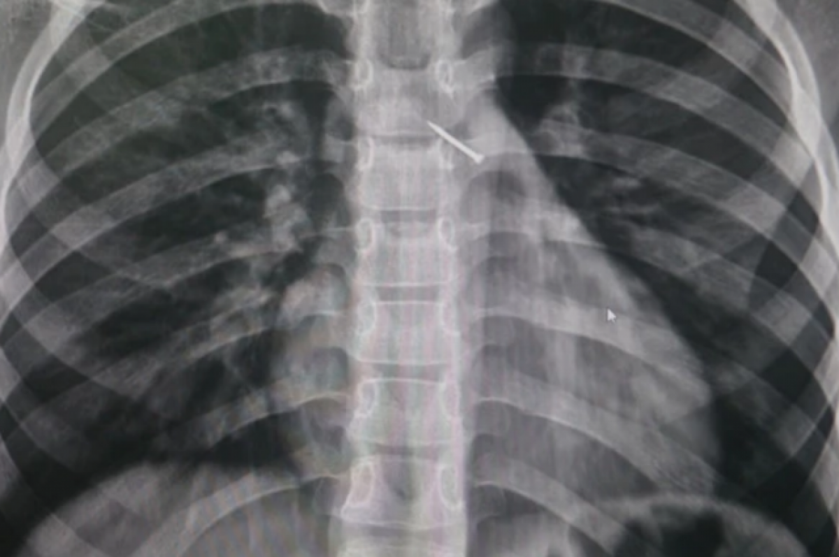
В Новосибирске 9-летний мальчик на улице вдохнул канцелярскую кнопку

В Новосибирске 9-летний мальчик во время игры на улице вдохнул канцелярскую кнопку. Его родители обратились в больницу. Ребенок чувствовал боль в груди и не мог нормально вдохнуть. Об этом сообщили в региональном Министерстве здравоохранения. Врачи провели обследование, которое показало, что кнопка попала в бронхи школьника. Она уперлась в одну из стенок и вызвала локальное воспаление. Заведующая эндоскопическим отделением Ольга Ахалкалакелова отметила, что медики успешно достали предмет с помощью эндоскопических зажимов. Всего школьник провел в больнице четыре дня. Он находился под наблюдением врачей. Мальчику потребовалась ингаляционная терапия. Сейчас с ребенком все в порядке. По информации Минздрава, за неделю в больницы поступает несколько обращений с инородными предметами в желудочно-кишечном тракте и бронхах, у детей — в носовых и слуховых проходах. Родителей просят быть предельно внимательными и не допускать игры с мелкими предметами.
   В Новосибирске 9-летний мальчик на улице вдохнул канцелярскую кнопку
В Новосибирске 9-летний мальчик на улице вдохнул канцелярскую кнопку

В Новосибирске 9-летний мальчик во время игры на улице вдохнул канцелярскую кнопку. Его родители обратились в больницу. Ребенок чувствовал боль в груди и не мог нормально вдохнуть.

Об этом сообщили в региональном Министерстве здравоохранения. Врачи провели обследование, которое показало, что кнопка попала в бронхи школьника. Она уперлась в одну из стенок и вызвала локальное воспаление.

Заведующая эндоскопическим отделением Ольга Ахалкалакелова отметила, что медики успешно достали предмет с помощью эндоскопических зажимов.

Всего школьник провел в больнице четыре дня. Он находился под наблюдением врачей. Мальчику потребовалась ингаляционная терапия. Сейчас с ребенком все в порядке.

По информации Минздрава, за неделю в больницы поступает несколько обращений с инородными предметами в желудочно-кишечном тракте и бронхах, у детей — в носовых и слуховых проходах.

Родителей просят быть предельно внимательными и не допускать игры с мелкими предметами.