Найти в Дзене

7 вещей, которые нужно знать родителям о здоровье зубов детей 6-12 лет

Быть родителем — сложная работа: нужно много всего помнить и постоянно учиться. Например, каждый родитель должен знать, что делать, если у ребенка выбили зуб или на зубах появились точки или пятна. Детские стоматологи «Белой радуги» собрали в статье все самое важное, что должны знать родители о здоровье зубов. В статье расскажем: 1. Молочный кариес может повредить постоянные зубы Некоторые родители относятся к детскому кариесу несерьезно и считают, что если зуб молочный, то он особо и не нужен. Но если молочный зуб поражает кариес, инфекция может проникнуть вглубь и распространиться на зачаток постоянного, расположенный под корнем. В лучшем случае — может произойти нарушение развития ткани зуба, например, зуб прорежется с дефектами. В худшем — зачаток зуба может погибнуть. В крайне редких случаях инфекция распространяется еще глубже и появляется флегмона — острое гнойное воспаление, может начаться сепсис. Чаще всего до этого не доходит, но приятного тоже мало. Вот несколько «стандартн
Оглавление

Быть родителем — сложная работа: нужно много всего помнить и постоянно учиться. Например, каждый родитель должен знать, что делать, если у ребенка выбили зуб или на зубах появились точки или пятна. Детские стоматологи «Белой радуги» собрали в статье все самое важное, что должны знать родители о здоровье зубов. В статье расскажем:

  • Что будет, если не лечить кариес молочных зубов
  • Какие коронки и пломбы ставят детям
  • Как часто нужно делать профессиональную чистку зубов
  • Зачем вести ребенка к ортодонту, если все зубы ровные
  • Как связано дыхание и здоровье зубов
  • Что делать, чтобы ребенок не боялся стоматолога

1. Молочный кариес может повредить постоянные зубы

Некоторые родители относятся к детскому кариесу несерьезно и считают, что если зуб молочный, то он особо и не нужен. Но если молочный зуб поражает кариес, инфекция может проникнуть вглубь и распространиться на зачаток постоянного, расположенный под корнем.

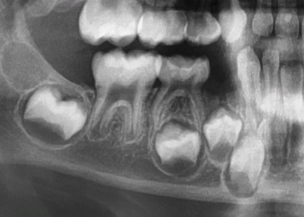
На этом рентгеновском снимке челюсти ребенка видно, как плотно в ней располагаются молочные зубы и зачатки постоянных.
На этом рентгеновском снимке челюсти ребенка видно, как плотно в ней располагаются молочные зубы и зачатки постоянных.

В лучшем случае — может произойти нарушение развития ткани зуба, например, зуб прорежется с дефектами. В худшем — зачаток зуба может погибнуть. В крайне редких случаях инфекция распространяется еще глубже и появляется флегмона — острое гнойное воспаление, может начаться сепсис.

Чаще всего до этого не доходит, но приятного тоже мало. Вот несколько «стандартных» последствий детского кариеса:

  • Повышенная чувствительность зубов,
  • Пульпит — воспаление сосудисто-нервного пучка в зубе,
  • Периодонтит — воспаление тканей, прилегающих к зубному корню.
  • Образование свищей — отверстий на десне, через которые идет отток гноя. Свищ образуется при осложнении пульпита.
Кариес у детей развивается очень быстро: от небольшого пятнышка до периодонтита за несколько месяцев.
Кариес у детей развивается очень быстро: от небольшого пятнышка до периодонтита за несколько месяцев.

У некоторых детей на зубах есть очень глубокие и извилистые бороздки, которые называют фиссурами. Из-за этого зубы трудно чистить, и в фиссурах скапливается налет, что может вызвать кариес. Чтобы этого избежать, доктор может предложить заделать фиссуры специальным материалом, то есть загерметизировать.

2. Коронки ставят даже на молочные зубы

Если зуб уже поразил кариес, то его нужно обязательно лечить. Если зуб потерять раньше времени, то развитие челюстей замедлится и они останутся несформированным. А когда вместо выпавших молочных зубов будут вырастать постоянные, им просто не хватит места на маленьких челюстях. Как результат — искривление зубного ряда, неправильный прикус и нарушенное пережевывание пищи.

Возможны три варианта лечения:

1. Пломбы — при незначительном поражении тканей зуба и определенных видах кариеса. Например, кариес бывает опоясывающим, и тогда пломбировать бессмысленно.

2. Коронки — если поражено более 40% жевательной поверхности. В детской стоматологии используются циркониевые коронки и металлические. Коронки из циркония эстетичные и, как правило, устанавливаются на резцы и клыки. Для моляров чаще используют металлические коронки.

3. Удаление с заменой временной конструкцией — когда зуб не спасти и речь идет уже о здоровье ребёнка.

Но главное при лечении кариеса — это очень тщательная гигиена. Об этом мы рассказывали в статье: «Гигиена зубов у детей: какую зубную щетку и пасту выбрать, как правильно чистить зубы».

3. Профессиональную гигиену нужно делать 3-4 раза в год

Дети в возрасте 6-12 лет обычно чистят зубы сами, но делают это очень плохо: не пользуются зубной нитью, неправильно держат щетку, а иногда и вовсе забывают чистить зубы. Но если зубы чистить недостаточно хорошо, то на них остается налет, который со временем превращается в кариес.

Поэтому родители должны контролировать качество чистки зубов самостоятельно. Например, можно купить маркер зубного налета — он окрашивает неочищенные участки в синий или розовый цвет.

Но даже так, в труднодоступных местах налет может оставаться, поэтому каждый 3-4 месяца ребенку нужно проводить профессиональную гигиену полости рта у стоматолога. Подробнее о том, зачем это нужно и как проходит процедура, мы написали в статье: «Профессиональная чистка зубов у детей и подростков».

Сама процедура немного отличается от той, что делают взрослым: на молочных зубах не образуются твердые зубные отложения, поэтому для профессиональной гигиены не используют ультразвук — достаточно специальной щетки и полировочной пасты. В сменном и постоянном прикусе необходимы дополнительные инструменты для удаления твердых зубных отложений.

4. Визит к ортодонту нужен, даже если зубы растут ровно

Первый раз к ортодонту рекомендовано обратиться в возрасте 5-7 лет, даже если зубы выглядят ровно. В этом возрасте ортодонт смотрит не только на положение зубов, но и на размер челюстей и смыкание зубов.

Сейчас у детей все чаще у детей формируется неправильный прикус, и на это влияет целый комплекс факторов:

  • Вредные привычки: сосание сосок, пальцев, губ, языка и предметов,
  • Неправильная осанка ребенка,
  • Раннее удаление временных зубов из-за кариеса и других проблем,
  • Заболевания лор-органов, частые простудные заболевания,
  • Отсутствие жесткой пищи в рационе, например, цельных сырых яблок и моркови,
  • Короткие уздечки языка и губ.

Показания к ортодонтическому лечению:

  • Затрудненный прием пищи — приводит к заболеваниям пищеварительного тракта и происходит из-за неправильного смыкания зубов.
  • Нарушение речи, шепелявость — возникает из-за неправильной постановки зубов при произношении звуков.
  • Задержка прорезывания зубов (ретенция) — если зуб к определенному возрастному периоду не появился в полости рта на своем месте, то это может привести к смещению всего зубного ряда.

5. Небные расширители не исправляют кривизну зубов

Основная задача небного расширителя — вырастить верхнюю челюсть и создать место в зубном ряду для прорезывания постоянных зубов. Когда мы расширяем верхнюю челюсть, за ней автоматически подтягивается нижняя челюсть, поэтому расширители ставят только сверху. Небные расширители решают сразу несколько задач:

  • Позволяют зубам прорезываться ровно,
  • Формируют эстетически красивый профиль лица,
  • Улучшают носовое дыхание.

Оптимальное время для лечения ребенка на небном расширителе — с 6 до 9,5 лет. И если исправить кривизну зубов можно и в более позднем возрасте (хотя лечение будет дольше и дороже), то вот расширить челюсть не получится — разве что с помощью сложной операции, при которой придется ломать и сращивать кости.

Когда зубы меняются на постоянные, стоматолог оценивает необходимость лечения на брекет-системе: на этом этапе можно скорректировать наклон, поворот и смыкание зубов. Как правило, такое лечение занимает меньше времени и менее трудоемкое, нежели у тех детей, у которых этап раннего ортодонтического лечения был пропущен.

Детям в возрасте 8-10 лет используют частичную брекет-систему, которая фиксируется на 6 зубах: 2 жевательных и 4 резцах. Полноценное ортодонтическое лечение на брекет-системе возможно после смены всех зубов на постоянные — примерно в 12-14 лет.

Листайте галерею, чтобы посмотреть кейс 9-летнего пациента «Белой радуги», которому не придется во взрослом возрасте и тратить средства на полноценное ортодонтическое лечение и ждать результата 1,5—2 года.

6. Сломанный зуб можно спасти

Дети в возрасте 6-12 лет не сидят на месте: качели, велосипеды, самокаты, скейтборды — все это часто приводят к травме. Но скол или потеря зуба не так страшны — сейчас стоматологи умеют сделать так, чтобы зуб выглядел и функционировал как родной. Главное — определить, не будет ли травма угрожать постоянному зубу. Сами вы сделать это «на глазок» не сможете, поэтому нужно скорее записать к стоматологу.

Если вы нашли осколок зуба или целый зуб, то их нельзя выкидывать. Нужно аккуратно собрать, ополоснуть, поместить в пакетик с молоком или слюной ребенка, и принести на прием. Несколько кейсов о выбитых зубах мы разбирали в статье: «Угадай, школько у меня зубов… А в какой руке? — детская неотложка».

7. Дети должны приходить к стоматологу как на праздник

Стоматология может быть не пугающей страшной, а доброй, интересной и увлекательной. Но чтобы у ребенка сложились именно такие ассоциации, нужно тщательно выбирать врача и клинику.

Например, в стоматологии «Белая радуга» не только работают профессиональные детские врачи, но и сама атмосфера настраивает на положительный лад.

Еще мы проводим адаптационные визиты. Наши опытные врачи-стоматологи проводят их в дружелюбной и непринужденной манере, что позволяет ребенку чувствовать себя комфортно и безопасно. Во время визита врач и ассистент играют с ребенком, вовлекая его в различные игровые активности, таким образом, процесс знакомства и привыкания к новой обстановке проходит незаметно и без стресса.

-5

После такого адаптационного визита гигиена зубов дома становится для ребенка не только обязательной, но и приятной процедурой, которую он выполняет с радостью и удовольствием.

Записаться на прием в стоматологию «Белая радуга» можно на сайте belayaraduga.ru, в приложении или по телефону +7 499 68 16 230.