Найти в Дзене
zorkinadventures

Тайна единственной в мире беременной мумии – этому плоду больше 2000 лет

Исследователи объяснили, как мумифицировался плод внутри египтянки, жившей около 2000 лет назад. Не так давно археологи впервые представили невероятное открытие: мумифицированный плод в брюшной полости его мумифицированной древнеегипетской матери. Кем была эта женщина, и как она умерла чуть более 2000 лет назад, до сих пор остается загадкой, но теперь нам известно, каким образом сохранился плод. Согласно новому исследованию ученых из Warsaw Mummy Project, плод сохранился из-за окисления тела женщины по мере ее разложения. «Плод остался в нетронутой матке и начал, скажем так, "мариноваться". Это не самое эстетичное сравнение, но оно передает идею о том, как это произошло. Кислотность крови у трупов, в том числе в матке, значительно падает, со временем увеличиваются концентрации аммиака и муравьиной кислоты. Размещение и заполнение тела натроном (солевой смесью, собираемой со дна высохшего озера) значительно ограничивает доступ воздуха и кислорода. Конечным результатом является почти гер
Исследователи объяснили, как мумифицировался плод внутри египтянки, жившей около 2000 лет назад. Фото: Warsaw Mummy Project
Исследователи объяснили, как мумифицировался плод внутри египтянки, жившей около 2000 лет назад. Фото: Warsaw Mummy Project

Исследователи объяснили, как мумифицировался плод внутри египтянки, жившей около 2000 лет назад.

Не так давно археологи впервые представили невероятное открытие: мумифицированный плод в брюшной полости его мумифицированной древнеегипетской матери.

Кем была эта женщина, и как она умерла чуть более 2000 лет назад, до сих пор остается загадкой, но теперь нам известно, каким образом сохранился плод. Согласно новому исследованию ученых из Warsaw Mummy Project, плод сохранился из-за окисления тела женщины по мере ее разложения.

«Плод остался в нетронутой матке и начал, скажем так, "мариноваться". Это не самое эстетичное сравнение, но оно передает идею о том, как это произошло. Кислотность крови у трупов, в том числе в матке, значительно падает, со временем увеличиваются концентрации аммиака и муравьиной кислоты.

Размещение и заполнение тела натроном (солевой смесью, собираемой со дна высохшего озера) значительно ограничивает доступ воздуха и кислорода. Конечным результатом является почти герметически закрытая матка, содержащая плод», – пишут исследователи.

Вопрос о том, было ли то, что нашли исследователи, на самом деле плодом, задала рентгенолог Сахар Салим из Каирского университета в Египте. Она отметила, что на снимках мумии не было обнаружено костей, поэтому невозможно провести идентификацию плода.

Но Маржена Ожарек-Силке, руководившая новым исследованием, и ее команда утверждают, что в этом нет ничего неожиданного. Кости плода очень плохо минерализованы в течение первых двух триместров беременности, что означает, что их трудно обнаружить после прохождения тафономических (или консервационных) процессов.

Кроме того, окислительные процессы, которые должны были происходить внутри трупа женщины по мере разложения ее тела, еще больше деминерализовали и без того нежные кости плода. Это похоже на естественный процесс мумификации, который происходит в торфяных болотах, где очень кислая среда «маринует» мягкие ткани и деминерализует кости.

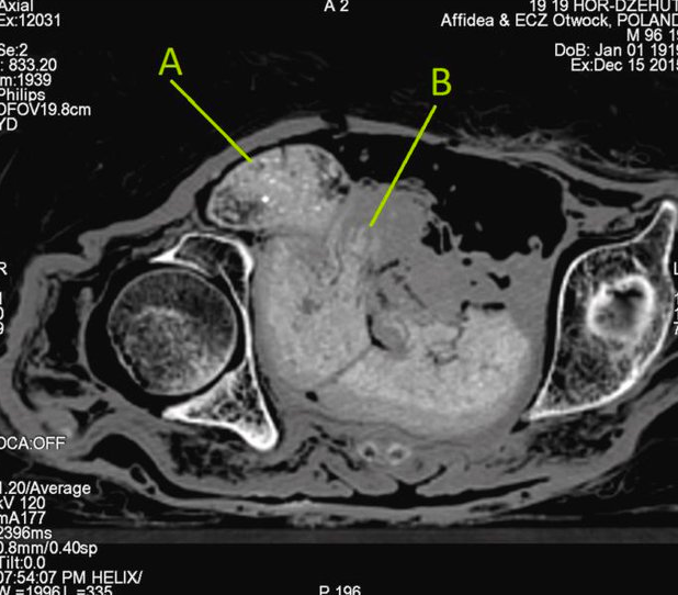
Буквой А на КТ плода обозначена голова зародыша, буквой В – рука Фото: Warsaw Mummy Project
Буквой А на КТ плода обозначена голова зародыша, буквой В – рука Фото: Warsaw Mummy Project

Причина, по которой тело таинственной женщины и тело плода различаются, заключаются в том, что они мумифицировались по-разному. Женщина была мумифицирована с использованием натрона, природной смеси солей, которую древние египтяне использовали для сушки и дезинфекции тел, а плод мумифицировался в запечатанной утробе в кислой среде.

Древние египтяне при мумификации обычно вынимали внутренности, но плод остался нетронутым. «Возможно, это как-то связано с верованиями о возрождении в загробной жизни. Все еще трудно делать какие-либо выводы, поскольку мы не знаем, единственная ли это беременная мумия. Но на данный момент это определенно единственная известная беременная египетская мумия», – говорит Ожарек-Силке.

Исследователи также определили, что смерть женщины не наступила при родах. Она умерла на сроке беременности от 26 до 30 недель при неизвестных обстоятельствах. Ей было от 20 до 30 лет.

Почитайте еще: "У детских мумий в Египте обнаружилась анемия"