Найти в Дзене

Ветеринарные вести. Что стало со сбитой пожилой собакой?

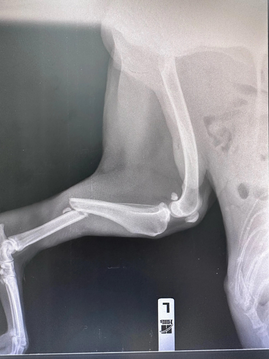
Операция прошла успешно, сломанная конечность была сломана и Снежок (так назвали этого дедушку) хорошо вышел из наркоза! Сейчас Снежок на домашней передержке, схомячил порцию мяса и через короткое время вовсе расслабился, начал облизывать руки человека. Что может быть сильнее мысли, что мы с вами смогли помочь собаке, которая уже не ждала ничего хорошего? Это волшебно! Спасибо каждому за помощь, за быстрое реагирование и, конечно, внимание 💙

Операция прошла успешно, сломанная конечность была сломана и Снежок (так назвали этого дедушку) хорошо вышел из наркоза!

-2
-3
-4

Сейчас Снежок на домашней передержке, схомячил порцию мяса и через короткое время вовсе расслабился, начал облизывать руки человека.

-5
-6

Что может быть сильнее мысли, что мы с вами смогли помочь собаке, которая уже не ждала ничего хорошего? Это волшебно!

Спасибо каждому за помощь, за быстрое реагирование и, конечно, внимание 💙